Telefon:
+49 (0)241 95 163 153
Fax:
+49 (0)241 95 163 155
E-Mail:
orders@antikoerper-online.de

PPP4R2 Antikörper

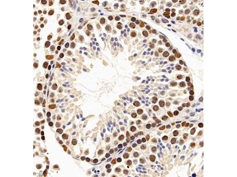
Der Kaninchen Polyklonal anti-PPP4R2 Antikörper wird verwendet zum Nachweis von PPP4R2 in Proben von Maus und Ratte. Er wurde validiert für IHC und IF.
Produktnummer ABIN7075284
592,31 €
Zzgl. Versandkosten 20,00 € und MwSt
100 μL
Lieferung nach: Deutschland
Lieferung in 13 bis 20 Werktagen

Kurzübersicht für PPP4R2 Antikörper (ABIN7075284)

Target

Alle PPP4R2 Antikörper anzeigen
PPP4R2 (Protein Phosphatase 4, Regulatory Subunit 2 (PPP4R2))

Reaktivität

  • 28
  • 20
  • 4
  • 3
  • 3
  • 3
  • 2
  • 2
  • 1
Maus, Ratte

Wirt

  • 28
Kaninchen

Klonalität

  • 28
Polyklonal

Konjugat

  • 16
  • 2
  • 1
  • 1
  • 1
  • 1
  • 1
  • 1
  • 1
  • 1
  • 1
  • 1
Dieser PPP4R2 Antikörper ist unkonjugiert

Applikation

  • 21
  • 14
  • 2
  • 2
  • 1
  • 1
  • 1
  • 1
Immunohistochemistry (IHC), Immunofluorescence (IF)
Sie sind hier:
Chat with us!