Telefon:
+49 (0)241 95 163 153
Fax:
+49 (0)241 95 163 155
E-Mail:
orders@antikoerper-online.de

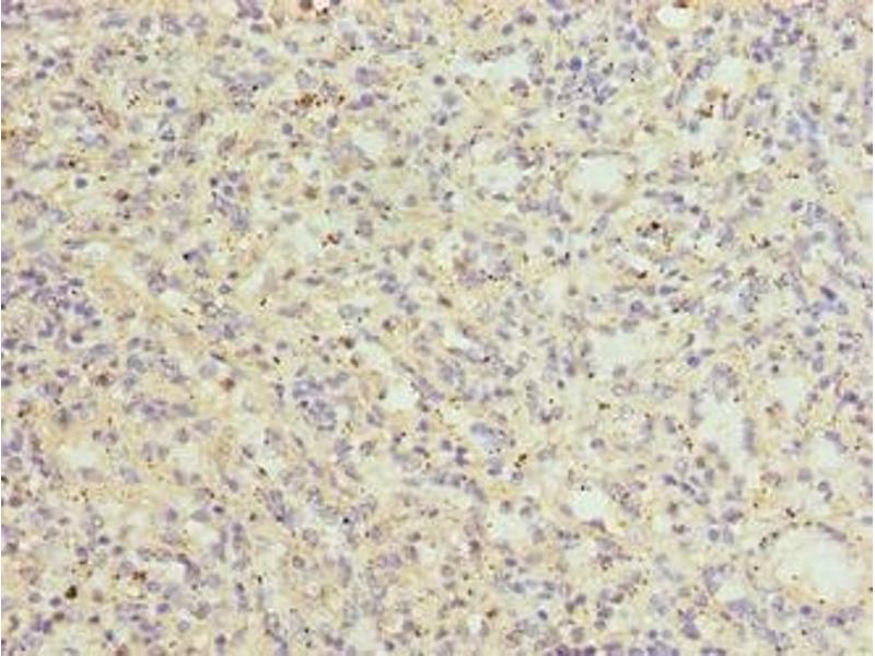
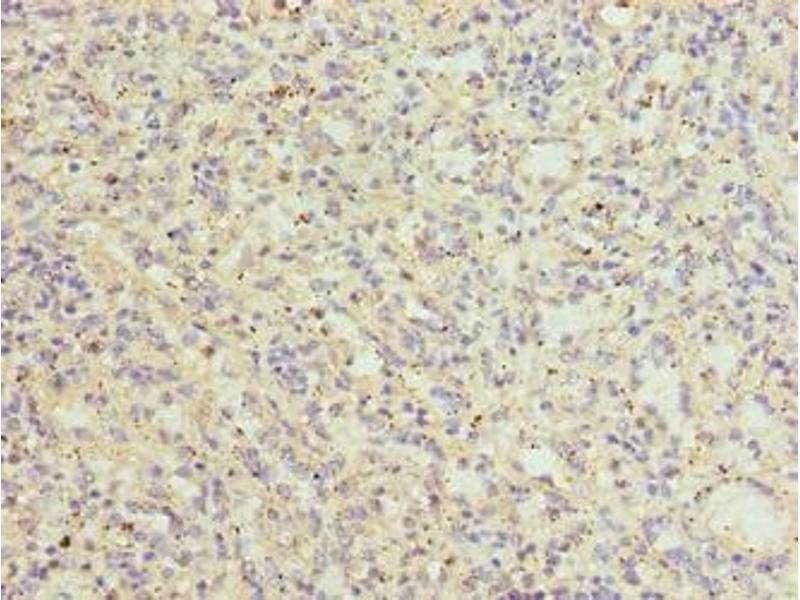
CATSPER2 Antikörper (AA 5-112)

Dieser Kaninchen Polyklonal Antikörper detektiert spezifisch CATSPER2 in WB, ELISA, IHC und IF. Es zeigt Reaktivität gegenüber Proben von Human.
Produktnummer ABIN7147031
328,90 €
Zzgl. Versandkosten 20,00 € und MwSt
Lieferung nach: Deutschland
Lieferung in 11 bis 15 Werktagen

Kurzübersicht für CATSPER2 Antikörper (AA 5-112) (ABIN7147031)

Target

Alle CATSPER2 Antikörper anzeigen
CATSPER2 (Cation Channel, Sperm Associated 2 (CATSPER2))

Reaktivität

  • 23
  • 6
  • 4
  • 4
  • 3
  • 3
  • 2
  • 2
  • 2
  • 1
  • 1
Human

Wirt

  • 23
Kaninchen

Klonalität

  • 23
Polyklonal

Konjugat

  • 14
  • 3
  • 2
  • 2
  • 1
  • 1
Dieser CATSPER2 Antikörper ist unkonjugiert

Applikation

  • 19
  • 12
  • 4
  • 1
  • 1
Western Blotting (WB), ELISA, Immunohistochemistry (IHC), Immunofluorescence (IF)
  • Bindungsspezifität

    • 9
    • 5
    • 5
    • 3
    • 1
    • 1
    AA 5-112

    Verwendungszweck

    CATSPER2 Antibody

    Aufreinigung

    Protein G purified

    Reinheit

    >95 %

    Immunogen

    Recombinant Human Cation channel sperm-associated protein 2 protein (5-112AA)

    Isotyp

    IgG
  • Applikationshinweise

    Optimal working dilution should be determined by the investigator.

    Beschränkungen

    Nur für Forschungszwecke einsetzbar
  • Format

    Liquid

    Buffer

    Preservative: 0.03 % Proclin 300
    Constituents: 50 % Glycerol, 0.01M PBS, PH 7.4

    Konservierungsmittel

    ProClin

    Vorsichtsmaßnahmen

    This product contains ProClin: a POISONOUS AND HAZARDOUS SUBSTANCE which should be handled by trained staff only.

    Lagerung

    -20 °C,-80 °C

    Informationen zur Lagerung

    Upon receipt, store at -20°C or -80°C. Avoid repeated freeze.
  • Target

    CATSPER2 (Cation Channel, Sperm Associated 2 (CATSPER2))

    Andere Bezeichnung

    CATSPER2

    Hintergrund

    Background: Voltage-gated calcium channel that plays a central role in calcium-dependent physiological responses essential for successful fertilization, such as sperm hyperactivation, acrosome reaction and chemotaxis towards the oocyte. Activated by extracellular progesterone and prostaglandins following the sequence: progesterone > PGF1-alpha = PGE1 > PGA1 > PGE2 >> PGD2. The primary effect of progesterone activation is to shift voltage dependence towards more physiological, negative membrane potentials, it is not mediated by metabotropic receptors and second messengers. Sperm capacitation enhances the effect of progesterone by providing additional negative shift. Also activated by the elevation of intracellular pH .

    Aliases: CATSPER2 antibody, Cation channel sperm-associated protein 2 antibody, CatSper2 antibody

    UniProt

    Q96P56
Sie sind hier:
Chat with us!