Telefon:
+49 (0)241 95 163 153
Fax:
+49 (0)241 95 163 155
E-Mail:
orders@antikoerper-online.de

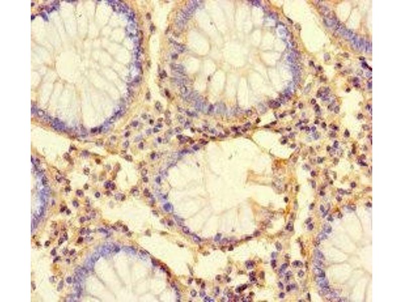
C1orf86 Antikörper (AA 14-179)

Der Kaninchen Polyklonal anti-C1orf86 Antikörper (ABIN7152532) detektiert spezifisch C1orf86 in ELISA und IHC. Dieser Antikörper reagiert spezifisch mit Proben aus Human.
Produktnummer ABIN7152532
328,90 €
Zzgl. Versandkosten 20,00 € und MwSt
Lieferung nach: Deutschland
Lieferung in 11 bis 15 Werktagen

Kurzübersicht für C1orf86 Antikörper (AA 14-179) (ABIN7152532)

Target

C1orf86 (C1ORF86) (Chromosome 1 Open Reading Frame 86 (C1ORF86))

Reaktivität

  • 10
  • 2
  • 1
Human

Wirt

  • 11
Kaninchen

Klonalität

  • 11
Polyklonal

Konjugat

  • 5
  • 2
  • 2
  • 2
Dieser C1orf86 Antikörper ist unkonjugiert

Applikation

  • 8
  • 3
  • 1
  • 1
  • 1
  • 1
  • 1
  • 1
ELISA, Immunohistochemistry (IHC)
  • Bindungsspezifität

    • 7
    • 1
    • 1
    • 1
    AA 14-179

    Verwendungszweck

    FAAP20 Antibody

    Aufreinigung

    Protein G purified

    Reinheit

    >95 %

    Immunogen

    Recombinant Human Fanconi anemia core complex-associated protein 20 protein (14-179AA)

    Isotyp

    IgG
  • Applikationshinweise

    Optimal working dilution should be determined by the investigator.

    Beschränkungen

    Nur für Forschungszwecke einsetzbar
  • Format

    Liquid

    Buffer

    Preservative: 0.03 % Proclin 300
    Constituents: 50 % Glycerol, 0.01M PBS, PH 7.4

    Konservierungsmittel

    ProClin

    Vorsichtsmaßnahmen

    This product contains ProClin: a POISONOUS AND HAZARDOUS SUBSTANCE which should be handled by trained staff only.

    Lagerung

    -20 °C,-80 °C

    Informationen zur Lagerung

    Upon receipt, store at -20°C or -80°C. Avoid repeated freeze.
  • Target

    C1orf86 (C1ORF86) (Chromosome 1 Open Reading Frame 86 (C1ORF86))

    Andere Bezeichnung

    FAAP20

    Hintergrund

    Background: Component of the Fanconi anemia (FA) complex required to recruit the FA complex to DNA interstrand cross-links (ICLs) and promote ICLs repair. Following DNA damage recognizes and binds \'Lys-63\'-linked ubiquitin generated by RNF8 at ICLs and recruits other components of the FA complex. Promotes translesion synthesis via interaction with REV1.

    Aliases: C1orf86 antibody, CA086_HUMAN antibody, Chromosome 1 open reading frame 86 antibody, FAAP20 antibody, Fanconi anemia associated protein of 20 kDa antibody, FP7162 antibody, RP11-181G12.3 antibody, Uncharacterized protein C1orf86 antibody

    UniProt

    Q6NZ36
Sie sind hier:
Chat with us!