Telefon:
+49 (0)241 95 163 153
Fax:
+49 (0)241 95 163 155
E-Mail:
orders@antikoerper-online.de

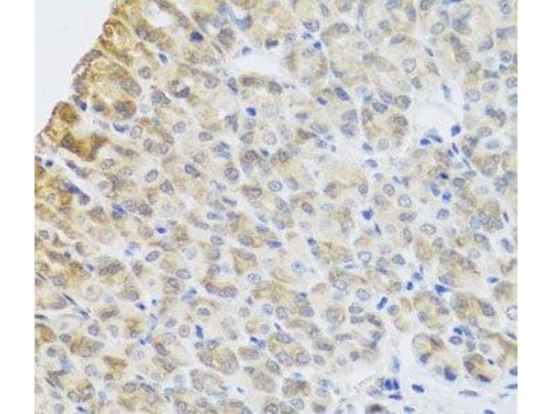
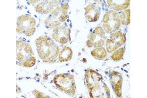
PER1 Antikörper

Dieser Kaninchen Polyklonal Antikörper detektiert spezifisch PER1 in IHC und IF. Es zeigt Reaktivität gegenüber Proben von Human, Maus und Ratte.
Produktnummer ABIN7264489
580,00 €
Zzgl. Versandkosten 20,00 € und MwSt
Lieferung nach: Deutschland
Lieferung in 9 bis 13 Werktagen

Kurzübersicht für PER1 Antikörper (ABIN7264489)

Target

Alle PER1 Antikörper anzeigen
PER1 (Period Homolog 1 (Drosophila) (PER1))

Reaktivität

  • 36
  • 11
  • 11
  • 3
  • 3
  • 2
  • 2
  • 2
  • 2
  • 1
  • 1
  • 1
  • 1
  • 1
Human, Maus, Ratte

Wirt

  • 34
  • 4
  • 1
Kaninchen

Klonalität

  • 36
  • 3
Polyklonal

Konjugat

  • 28
  • 3
  • 3
  • 2
  • 2
  • 1
Dieser PER1 Antikörper ist unkonjugiert

Applikation

  • 32
  • 20
  • 8
  • 4
  • 4
  • 2
  • 2
  • 1
  • 1
  • 1
  • 1
  • 1
Immunohistochemistry (IHC), Immunofluorescence (IF)
  • Produktmerkmale

    Polyclonal Antibody

    Aufreinigung

    Affinity purification

    Immunogen

    Recombinant fusion protein of human PER1 (NP_002607.2).

    Isotyp

    IgG
  • Applikationshinweise

    IHC 1:50-1:100 IF 1:50-1:200

    Beschränkungen

    Nur für Forschungszwecke einsetzbar
  • Format

    Liquid

    Konzentration

    1 mg/mL

    Buffer

    PBS with 0.02 % sodium azide, 50 % glycerol, pH 7.3

    Konservierungsmittel

    Sodium azide

    Vorsichtsmaßnahmen

    This product contains Sodium azide: a POISONOUS AND HAZARDOUS SUBSTANCE which should be handled by trained staff only.

    Lagerung

    -20 °C

    Informationen zur Lagerung

    Store at -20°C. Avoid freeze / thaw cycles.
  • Target

    PER1 (Period Homolog 1 (Drosophila) (PER1))

    Andere Bezeichnung

    PER1

    Hintergrund

    This gene is a member of the Period family of genes and is expressed in a circadian pattern in the suprachiasmatic nucleus, the primary circadian pacemaker in the mammalian brain. Genes in this family encode components of the circadian rhythms of locomotor activity, metabolism, and behavior. This gene is upregulated by CLOCK/ARNTL heterodimers but then represses this upregulation in a feedback loop using PER/CRY heterodimers to interact with CLOCK/ARNTL. Polymorphisms in this gene may increase the risk of getting certain cancers. Alternative splicing has been observed in this gene, however, these variants have not been fully described.

    Gen-ID

    5187

    UniProt

    O15534

    Pathways

    Photoperiodism
Sie sind hier:
Chat with us!