Telefon:
+49 (0)241 95 163 153
Fax:
+49 (0)241 95 163 155
E-Mail:
orders@antikoerper-online.de

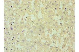
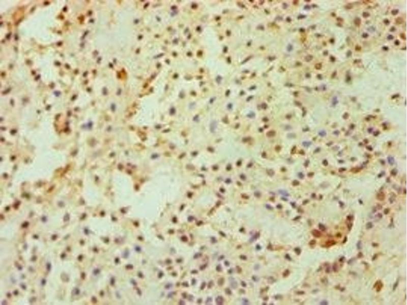
DKK4 Antikörper (AA 19-224)

Dieser Kaninchen Polyklonal Antikörper detektiert spezifisch DKK4 in IHC und ELISA. Es zeigt Reaktivität gegenüber Proben von Human.
Produktnummer ABIN7149890
328,90 €
Zzgl. Versandkosten 20,00 € und MwSt
Lieferung nach: Deutschland
Lieferung in 11 bis 15 Werktagen

Kurzübersicht für DKK4 Antikörper (AA 19-224) (ABIN7149890)

Target

Alle DKK4 Antikörper anzeigen
DKK4 (Dickkopf Homolog 4 (Xenopus Laevis) (DKK4))

Reaktivität

  • 45
  • 9
  • 2
  • 2
  • 1
  • 1
  • 1
  • 1
  • 1
Human

Wirt

  • 46
  • 3
  • 1
Kaninchen

Klonalität

  • 48
  • 2
Polyklonal

Konjugat

  • 25
  • 6
  • 4
  • 3
  • 3
  • 3
  • 1
  • 1
  • 1
  • 1
  • 1
  • 1
Dieser DKK4 Antikörper ist unkonjugiert

Applikation

  • 43
  • 24
  • 20
  • 4
  • 3
  • 3
  • 2
  • 2
Immunohistochemistry (IHC), ELISA
  • Bindungsspezifität

    • 8
    • 8
    • 7
    • 6
    • 3
    • 3
    • 2
    • 2
    • 1
    • 1
    • 1
    • 1
    • 1
    • 1
    AA 19-224

    Verwendungszweck

    DKK4 Antibody

    Aufreinigung

    Antigen Affinity Purified

    Immunogen

    Recombinant Human Dickkopf-related protein 4 protein (19-224AA)

    Isotyp

    IgG
  • Applikationshinweise

    Optimal working dilution should be determined by the investigator.

    Beschränkungen

    Nur für Forschungszwecke einsetzbar
  • Format

    Liquid

    Buffer

    PBS with 0.02 % sodium azide, 50 % glycerol, pH 7.3.

    Konservierungsmittel

    Sodium azide

    Vorsichtsmaßnahmen

    This product contains Sodium azide: a POISONOUS AND HAZARDOUS SUBSTANCE which should be handled by trained staff only.

    Lagerung

    -20 °C,-80 °C

    Informationen zur Lagerung

    Upon receipt, store at -20°C or -80°C. Avoid repeated freeze.
  • Target

    DKK4 (Dickkopf Homolog 4 (Xenopus Laevis) (DKK4))

    Andere Bezeichnung

    DKK4

    Hintergrund

    Background: Antagonizes canonical Wnt signaling by inhibiting LRP5/6 interaction with Wnt and by forming a ternary complex with the transmembrane protein KREMEN that promotes internalization of LRP5/6. DKKs play an important role in vertebrate development, where they locally inhibit Wnt regulated processes such as antero-posterior axial patterning, limb development, somitogenesis and eye formation. In the adult, Dkks are implicated in bone formation and bone disease, cancer and Alzheimer disease (By similarity).

    Aliases: Dickkopf 4 antibody, Dickkopf gene 4 antibody, Dickkopf homolog 4 (Xenopus laevis) antibody, Dickkopf homolog 4 antibody, Dickkopf related protein 4 antibody, Dickkopf-4 antibody, Dickkopf-related protein 4 short form antibody, Dickkopf4 antibody, DKK 4 antibody, Dkk-4 antibody, DKK4 antibody, DKK4_HUMAN antibody, hDkk 4 antibody, hDkk-4 antibody, hDkk4 antibody, MGC129562 antibody, MGC129563 antibody

    UniProt

    Q9UBT3

    Pathways

    WNT Signalweg
Sie sind hier:
Chat with us!