Telefon:
+49 (0)241 95 163 153
Fax:
+49 (0)241 95 163 155
E-Mail:
orders@antikoerper-online.de

Ghrelin Antikörper

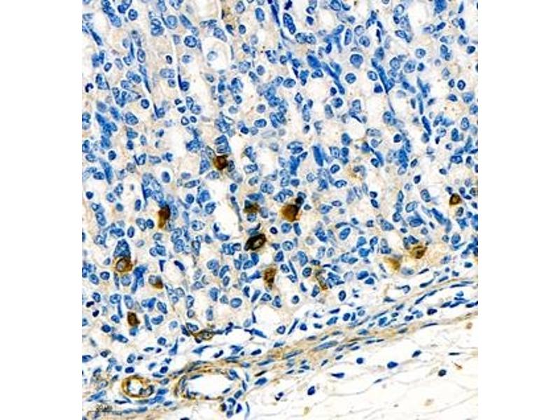
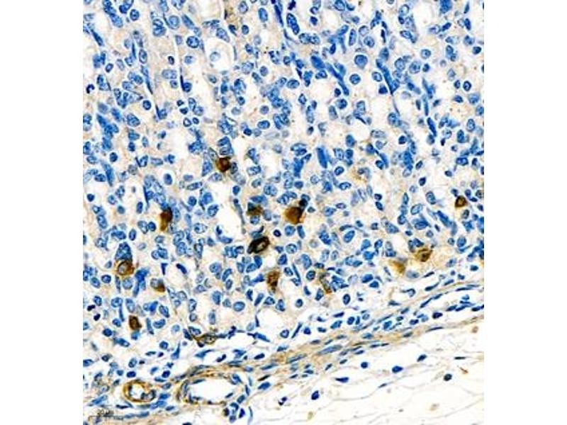
Der Kaninchen Polyklonal anti-Ghrelin Antikörper (ABIN7074040) detektiert spezifisch Ghrelin in IHC und IF. Dieser Antikörper reagiert spezifisch mit Proben aus Ratte und Maus.
Produktnummer ABIN7074040
592,31 €
Zzgl. Versandkosten 20,00 € und MwSt
100 μL
Lieferung nach: Deutschland
Lieferung in 13 bis 20 Werktagen

Kurzübersicht für Ghrelin Antikörper (ABIN7074040)

Target

Alle Ghrelin (GHRL) Antikörper anzeigen
Ghrelin (GHRL)

Reaktivität

  • 90
  • 55
  • 26
  • 8
  • 3
  • 2
Ratte, Maus

Wirt

  • 93
  • 25
  • 4
  • 1
Kaninchen

Klonalität

  • 99
  • 24
Polyklonal

Konjugat

  • 51
  • 12
  • 5
  • 4
  • 4
  • 4
  • 4
  • 3
  • 2
  • 2
  • 2
  • 2
  • 2
  • 2
  • 2
  • 2
  • 2
  • 2
  • 2
  • 2
  • 2
  • 2
  • 2
  • 2
  • 2
  • 1
  • 1
Dieser Ghrelin Antikörper ist unkonjugiert

Applikation

  • 64
  • 52
  • 26
  • 26
  • 26
  • 11
  • 10
  • 8
  • 7
  • 5
  • 4
  • 3
  • 3
  • 2
  • 2
  • 2
  • 2
  • 2
  • 2
  • 1
  • 1
Immunohistochemistry (IHC), Immunofluorescence (IF)
  • Kreuzreaktivität

    Ratte

    Aufreinigung

    Affinity purification

    Immunogen

    Recombinant protein corresponding to Mouse Ghrelin
  • Applikationshinweise

    IHC/IF (M,R) 1:500-1:3000/1:500-1:1000

    Beschränkungen

    Nur für Forschungszwecke einsetzbar
  • Format

    Liquid

    Buffer

    PBS, pH 7.4, 0.02 % sodium azide

    Konservierungsmittel

    Sodium azide

    Vorsichtsmaßnahmen

    This product contains Sodium azide: a POISONOUS AND HAZARDOUS SUBSTANCE which should be handled by trained staff only.

    Lagerung

    -20 °C
  • Target

    Ghrelin (GHRL)

    Andere Bezeichnung

    Ghrelin

    Hintergrund

    Ghrelin, the "hunger hormone", also known as lenomorelin (INN), is a peptide hormone produced by ghrelinergic cells in the gastrointestinal tract, which functions as a neuropeptide in the central nervous system. Besides regulating appetite, ghrelin also plays a significant role in regulating the distribution and rate of use of energy. When the stomach is empty, ghrelin is absorbed. When the stomach is stretched, secretion stops.

    Gen-ID

    58991

    NCBI Accession

    NP_001273333

    UniProt

    Q9EQX0

    Pathways

    Positive Regulation of Peptide Hormone Secretion, Hormone Transport, Peptide Hormone Metabolism, Negative Regulation of Hormone Secretion, Synaptic Membrane, Feeding Behaviour
Sie sind hier:
Chat with us!