Telefon:
+49 (0)241 95 163 153
Fax:
+49 (0)241 95 163 155
E-Mail:
orders@antikoerper-online.de

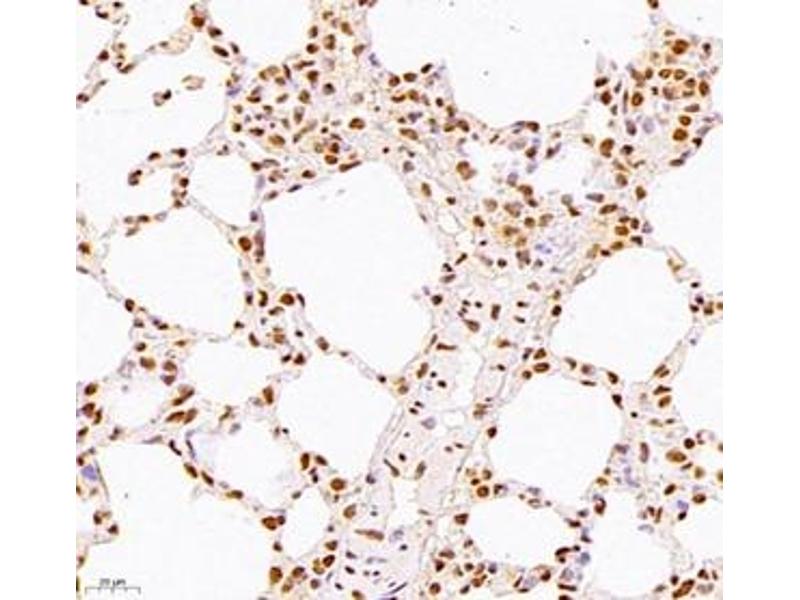
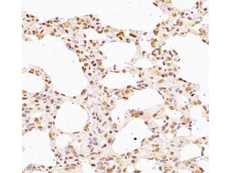
WDR13 Antikörper

Der Kaninchen Polyklonal anti-WDR13 Antikörper (ABIN7076212) detektiert spezifisch WDR13 in WB, IHC und IF. Dieser Antikörper reagiert spezifisch mit Proben aus Maus und Ratte.
Produktnummer ABIN7076212
592,31 €
Zzgl. Versandkosten 20,00 € und MwSt
100 μL
Lieferung nach: Deutschland
Lieferung in 13 bis 20 Werktagen

Kurzübersicht für WDR13 Antikörper (ABIN7076212)

Target

Alle WDR13 Antikörper anzeigen
WDR13 (WD Repeat Domain 13 (WDR13))

Reaktivität

  • 15
  • 6
  • 5
  • 4
  • 2
  • 2
  • 2
  • 2
  • 1
  • 1
  • 1
Maus, Ratte

Wirt

  • 12
  • 3
Kaninchen

Klonalität

  • 13
  • 2
Polyklonal

Konjugat

  • 12
  • 1
  • 1
  • 1
Dieser WDR13 Antikörper ist unkonjugiert

Applikation

  • 11
  • 9
  • 1
  • 1
Western Blotting (WB), Immunohistochemistry (IHC), Immunofluorescence (IF)
  • Kreuzreaktivität

    Ratte

    Aufreinigung

    Affinity purification

    Immunogen

    Recombinant protein corresponding to Mouse WDR13
  • Applikationshinweise

    WB (M) 1:1000-1:2000, IHC/IF (M,R) 1:2500-1:8000

    Beschränkungen

    Nur für Forschungszwecke einsetzbar
  • Format

    Liquid

    Buffer

    PBS, pH 7.4, 0.02 % sodium azide

    Konservierungsmittel

    Sodium azide

    Vorsichtsmaßnahmen

    This product contains Sodium azide: a POISONOUS AND HAZARDOUS SUBSTANCE which should be handled by trained staff only.

    Lagerung

    -20 °C
  • Target

    WDR13 (WD Repeat Domain 13 (WDR13))

    Andere Bezeichnung

    WDR13

    Hintergrund

    This gene encodes a member of the WD repeat protein family. WD repeats are minimally conserved regions of approximately 40 amino acids typically bracketed by Gly-His and Trp-Asp (GH-WD), which may facilitate formation of heterotrimeric or multiprotein complexes. Members of this family are involved in a variety of cellular processes, including cell cycle progression, signal transduction, apoptosis, and gene regulation. A similar protein in mouse is thought to be a negative regulator of the pancreatic beta cell proliferation. Mice lacking this gene exhibit increased pancreatic islet mass and higher serum insulin levels, and are mildly obese.

    Molekulargewicht

    54 kDa

    Gen-ID

    73447

    NCBI Accession

    NP_080413

    UniProt

    Q91V09
Sie sind hier:
Chat with us!