Telefon:
+49 (0)241 95 163 153
Fax:
+49 (0)241 95 163 155
E-Mail:
orders@antikoerper-online.de

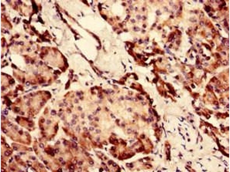
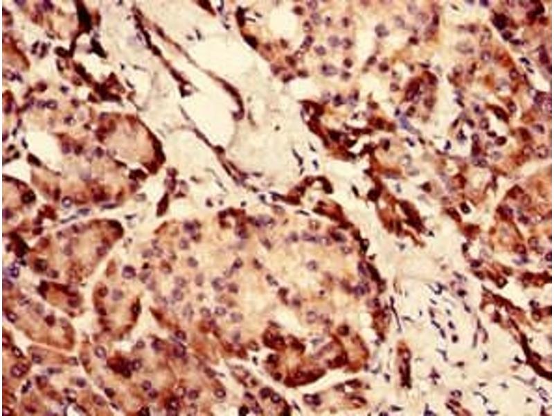
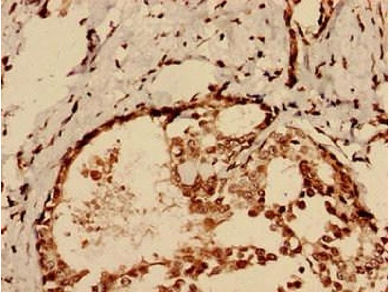
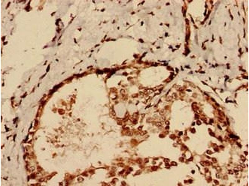
CHID1 Antikörper (AA 20-393)

Dieser Kaninchen Polyklonal Antikörper detektiert spezifisch CHID1 in WB, ELISA und IHC. Es zeigt Reaktivität gegenüber Proben von Human.
Produktnummer ABIN7147553
328,90 €
Zzgl. Versandkosten 20,00 € und MwSt
Lieferung nach: Deutschland
Lieferung in 11 bis 15 Werktagen

Kurzübersicht für CHID1 Antikörper (AA 20-393) (ABIN7147553)

Target

Alle CHID1 Antikörper anzeigen
CHID1 (Chitinase Domain Containing 1 (CHID1))

Reaktivität

  • 25
  • 5
  • 5
  • 2
  • 2
  • 2
  • 2
  • 1
Human

Wirt

  • 20
  • 3
  • 2
Kaninchen

Klonalität

  • 20
  • 5
Polyklonal

Konjugat

  • 15
  • 4
  • 2
  • 2
  • 1
  • 1
Dieser CHID1 Antikörper ist unkonjugiert

Applikation

  • 19
  • 15
  • 3
  • 3
Western Blotting (WB), ELISA, Immunohistochemistry (IHC)
  • Bindungsspezifität

    • 10
    • 4
    • 3
    • 2
    • 2
    • 2
    AA 20-393

    Verwendungszweck

    CHID1 Antibody

    Aufreinigung

    Protein G purified

    Reinheit

    >95 %

    Immunogen

    Recombinant Human Chitinase domain-containing protein 1 protein (20-393AA)

    Isotyp

    IgG
  • Applikationshinweise

    Optimal working dilution should be determined by the investigator.

    Beschränkungen

    Nur für Forschungszwecke einsetzbar
  • Format

    Liquid

    Buffer

    Preservative: 0.03 % Proclin 300
    Constituents: 50 % Glycerol, 0.01M PBS, PH 7.4

    Konservierungsmittel

    ProClin

    Vorsichtsmaßnahmen

    This product contains ProClin: a POISONOUS AND HAZARDOUS SUBSTANCE which should be handled by trained staff only.

    Lagerung

    -20 °C,-80 °C

    Informationen zur Lagerung

    Upon receipt, store at -20°C or -80°C. Avoid repeated freeze.
  • Target

    CHID1 (Chitinase Domain Containing 1 (CHID1))

    Andere Bezeichnung

    CHID1

    Hintergrund

    Background: Saccharide- and LPS-binding protein with possible roles in pathogen sensing and endotoxin neutralization. Ligand-binding specificity relates to the length of the oligosaccharides, with preference for chitotetraose (in vitro).

    Aliases: CHID1 antibody, CHID1_HUMAN antibody, Chitinase domain containing 1 antibody, Chitinase domain-containing protein 1 antibody, FLJ42707 antibody, GL008 antibody, MGC3234 antibody, PSEC0104 antibody, SB139 antibody, SI-CLP antibody, SICLP antibody, Stabilin 1 interacting chitinase like protein antibody, Stabilin-1-interacting chitinase-like protein antibody

    UniProt

    Q9BWS9
Sie sind hier:
Chat with us!