Telefon:
+49 (0)241 95 163 153
Fax:
+49 (0)241 95 163 155
E-Mail:
orders@antikoerper-online.de

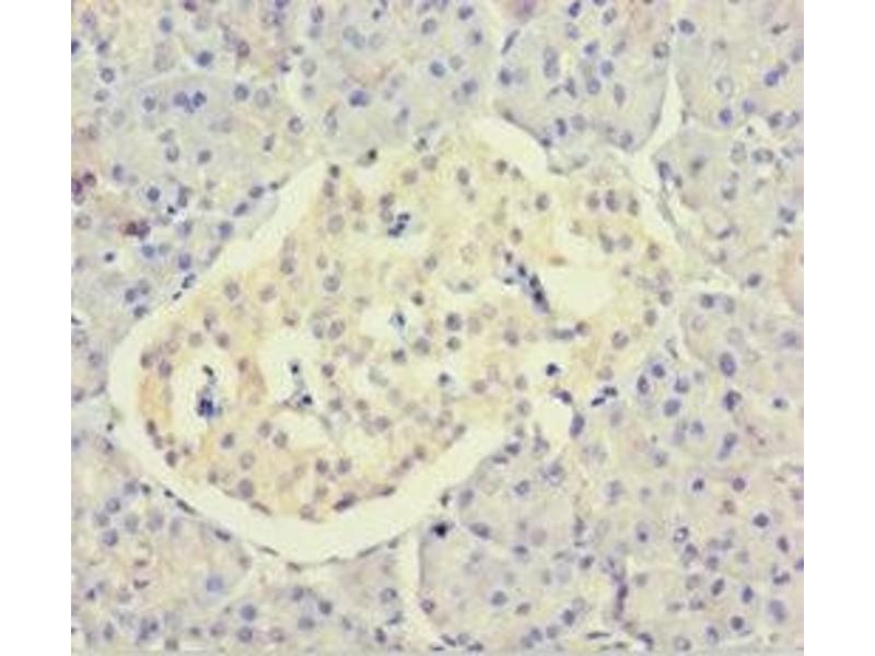
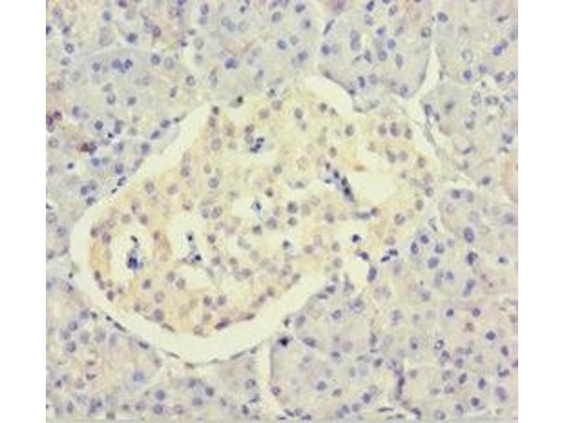
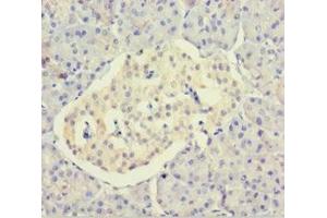
DCTN3 Antikörper (AA 2-176)

Dieser Kaninchen Polyklonal Antikörper detektiert spezifisch DCTN3 in ELISA und IHC. Es zeigt Reaktivität gegenüber Proben von Human.
Produktnummer ABIN7150811
328,90 €
Zzgl. Versandkosten 20,00 € und MwSt
Lieferung nach: Deutschland
Lieferung in 11 bis 15 Werktagen

Kurzübersicht für DCTN3 Antikörper (AA 2-176) (ABIN7150811)

Target

Alle DCTN3 (Dctn3) Antikörper anzeigen
DCTN3 (Dctn3) (Dynactin 3 (p22) (Dctn3))

Reaktivität

  • 30
  • 29
  • 27
  • 2
  • 2
  • 2
  • 2
  • 2
  • 2
  • 1
  • 1
Human

Wirt

  • 42
  • 2
  • 1
Kaninchen

Klonalität

  • 35
  • 10
Polyklonal

Konjugat

  • 12
  • 3
  • 3
  • 2
  • 2
  • 2
  • 2
  • 2
  • 2
  • 2
  • 1
  • 1
  • 1
  • 1
  • 1
  • 1
  • 1
  • 1
  • 1
  • 1
  • 1
  • 1
  • 1
Dieser DCTN3 Antikörper ist unkonjugiert

Applikation

  • 33
  • 14
  • 13
  • 13
  • 12
  • 10
  • 10
  • 3
  • 3
  • 1
ELISA, Immunohistochemistry (IHC)
  • Bindungsspezifität

    • 15
    • 4
    • 3
    • 2
    • 1
    • 1
    • 1
    AA 2-176

    Verwendungszweck

    DCTN3 Antibody

    Aufreinigung

    Protein G purified

    Reinheit

    >95 %

    Immunogen

    Recombinant Human Dynactin subunit 3 protein (2-176AA)

    Isotyp

    IgG
  • Applikationshinweise

    Optimal working dilution should be determined by the investigator.

    Beschränkungen

    Nur für Forschungszwecke einsetzbar
  • Format

    Liquid

    Buffer

    Preservative: 0.03 % Proclin 300
    Constituents: 50 % Glycerol, 0.01M PBS, PH 7.4

    Konservierungsmittel

    ProClin

    Vorsichtsmaßnahmen

    This product contains ProClin: a POISONOUS AND HAZARDOUS SUBSTANCE which should be handled by trained staff only.

    Lagerung

    -20 °C,-80 °C

    Informationen zur Lagerung

    Upon receipt, store at -20°C or -80°C. Avoid repeated freeze.
  • Target

    DCTN3 (Dctn3) (Dynactin 3 (p22) (Dctn3))

    Andere Bezeichnung

    DCTN3

    Hintergrund

    Background: Together with dynein may be involved in spindle assembly and cytokinesis.

    Aliases: DCNT22 antibody, DCTN 22 antibody, DCTN22 antibody, Dctn3 antibody, DCTN3_HUMAN antibody, dynactin 3 (p22) antibody, dynactin 3 antibody, dynactin 3 isoform 1 antibody, Dynactin complex subunit 22 kDa subunit antibody, dynactin light chain antibody, Dynactin subunit 3 antibody, p22 antibody

    UniProt

    O75935

    Pathways

    M Phase
Sie sind hier:
Chat with us!