Telefon:
+49 (0)241 95 163 153
Fax:
+49 (0)241 95 163 155
E-Mail:
orders@antikoerper-online.de

COG7 Antikörper (Internal Region)

Der Ziege Polyklonal anti-COG7 Antikörper (ABIN308445) detektiert spezifisch COG7 in WB, ELISA und IHC. Dieser Antikörper reagiert spezifisch mit Proben aus Human.
Produktnummer ABIN308445
488,25 €
Zzgl. Versandkosten 20,00 € und MwSt
100 μg
Lieferung nach: Deutschland
Lieferung in 5 bis 8 Werktagen

Kurzübersicht für COG7 Antikörper (Internal Region) (ABIN308445)

Target

Alle COG7 Antikörper anzeigen
COG7 (Component of Oligomeric Golgi Complex 7 (COG7))

Reaktivität

  • 17
  • 10
  • 2
Human

Wirt

  • 15
  • 2
Ziege

Klonalität

  • 15
  • 2
Polyklonal

Konjugat

  • 12
  • 1
  • 1
  • 1
  • 1
  • 1
Dieser COG7 Antikörper ist unkonjugiert

Applikation

  • 16
  • 11
  • 4
  • 2
  • 2
  • 1
Western Blotting (WB), ELISA, Immunohistochemistry (IHC)

Güteklasse

Verified
  • Bindungsspezifität

    • 8
    • 2
    • 1
    • 1
    • 1
    • 1
    • 1
    • 1
    • 1
    • 1
    Internal Region

    Verwendungszweck

    COG7

    Sequenz

    KTRPEDYRQV SK

    Kreuzreaktivität

    Human

    Aufreinigung

    Purified from goat serum by ammonium sulphate precipitation followed by antigen affinity chromatography using the immunizing peptide.

    Immunogen

    Peptide with sequence C-KTRPEDYRQVSK, from the internal region of the protein sequence according to NP_705831.1.

    Isotyp

    IgG
  • Applikationshinweise

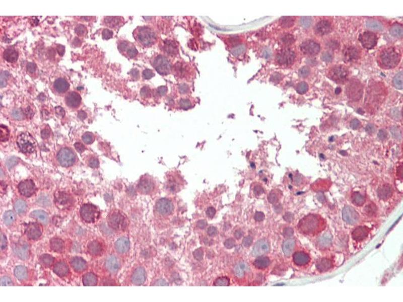
    Immunohistochemistry: Paraffin embedded Human Testis. Recommended concentration: 5 μg/mL.

    Western Blot: Approx. 85 kDa band observed in lysates cell lines HeLa, Jurkat and MOLT4 (calculated MW of 86.3 kDa according to NP_705831.1). Recommended concentration: 0.03-0.1 μg/mL. Primary incubation was 1 hour.

    Peptide ELISA: antibody detection limit dilution 1:32000.

    Beschränkungen

    Nur für Forschungszwecke einsetzbar
  • Format

    Liquid

    Konzentration

    0.5 mg/mL

    Buffer

    Supplied at 0.5 mg/mL in Tris saline, 0.02 % sodium azide, pH 7.3 with 0.5 % bovine serum albumin.

    Konservierungsmittel

    Sodium azide

    Vorsichtsmaßnahmen

    This product contains Sodium azide: a POISONOUS AND HAZARDOUS SUBSTANCE which should be handled by trained staff only.

    Handhabung

    Minimize freezing and thawing.

    Lagerung

    -20 °C

    Informationen zur Lagerung

    Aliquot and store at -20°C, with minimal freeze/thawing. A working aliquot may be refrigerated at 4°C for a few weeks and still remain viable.
  • Target

    COG7 (Component of Oligomeric Golgi Complex 7 (COG7))

    Andere Bezeichnung

    COG7

    Hintergrund

    COG7, component of oligomeric golgi complex 7, CDG2E

    Gen-ID

    91949

    NCBI Accession

    NP_705831
Sie sind hier:
Chat with us!