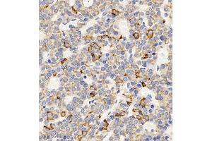
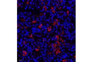
Der Kaninchen Polyklonal anti-TSHB Antikörper (ABIN7075906) detektiert spezifisch TSHB in IHC und IF.
Dieser Antikörper reagiert spezifisch mit Proben aus Maus und Ratte.
TSHB
Reaktivität: Human
IF (p), IF (cc)
Wirt: Maus
Polyclonal
AbBy Fluor® 555
Applikationshinweise
IHC/IF (M,R) 1:200-1:800/1:200-1:800
Beschränkungen
Nur für Forschungszwecke einsetzbar
Format
Liquid
Buffer
PBS, pH 7.4, 0.02 % sodium azide
Konservierungsmittel
Sodium azide
Vorsichtsmaßnahmen
This product contains Sodium azide: a POISONOUS AND HAZARDOUS SUBSTANCE which should be handled by trained staff only.
Lagerung
-20 °C
Target
TSHB
(Thyroid Stimulating Hormone, beta (TSHB))
Andere Bezeichnung
TSH beta
Hintergrund
The four human glycoprotein hormones chorionic gonadotropin (CG), luteinizing hormone (LH), follicle stimulating hormone (FSH), and thyroid stimulating hormone (TSH) are dimers consisting of alpha and beta subunits that are associated noncovalently. The alpha subunits of these hormones are identical, however, their beta chains are unique and confer biological specificity. Thyroid stimulating hormone functions in the control of thyroid structure and metabolism. The protein encoded by this gene is the beta subunit of thyroid stimulating hormone.