Telefon:
+49 (0)241 95 163 153
Fax:
+49 (0)241 95 163 155
E-Mail:
orders@antikoerper-online.de

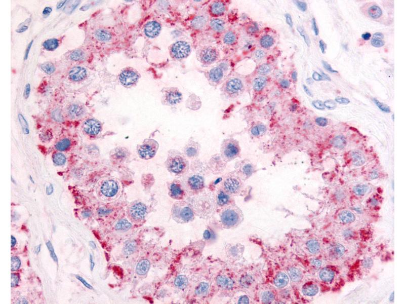
PDE11A Antikörper (Internal Region)

Dieser Kaninchen Polyklonal Antikörper detektiert spezifisch PDE11A in IHC und IHC (p). Es zeigt Reaktivität gegenüber Proben von Human, Maus, Ratte, Rind (Kuh), Pferd, Kaninchen, Zebrafisch (Danio rerio), Fledermaus, Affe, Schwein, Huhn und Hamster.
Produktnummer ABIN213553
534,81 €
Zzgl. Versandkosten 20,00 € und MwSt
50 μg
Lieferung nach: Deutschland
Lieferung in 15 bis 20 Werktagen

Kurzübersicht für PDE11A Antikörper (Internal Region) (ABIN213553)

Target

Alle PDE11A Antikörper anzeigen
PDE11A (phosphodiesterase 11A (PDE11A))

Reaktivität

  • 32
  • 24
  • 21
  • 4
  • 4
  • 4
  • 4
  • 3
  • 3
  • 2
  • 1
  • 1
  • 1
  • 1
  • 1
Human, Maus, Ratte, Rind (Kuh), Pferd, Kaninchen, Zebrafisch (Danio rerio), Fledermaus, Affe, Schwein, Huhn, Hamster

Wirt

  • 34
  • 1
Kaninchen

Klonalität

  • 35
Polyklonal

Konjugat

  • 16
  • 8
  • 7
  • 2
  • 1
  • 1
Dieser PDE11A Antikörper ist unkonjugiert

Applikation

  • 30
  • 27
  • 19
  • 15
  • 12
  • 10
  • 9
  • 1
Immunohistochemistry (IHC), Immunohistochemistry (Paraffin-embedded Sections) (IHC (p))
  • Bindungsspezifität

    • 8
    • 6
    • 6
    • 6
    • 6
    • 5
    • 5
    • 3
    • 2
    • 2
    • 2
    • 2
    • 1
    • 1
    • 1
    • 1
    Internal Region

    Spezifität

    Human PDE11A. BLAST analysis of the peptide immunogen showed no homology with other human proteins, except PDE6B (53 % ).

    Homologie

    Percent identity with other species by BLAST analysis: Human, Gorilla, Gibbon, Monkey, Marmoset, Mouse, Rat, Bovine, Bat, Hamster, Elephant, Horse, Rabbit, Pig, Opossum, Turkey, Chicken, Pufferfish, Zebrafish (100%) Platypus, Xenopus, Stickleback (94%) Dog (88%).

    Aufreinigung

    Immunoaffinity purified

    Immunogen

    Synthetic 17 amino acid peptide from internal region of human PDE11A. Percent identity with other species by BLAST analysis: Human, Gorilla, Gibbon, Monkey, Marmoset, Mouse, Rat, Bovine, Bat, Hamster, Elephant, Horse, Rabbit, Pig, Opossum, Turkey, Chicken, Pufferfish, Zebrafish (100%), Platypus, Xenopus, Stickleback (94%), Dog (88%).

    Type of Immunogen: Synthetic peptide
  • Applikationshinweise

    Approved: IHC, IHC-P (5 μg/mL)

    Usage: Immunohistochemistry: This antibody was validated for use in immunohistochemistry on a panel of 21 formalin-fixed, paraffin-embedded (FFPE) human tissues after heat induced antigen retrieval in  pH 6.0 citrate buffer. After incubation with the primary antibody, slides were incubated with biotinylated secondary antibody, followed by alkaline phosphatase-streptavidin and chromogen. The stained slides were evaluated by a pathologist to confirm staining specificity. The optimal working concentration for this antibody was determined to be 5 μg/mL.

    Kommentare

    Target Species of Antibody: Human

    Beschränkungen

    Nur für Forschungszwecke einsetzbar
  • Format

    Liquid

    Konzentration

    Lot specific

    Buffer

    PBS, less than 0.1 % sodium azide.

    Konservierungsmittel

    Sodium azide

    Vorsichtsmaßnahmen

    This product contains Sodium azide: a POISONOUS AND HAZARDOUS SUBSTANCE which should be handled by trained staff only.

    Lagerung

    4 °C,-20 °C

    Informationen zur Lagerung

    Aliquot and store undiluted at -20°C or below for up to 1 year. Can be stored undiluted at 4°C for up to 1 month. Avoid freeze-thaw cycles.

    Haltbarkeit

    12 months
  • Target

    PDE11A (phosphodiesterase 11A (PDE11A))

    Andere Bezeichnung

    PDE11A

    Hintergrund

    Name/Gene ID: PDE11A
    Subfamily: PDE - cAMP/cGMP dual-specific
    Family: Phosphodiesterase

    Synonyms: PDE11A, Pde11, PDE11A4, PDE11A1, PPNAD2, PDE11A2, PDE11A3, Phosphodiesterase 11A

    Gen-ID

    50940

    Pathways

    cAMP Metabolic Process
Sie sind hier:
Chat with us!