Telefon:
+49 (0)241 95 163 153
Fax:
+49 (0)241 95 163 155
E-Mail:
orders@antikoerper-online.de

PHIP Antikörper

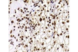
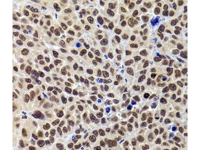
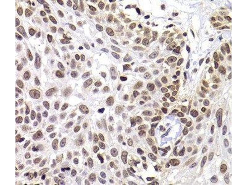
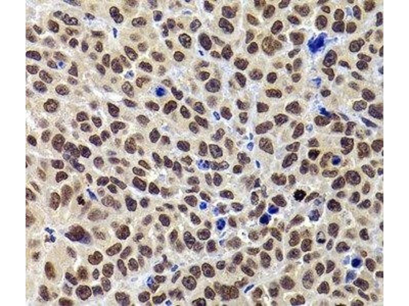
Der Kaninchen Polyklonal anti-PHIP Antikörper (ABIN7263187) detektiert spezifisch PHIP in IHC und IF. Dieser Antikörper reagiert spezifisch mit Proben aus Human und Maus.
Produktnummer ABIN7263187
580,00 €
Zzgl. Versandkosten 20,00 € und MwSt
Lieferung nach: Deutschland
Lieferung in 9 bis 13 Werktagen

Kurzübersicht für PHIP Antikörper (ABIN7263187)

Target

Alle PHIP Antikörper anzeigen
PHIP (Pleckstrin Homology Domain Interacting Protein (PHIP))

Reaktivität

  • 16
  • 3
  • 2
  • 2
  • 1
  • 1
  • 1
  • 1
  • 1
  • 1
  • 1
Human, Maus

Wirt

  • 13
  • 3
Kaninchen

Klonalität

  • 14
  • 2
Polyklonal

Konjugat

  • 12
  • 2
  • 1
  • 1
Dieser PHIP Antikörper ist unkonjugiert

Applikation

  • 11
  • 9
  • 4
  • 3
  • 2
Immunohistochemistry (IHC), Immunofluorescence (IF)
Sie sind hier:
Chat with us!