ANKK1 Antikörper (Internal Region)
Kurzübersicht für ANKK1 Antikörper (Internal Region) (ABIN302177)
Target
Alle ANKK1 Antikörper anzeigenReaktivität
Wirt
Klonalität
Konjugat
Applikation
Güteklasse
-
-
Bindungsspezifität
- Internal Region
-
Verwendungszweck
- ANKK1
-
Sequenz
- SRQADPNLHE AEGKT
-
Kreuzreaktivität
- Human
-
Aufreinigung
- Purified from goat serum by ammonium sulphate precipitation followed by antigen affinity chromatography using the immunizing peptide.
-
Immunogen
- Peptide with sequence C-SRQADPNLHEAEGKT, from the internal region of the protein sequence according to NP_848605.1.
-
Isotyp
- IgG
-
-
-
-
Applikationshinweise
-
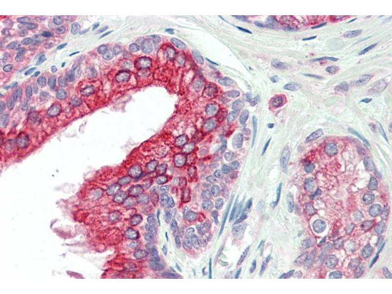
Immunohistochemistry: Paraffin embedded Human Prostate. Recommended concentration: 5-10 μg/mL.
Western Blot: Approx. 85 kDa band observed in Human Brain (Substantia nigra and Amygdala) lysates (calculated MW of 84.6 kDa according to NP_848605.1). Recommended concentration: 0.1-0.3 μg/mL. Primary incubation was 1 hour. An additional band of unknown i
Peptide ELISA: antibody detection limit dilution 1:128000.
-
Beschränkungen
- Nur für Forschungszwecke einsetzbar
-
-
-
Format
- Liquid
-
Konzentration
- 0.5 mg/mL
-
Buffer
- Supplied at 0.5 mg/mL in Tris saline, 0.02 % sodium azide, pH 7.3 with 0.5 % bovine serum albumin.
-
Konservierungsmittel
- Sodium azide
-
Vorsichtsmaßnahmen
- This product contains Sodium azide: a POISONOUS AND HAZARDOUS SUBSTANCE which should be handled by trained staff only.
-
Handhabung
- Minimize freezing and thawing.
-
Lagerung
- -20 °C
-
Informationen zur Lagerung
- Aliquot and store at -20°C, with minimal freeze/thawing. A working aliquot may be refrigerated at 4°C for a few weeks and still remain viable.
-
-
- ANKK1 (Ankyrin Repeat and Protein Kinase Domain-Containing Protein 1 (ANKK1))
-
Andere Bezeichnung
- ANKK1
-
Hintergrund
- ANKK1, ankyrin repeat and kinase domain containing 1, PKK2, X-kinase, protein kinase PKK2
-
Gen-ID
- 255239
-
NCBI Accession
- NP_848605
Target
-