Telefon:
+49 (0)241 95 163 153
Fax:
+49 (0)241 95 163 155
E-Mail:
orders@antikoerper-online.de

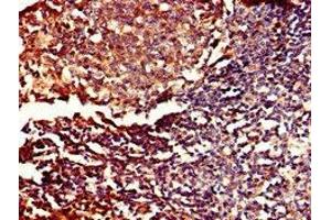
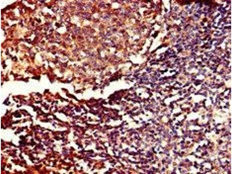
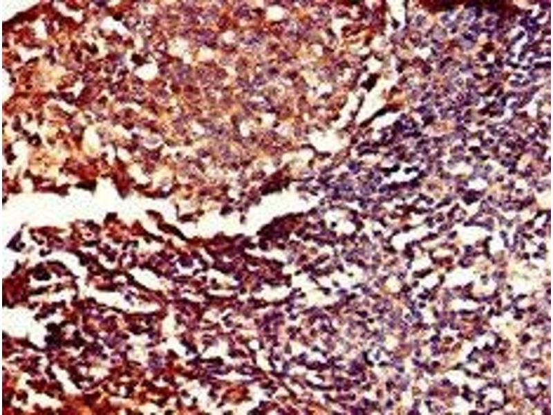
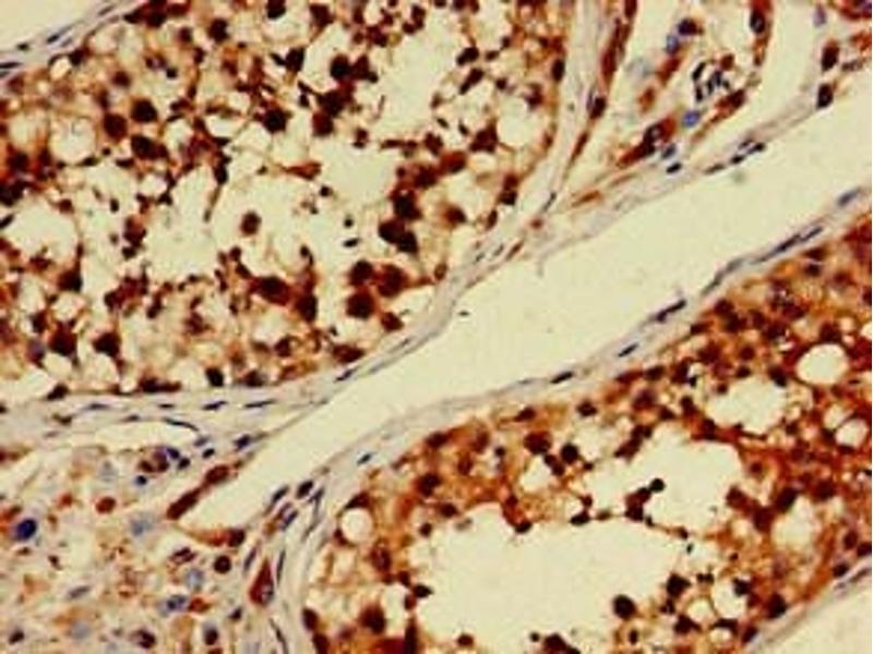
PDE11A Antikörper (AA 42-190)

Der Kaninchen Polyklonal anti-PDE11A Antikörper (ABIN7150681) detektiert spezifisch PDE11A in ELISA, IHC und IF. Dieser Antikörper reagiert spezifisch mit Proben aus Human.
Produktnummer ABIN7150681
328,90 €
Zzgl. Versandkosten 20,00 € und MwSt
Lieferung nach: Deutschland
Lieferung in 11 bis 15 Werktagen

Kurzübersicht für PDE11A Antikörper (AA 42-190) (ABIN7150681)

Target

Alle PDE11A Antikörper anzeigen
PDE11A (phosphodiesterase 11A (PDE11A))

Reaktivität

  • 32
  • 25
  • 22
  • 5
  • 5
  • 5
  • 4
  • 4
  • 3
  • 3
  • 2
  • 2
  • 2
  • 1
  • 1
  • 1
Human

Wirt

  • 34
  • 1
Kaninchen

Klonalität

  • 35
Polyklonal

Konjugat

  • 16
  • 8
  • 7
  • 2
  • 1
  • 1
Dieser PDE11A Antikörper ist unkonjugiert

Applikation

  • 30
  • 26
  • 19
  • 15
  • 11
  • 10
  • 9
  • 2
ELISA, Immunohistochemistry (IHC), Immunofluorescence (IF)
  • Bindungsspezifität

    • 8
    • 6
    • 6
    • 6
    • 6
    • 5
    • 4
    • 3
    • 3
    • 2
    • 2
    • 2
    • 1
    • 1
    • 1
    • 1
    AA 42-190

    Verwendungszweck

    PDE11A Antibody

    Aufreinigung

    Protein G purified

    Reinheit

    >95 %

    Immunogen

    Recombinant Human Dual 3\',5\'-cyclic-AMP and -GMP phosphodiesterase 11A protein (42-190AA)

    Isotyp

    IgG
  • Applikationshinweise

    Optimal working dilution should be determined by the investigator.

    Beschränkungen

    Nur für Forschungszwecke einsetzbar
  • Format

    Liquid

    Buffer

    Preservative: 0.03 % Proclin 300
    Constituents: 50 % Glycerol, 0.01M PBS, pH 7.4

    Konservierungsmittel

    ProClin

    Vorsichtsmaßnahmen

    This product contains ProClin: a POISONOUS AND HAZARDOUS SUBSTANCE which should be handled by trained staff only.

    Lagerung

    -20 °C,-80 °C

    Informationen zur Lagerung

    Upon receipt, store at -20°C or -80°C. Avoid repeated freeze.
  • Target

    PDE11A (phosphodiesterase 11A (PDE11A))

    Andere Bezeichnung

    PDE11A

    Hintergrund

    Background: Plays a role in signal transduction by regulating the intracellular concentration of cyclic nucleotides cAMP and cGMP. Catalyzes the hydrolysis of both cAMP and cGMP to 5\'-AMP and 5\'-GMP, respectively.

    Aliases: 5''-cyclic-AMP and -GMP phosphodiesterase 11A antibody, cAMP and cGMP phosphodiesterase 11A antibody, cGMP phosphodiesterase 11A antibody, Cyclic nucleotide phosphodiesterase 11A antibody, Dual 3'' antibody, Dual 3',5'-cyclic-AMP and -GMP phosphodiesterase 11A antibody, pde11 antibody, PDE11_HUMAN antibody, pde11a antibody, PDE11A1 antibody, pde11a2 antibody, Phosphodiesterase 11A antibody, PPNAD2 antibody

    UniProt

    Q9HCR9

    Pathways

    cAMP Metabolic Process
Sie sind hier:
Chat with us!