Telefon:
+49 (0)241 95 163 153
Fax:
+49 (0)241 95 163 155
E-Mail:
orders@antikoerper-online.de

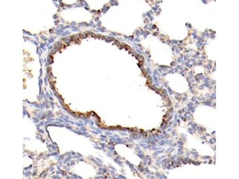
MLF1 Antikörper

Der Kaninchen Polyklonal anti-MLF1 Antikörper (ABIN7074712) detektiert spezifisch MLF1 in WB, IHC und IF. Dieser Antikörper reagiert spezifisch mit Proben aus Maus und Ratte.
Produktnummer ABIN7074712
592,31 €
Zzgl. Versandkosten 20,00 € und MwSt
100 μL
Lieferung nach: Deutschland
Lieferung in 13 bis 20 Werktagen

Kurzübersicht für MLF1 Antikörper (ABIN7074712)

Target

Alle MLF1 Antikörper anzeigen
MLF1 (Myeloid Leukemia Factor 1 (MLF1))

Reaktivität

  • 65
  • 44
  • 19
  • 1
  • 1
Maus, Ratte

Wirt

  • 61
  • 5
Kaninchen

Klonalität

  • 63
  • 3
Polyklonal

Konjugat

  • 35
  • 3
  • 3
  • 3
  • 2
  • 2
  • 1
  • 1
  • 1
  • 1
  • 1
  • 1
  • 1
  • 1
  • 1
  • 1
  • 1
  • 1
  • 1
  • 1
  • 1
  • 1
  • 1
  • 1
Dieser MLF1 Antikörper ist unkonjugiert

Applikation

  • 53
  • 21
  • 20
  • 16
  • 13
  • 7
  • 7
  • 4
  • 3
  • 3
  • 2
Western Blotting (WB), Immunohistochemistry (IHC), Immunofluorescence (IF)
  • Kreuzreaktivität

    Ratte

    Aufreinigung

    Affinity purification

    Immunogen

    Recombinant protein corresponding to Mouse Myeloid leukemia factor 1
  • Applikationshinweise

    WB (M,R) 1:500-1:1000, IHC/IF (M,R) 1:1000-1:3000

    Beschränkungen

    Nur für Forschungszwecke einsetzbar
  • Format

    Liquid

    Buffer

    PBS, pH 7.4, 0.02 % sodium azide

    Konservierungsmittel

    Sodium azide

    Vorsichtsmaßnahmen

    This product contains Sodium azide: a POISONOUS AND HAZARDOUS SUBSTANCE which should be handled by trained staff only.

    Lagerung

    -20 °C
  • Target

    MLF1 (Myeloid Leukemia Factor 1 (MLF1))

    Andere Bezeichnung

    Myeloid leukemia factor 1

    Hintergrund

    Involved in lineage commitment of primary hemopoietic progenitors by restricting erythroid formation and enhancing myeloid formation. Interferes with erythropoietin-induced erythroid terminal differentiation by preventing cells from exiting the cell cycle through suppression of CDKN1B/p27Kip1 levels. Suppresses RFWD2/COP1 activity via CSN3 which activates p53 and induces cell cycle arrest. Binds DNA and affects the expression of a number of genes so may function as a transcription factor in the nucleus.

    Molekulargewicht

    31 kDa

    Gen-ID

    17349

    NCBI Accession

    NP_034931

    UniProt

    Q9QWV4
Sie sind hier:
Chat with us!