Telefon:
+49 (0)241 95 163 153
Fax:
+49 (0)241 95 163 155
E-Mail:
orders@antikoerper-online.de

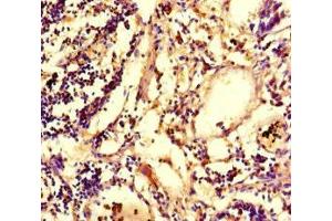
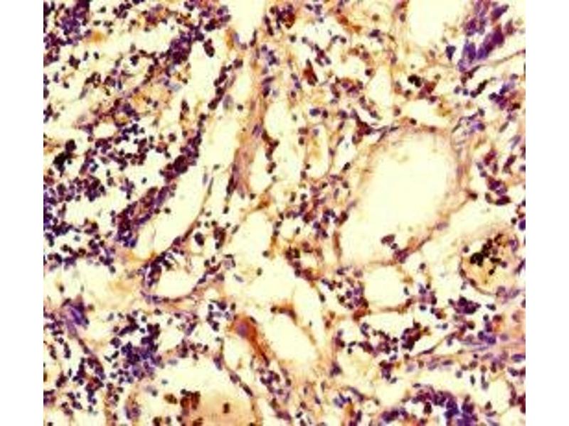
IRG1 Antikörper (AA 57-257)

Der Kaninchen Polyklonal anti-IRG1 Antikörper (ABIN7147801) detektiert spezifisch IRG1 in ELISA und IHC. Dieser Antikörper reagiert spezifisch mit Proben aus Human.
Produktnummer ABIN7147801
328,90 €
Zzgl. Versandkosten 20,00 € und MwSt
Lieferung nach: Deutschland
Lieferung in 11 bis 15 Werktagen

Kurzübersicht für IRG1 Antikörper (AA 57-257) (ABIN7147801)

Target

IRG1 (Immunoresponsive Gene 1 (IRG1))

Reaktivität

  • 6
  • 1
Human

Wirt

  • 6
Kaninchen

Klonalität

  • 6
Polyklonal

Konjugat

  • 2
  • 2
  • 1
  • 1
Dieser IRG1 Antikörper ist unkonjugiert

Applikation

  • 5
  • 2
  • 1
  • 1
ELISA, Immunohistochemistry (IHC)
  • Bindungsspezifität

    • 4
    • 1
    AA 57-257

    Verwendungszweck

    ACOD1 Antibody

    Aufreinigung

    Protein G purified

    Reinheit

    >95 %

    Immunogen

    Recombinant Human Cis-aconitate decarboxylase protein (57-257AA)

    Isotyp

    IgG
  • Applikationshinweise

    Optimal working dilution should be determined by the investigator.

    Beschränkungen

    Nur für Forschungszwecke einsetzbar
  • Format

    Liquid

    Buffer

    Preservative: 0.03 % Proclin 300
    Constituents: 50 % Glycerol, 0.01M PBS, PH 7.4

    Konservierungsmittel

    ProClin

    Vorsichtsmaßnahmen

    This product contains ProClin: a POISONOUS AND HAZARDOUS SUBSTANCE which should be handled by trained staff only.

    Lagerung

    -20 °C,-80 °C

    Informationen zur Lagerung

    Upon receipt, store at -20°C or -80°C. Avoid repeated freeze.
  • Target

    IRG1 (Immunoresponsive Gene 1 (IRG1))

    Andere Bezeichnung

    ACOD1

    Hintergrund

    Background: Involved in the inhibition of the inflammatory response. Acts as a negative regulator of the Toll-like receptors (TLRs)-mediated inflammatory innate response by stimulating the tumor necrosis factor alpha-induced protein TNFAIP3 expression via reactive oxygen species (ROS) in LPS-tolerized macrophages. Involved in antimicrobial response of innate immune cells, ACOD1-mediated itaconic acid production contributes to the antimicrobial activity of macrophages. Plays a role in the embryo implantation.

    Aliases: ACOD1 antibody, Aconitate decarboxylase 1 antibody, Aconitate decarboxylase antibody, CAD antibody, Cis aconitate decarboxylase antibody, Immune responsive gene 1 protein homolog antibody, Immune-responsive gene 1 protein homolog antibody, Immunoresponsive 1 homolog (mouse) antibody, Irg1 antibody, IRG1_HUMAN antibody, OC116 antibody, OPTB1 antibody, TCTIRC7 antibody

    UniProt

    A6NK06
Sie sind hier:
Chat with us!