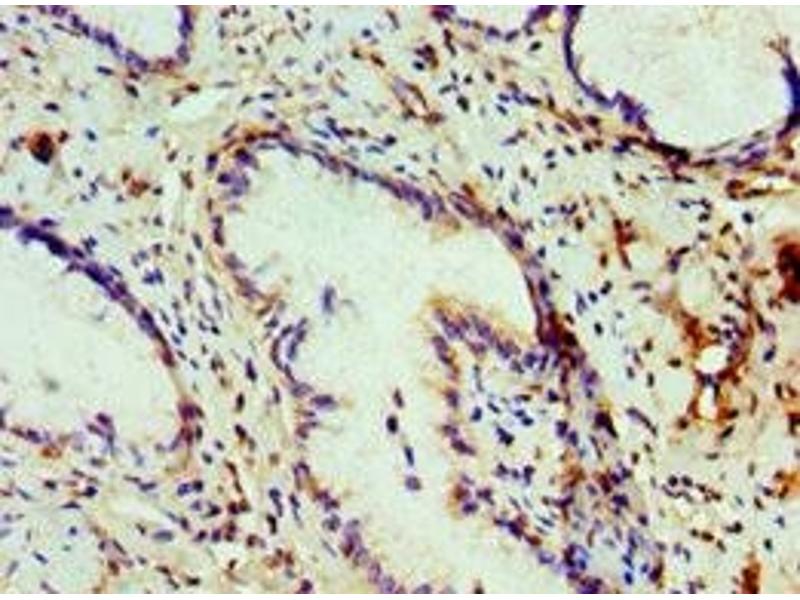
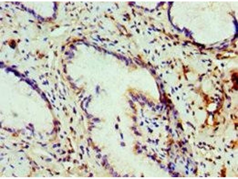
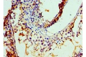
COG7 Antikörper (AA 511-770)
Kurzübersicht für COG7 Antikörper (AA 511-770) (ABIN7148465)
Target
Alle COG7 Antikörper anzeigenReaktivität
Wirt
Klonalität
Konjugat
Applikation
-
-
Bindungsspezifität
- AA 511-770
-
Verwendungszweck
- COG7 Antibody
-
Aufreinigung
- Antigen Affinity Purified
-
Immunogen
- Recombinant Human Conserved oligomeric Golgi complex subunit 7 protein (511-770AA)
-
Isotyp
- IgG
-
-
-
-
Applikationshinweise
- Optimal working dilution should be determined by the investigator.
-
Beschränkungen
- Nur für Forschungszwecke einsetzbar
-
-
-
Format
- Liquid
-
Buffer
- PBS with 0.02 % sodium azide, 50 % glycerol, pH 7.3.
-
Konservierungsmittel
- Sodium azide
-
Vorsichtsmaßnahmen
- This product contains Sodium azide: a POISONOUS AND HAZARDOUS SUBSTANCE which should be handled by trained staff only.
-
Lagerung
- -20 °C,-80 °C
-
Informationen zur Lagerung
- Upon receipt, store at -20°C or -80°C. Avoid repeated freeze.
-
-
- COG7 (Component of Oligomeric Golgi Complex 7 (COG7))
-
Andere Bezeichnung
- COG7
-
Hintergrund
-
Background: Required for normal Golgi function.
Aliases: CDG2E antibody, COG complex subunit 7 antibody, cog7 antibody, COG7_HUMAN antibody, Component of oligomeric Golgi complex 7 antibody, Conserved oligomeric Golgi complex component 7 antibody, Conserved oligomeric Golgi complex subunit 7 antibody
-
UniProt
- P83436
Target
-