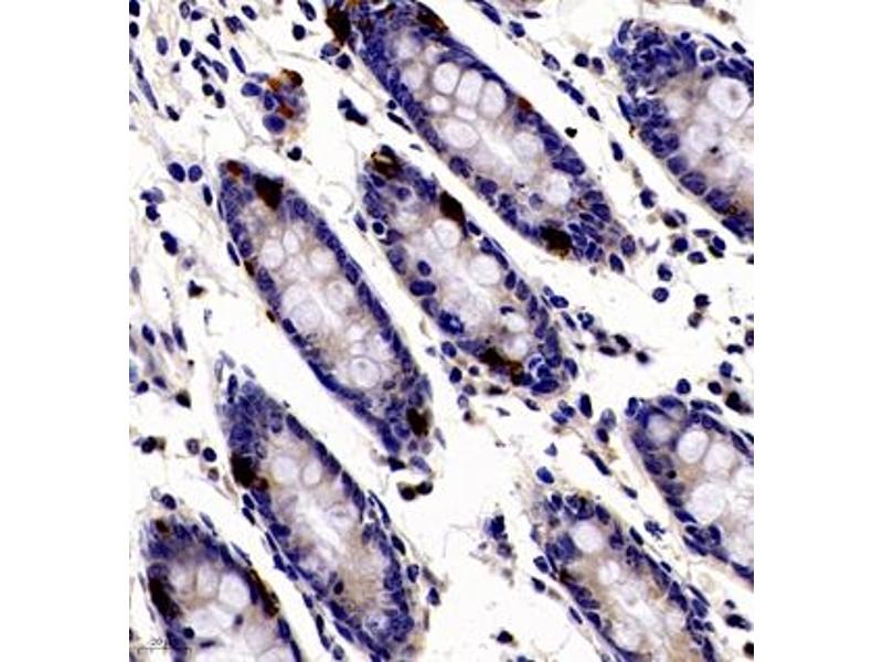
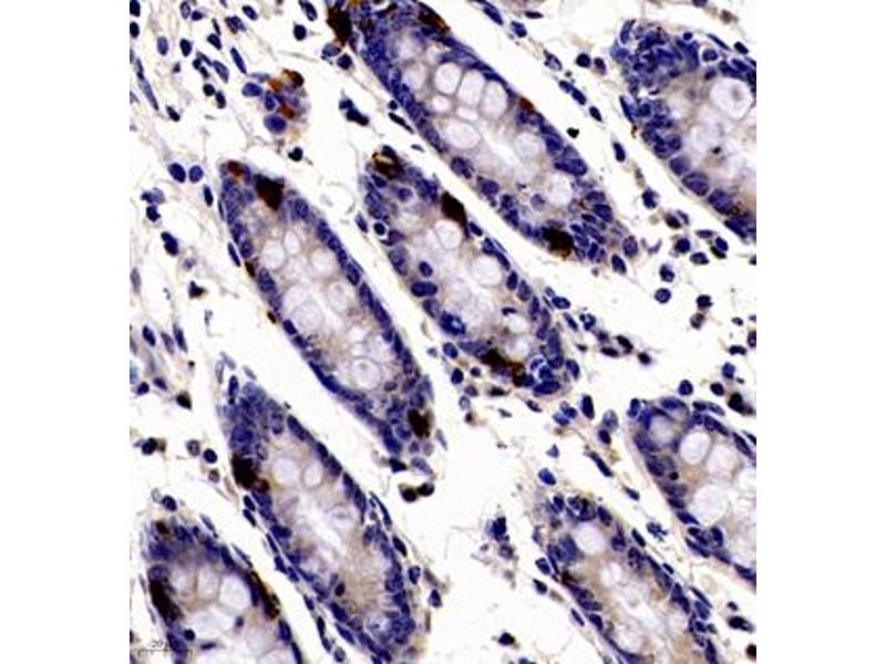
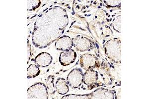
Der Kaninchen Polyklonal anti-ANKK1 Antikörper (ABIN7073056) detektiert spezifisch ANKK1 in IHC und IF.
Dieser Antikörper reagiert spezifisch mit Proben aus Human.
ANKK1
Reaktivität: Maus, Ratte
WB, IF (cc), IF (p)
Wirt: Kaninchen
Polyclonal
Cy3
Applikationshinweise
IHC/IF (H) 1:100-1:400
Beschränkungen
Nur für Forschungszwecke einsetzbar
Format
Liquid
Buffer
PBS, pH 7.4, 0.02 % sodium azide
Konservierungsmittel
Sodium azide
Vorsichtsmaßnahmen
This product contains Sodium azide: a POISONOUS AND HAZARDOUS SUBSTANCE which should be handled by trained staff only.
Lagerung
-20 °C
Target
ANKK1
(Ankyrin Repeat and Protein Kinase Domain-Containing Protein 1 (ANKK1))
Andere Bezeichnung
ANKK1
Hintergrund
ANKK1 (ankyrin repeat and kinase domain containing 1), also known as PKK2 or SGK288, is a 765 amino acid protein that belongs to the Ser/Thr protein kinase family and contains 12 ANK repeats and one protein kinase domain. Highly expressed in brain tissue and present in lower amounts in placenta and spinal cord, ANKK1 functions to catalyze the ATP-dependent phosphorylation of target proteins and is thought to play a role in alcohol and nicotine dependence. The gene encoding ANKK1 maps to human chromosome 11, which houses over 1,400 genes and comprises nearly 4 % of the human genome.