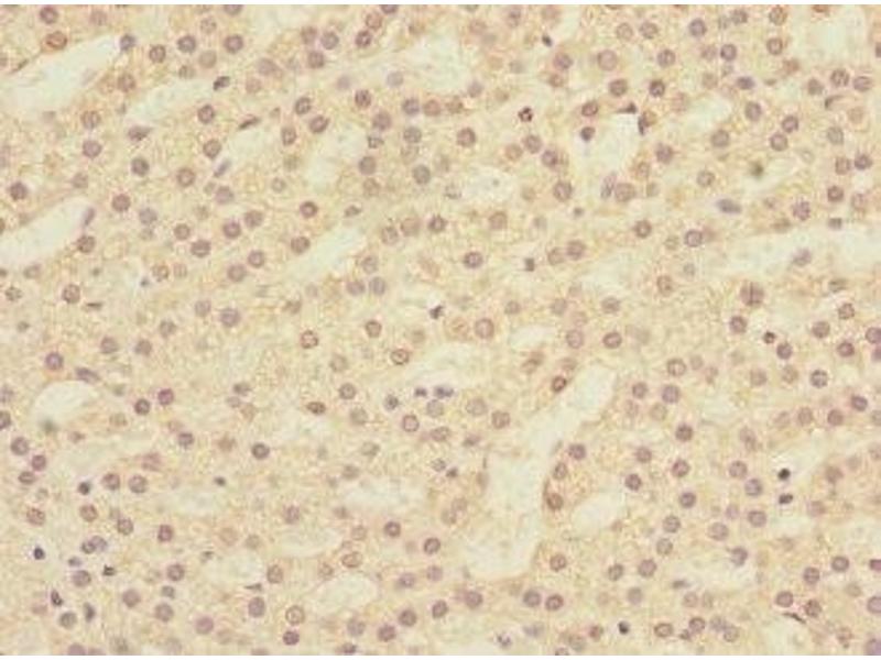
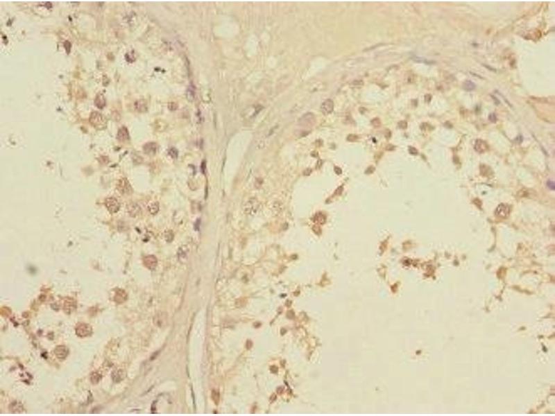
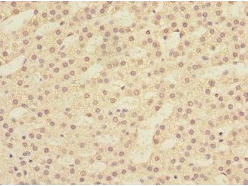
LFNG Antikörper (AA 1-250)
Kurzübersicht für LFNG Antikörper (AA 1-250) (ABIN7145375)
Target
Alle LFNG Antikörper anzeigenReaktivität
Wirt
Klonalität
Konjugat
Applikation
-
-
Bindungsspezifität
- AA 1-250
-
Verwendungszweck
- LFNG Antibody
-
Kreuzreaktivität
- Maus
-
Aufreinigung
- Antigen Affinity Purified
-
Immunogen
- Recombinant Human Beta-1,3-N-acetylglucosaminyltransferase lunatic fringe protein (1-250AA)
-
Isotyp
- IgG
-
-
-
-
Applikationshinweise
- Optimal working dilution should be determined by the investigator.
-
Beschränkungen
- Nur für Forschungszwecke einsetzbar
-
-
-
Format
- Liquid
-
Buffer
- PBS with 0.02 % sodium azide, 50 % glycerol, pH 7.3.
-
Konservierungsmittel
- Sodium azide
-
Vorsichtsmaßnahmen
- This product contains Sodium azide: a POISONOUS AND HAZARDOUS SUBSTANCE which should be handled by trained staff only.
-
Lagerung
- -20 °C,-80 °C
-
Informationen zur Lagerung
- Upon receipt, store at -20°C or -80°C. Avoid repeated freeze.
-
-
- LFNG (LFNG O-Fucosylpeptide 3-beta-N-Acetylglucosaminyltransferase (LFNG))
-
Andere Bezeichnung
- LFNG
-
Hintergrund
-
Background: Glycosyltransferase that initiates the elongation of O-linked fucose residues attached to EGF-like repeats in the extracellular domain of Notch molecules. Decreases the binding of JAGGED1 to NOTCH2 but not that of DELTA1. Essential mediator of somite segmentation and patterning (By similarity).
Aliases: 3-N-acetylglucosaminyltransferase lunatic fringe antibody, Beta-1 antibody, Beta-13-N-acetylglucosaminyltransferase lunatic fringe antibody, lfng antibody, LFNG_HUMAN antibody, O-fucosylpeptide 3-beta-N-acetylglucosaminyltransferase antibody, SCDO3 antibody
-
UniProt
- Q8NES3
-
Pathways
- Notch Signalweg
Target
-