PBS with 0.02 % sodium azide,50 % glycerol, pH 7.3.
Konservierungsmittel
Sodium azide
Vorsichtsmaßnahmen
This product contains Sodium azide: a POISONOUS AND HAZARDOUS SUBSTANCE which should be handled by trained staff only.
Lagerung
-20 °C
Informationen zur Lagerung
Store at -20°C. Avoid freeze / thaw cycles.
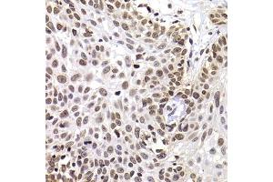
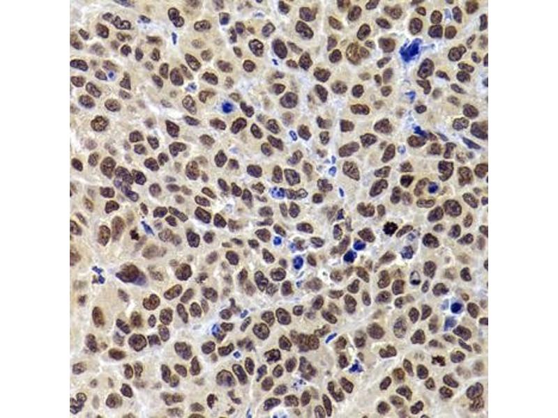
Target
PHIP
(Pleckstrin Homology Domain Interacting Protein (PHIP))
Andere Bezeichnung
PHIP
Hintergrund
This gene encodes a protein that binds to the insulin receptor substrate 1 protein and regulates glucose transporter translocation in skeletal muscle cells. The encoded protein may also regulate growth and survival of pancreatic beta cells. Elevated copy number of this gene may be associated with melanoma severity and the encoded protein may promote melanoma metastasis in human patients.,PHIP,BRWD2,DCAF14,WDR11,ndrp,Epigenetics & Nuclear Signaling,Signal Transduction,Cell Biology & Developmental Biology,Growth factor,PHIP