Telefon:
+49 (0)241 95 163 153
Fax:
+49 (0)241 95 163 155
E-Mail:
orders@antikoerper-online.de

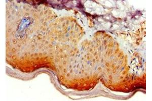
ATG14 Antikörper (AA 1-310)

Der Kaninchen Polyklonal anti-ATG14 Antikörper (ABIN7145338) detektiert spezifisch ATG14 in ELISA und IHC. Dieser Antikörper reagiert spezifisch mit Proben aus Human.
Produktnummer ABIN7145338
328,90 €
Zzgl. Versandkosten 20,00 € und MwSt
Lieferung nach: Deutschland
Lieferung in 11 bis 15 Werktagen

Kurzübersicht für ATG14 Antikörper (AA 1-310) (ABIN7145338)

Target

Alle ATG14 Antikörper anzeigen
ATG14 (ATG14 Autophagy Related 14 (ATG14))

Reaktivität

  • 35
  • 9
  • 7
  • 1
Human

Wirt

  • 27
  • 8
Kaninchen

Klonalität

  • 27
  • 8
Polyklonal

Konjugat

  • 19
  • 3
  • 3
  • 2
  • 1
  • 1
  • 1
  • 1
  • 1
  • 1
  • 1
  • 1
Dieser ATG14 Antikörper ist unkonjugiert

Applikation

  • 22
  • 19
  • 12
  • 7
  • 6
  • 2
  • 1
  • 1
  • 1
ELISA, Immunohistochemistry (IHC)
  • Bindungsspezifität

    • 7
    • 6
    • 3
    • 2
    • 1
    • 1
    • 1
    • 1
    • 1
    • 1
    • 1
    • 1
    • 1
    • 1
    AA 1-310

    Verwendungszweck

    ATG14 Antibody

    Aufreinigung

    Antigen Affinity Purified

    Immunogen

    Recombinant Human Beclin 1-associated autophagy-related key regulator protein (1-310AA)

    Isotyp

    IgG
  • Applikationshinweise

    Optimal working dilution should be determined by the investigator.

    Beschränkungen

    Nur für Forschungszwecke einsetzbar
  • Format

    Liquid

    Buffer

    PBS with 0.02 % sodium azide, 50 % glycerol, pH 7.3.

    Konservierungsmittel

    Sodium azide

    Vorsichtsmaßnahmen

    This product contains Sodium azide: a POISONOUS AND HAZARDOUS SUBSTANCE which should be handled by trained staff only.

    Lagerung

    -20 °C,-80 °C

    Informationen zur Lagerung

    Upon receipt, store at -20°C or -80°C. Avoid repeated freeze.
  • Target

    ATG14 (ATG14 Autophagy Related 14 (ATG14))

    Andere Bezeichnung

    ATG14

    Hintergrund

    Background: Required for both basal and inducible autophagy. Determines the localization of the autophagy-specific PI3-kinase complex. Plays a role in autophagosome formation and MAP1LC3/LC3 conjugation to phosphatidylethanolamine. Promotes BECN1 translocation from the trans-Golgi network to autophagosomes. Enhances PIK3C3 activity in a BECN1-dependent manner.

    Aliases: 4832427M01 antibody, ATG14 antibody, Atg14L antibody, Autophagy-related protein 14-like protein antibody, BAKOR_HUMAN antibody, Barkor antibody, Beclin 1-associated autophagy-related key regulator antibody, D14Ertd114e antibody, D14Ertd436e antibody, KIAA0831 antibody, mCG_6911 antibody

    UniProt

    Q6ZNE5

    Pathways

    Autophagie
Sie sind hier:
Chat with us!