Telefon:
+49 (0)241 95 163 153
Fax:
+49 (0)241 95 163 155
E-Mail:
orders@antikoerper-online.de

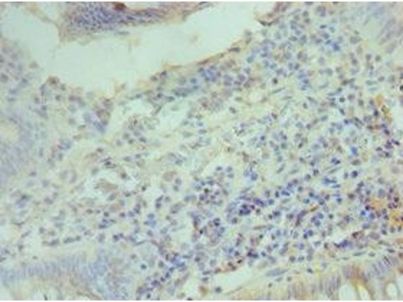
Cyclin D2 Antikörper (AA 1-289)

Es gibt 1 Publikation für dieses Produkt. Der Kaninchen Polyklonal anti-Cyclin D2 Antikörper wird verwendet zum Nachweis von Cyclin D2 in Proben von Human. Er wurde validiert für WB, ELISA, IHC und IF.
Produktnummer ABIN7153389
328,90 €
Zzgl. Versandkosten 20,00 € und MwSt
Lieferung nach: Deutschland
Lieferung in 11 bis 15 Werktagen

Kurzübersicht für Cyclin D2 Antikörper (AA 1-289) (ABIN7153389)

Target

Alle Cyclin D2 (CCND2) Antikörper anzeigen
Cyclin D2 (CCND2)

Reaktivität

  • 96
  • 49
  • 40
Human

Wirt

  • 66
  • 33
Kaninchen

Klonalität

  • 68
  • 31
Polyklonal

Konjugat

  • 53
  • 5
  • 4
  • 4
  • 3
  • 3
  • 2
  • 1
  • 1
  • 1
  • 1
  • 1
  • 1
  • 1
  • 1
  • 1
  • 1
  • 1
  • 1
  • 1
  • 1
  • 1
  • 1
  • 1
  • 1
  • 1
  • 1
  • 1
  • 1
  • 1
  • 1
  • 1
Dieser Cyclin D2 Antikörper ist unkonjugiert

Applikation

  • 65
  • 35
  • 14
  • 14
  • 13
  • 13
  • 10
  • 9
  • 8
  • 7
  • 4
  • 2
  • 1
  • 1
  • 1
Western Blotting (WB), ELISA, Immunohistochemistry (IHC), Immunofluorescence (IF)
  • Bindungsspezifität

    • 16
    • 13
    • 10
    • 6
    • 5
    • 4
    • 4
    • 3
    • 2
    • 2
    • 1
    • 1
    • 1
    • 1
    AA 1-289

    Verwendungszweck

    CCND2 Antibody

    Kreuzreaktivität

    Maus

    Aufreinigung

    Antigen Affinity purified

    Immunogen

    Recombinant Human G1/S-specific cyclin-D2 protein (1-289AA)

    Isotyp

    IgG
  • Applikationshinweise

    Optimal working dilution should be determined by the investigator.

    Beschränkungen

    Nur für Forschungszwecke einsetzbar
  • Format

    Liquid

    Buffer

    PBS with 0.02 % sodium azide, 50 % glycerol, pH 7.3.

    Konservierungsmittel

    Sodium azide

    Vorsichtsmaßnahmen

    This product contains Sodium azide: a POISONOUS AND HAZARDOUS SUBSTANCE which should be handled by trained staff only.

    Lagerung

    -20 °C,-80 °C

    Informationen zur Lagerung

    Upon receipt, store at -20°C or -80°C. Avoid repeated freeze.
  • Saha, Gavert, Brabletz, Ben-Ze'ev: "A Necessary Role for Cyclin D2 Induction During Colon Cancer Progression Mediated by L1." in: Cells, Vol. 13, Issue 21, (2024) (PubMed).

  • Target

    Cyclin D2 (CCND2)

    Andere Bezeichnung

    CCND2

    Hintergrund

    Background: Regulatory component of the cyclin D2-CDK4 (DC) complex that phosphorylates and inhibits members of the retinoblastoma (RB) protein family including RB1 and regulates the cell-cycle during G1/S transition. Phosphorylation of RB1 allows dissociation of the transcription factor E2F from the RB/E2F complex and the subsequent transcription of E2F target genes which are responsible for the progression through the G1 phase. Hypophosphorylates RB1 in early G1 phase. Cyclin D-CDK4 complexes are major integrators of various mitogenenic and antimitogenic signals. Also substrate for SMAD3, phosphorylating SMAD3 in a cell-cycle-dependent manner and repressing its transcriptional activity. Component of the ternary complex, cyclin D2/CDK4/CDKN1B, required for nuclear translocation and activity of the cyclin D-CDK4 complex.

    Aliases: CCND 2 antibody, ccnd2 antibody, CCND2_HUMAN antibody, CyclinD2 antibody, G1/S specific cyclin D2 antibody, G1/S-specific cyclin-D2 antibody, KIAK0002 antibody, MGC102758 antibody, MPPH3 antibody

    UniProt

    P30279

    Pathways

    Zellzyklus, Mitotic G1-G1/S Phases
Sie sind hier:
Chat with us!