NOL3 Antikörper
Kurzübersicht für NOL3 Antikörper (ABIN7011040)
Target
Alle NOL3 Antikörper anzeigenReaktivität
Wirt
Klonalität
Konjugat
Applikation
-
-
Produktmerkmale
- Polyclonal Antibody
-
Aufreinigung
- Affinity purification
-
Immunogen
- Recombinant fusion protein of human NOL3 (NP_003937.1).
-
Isotyp
- IgG
-
-
-
-
Applikationshinweise
- WB 1:500-1:2000 IHC 1:50-1:200 IF 1:10-1:100
-
Beschränkungen
- Nur für Forschungszwecke einsetzbar
-
-
-
Format
- Liquid
-
Konzentration
- 1 mg/mL
-
Buffer
- PBS with 0.02 % sodium azide, 50 % glycerol, pH 7.3
-
Konservierungsmittel
- Sodium azide
-
Vorsichtsmaßnahmen
- This product contains Sodium azide: a POISONOUS AND HAZARDOUS SUBSTANCE which should be handled by trained staff only.
-
Lagerung
- -20 °C
-
Informationen zur Lagerung
- Store at -20°C. Avoid freeze / thaw cycles.
-
-
- NOL3 (Nucleolar Protein 3 (Apoptosis Repressor with CARD Domain) (NOL3))
-
Andere Bezeichnung
- NOL3
-
Hintergrund
- This gene encodes an anti-apoptotic protein that has been shown to down-regulate the enzyme activities of caspase 2, caspase 8 and tumor protein p53. Multiple transcript variants encoding different isoforms have been found for this gene.
-
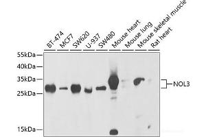
Molekulargewicht
-
Observed_MW: 26 kDa
Calculated_MW: 22 kDa/24 kDa/29 kDa
-
Gen-ID
- 8996
-
UniProt
- O60936
Target
-