GFM1 Antikörper
Kurzübersicht für GFM1 Antikörper (ABIN7261181)
Target
Alle GFM1 Antikörper anzeigenReaktivität
Wirt
Klonalität
Konjugat
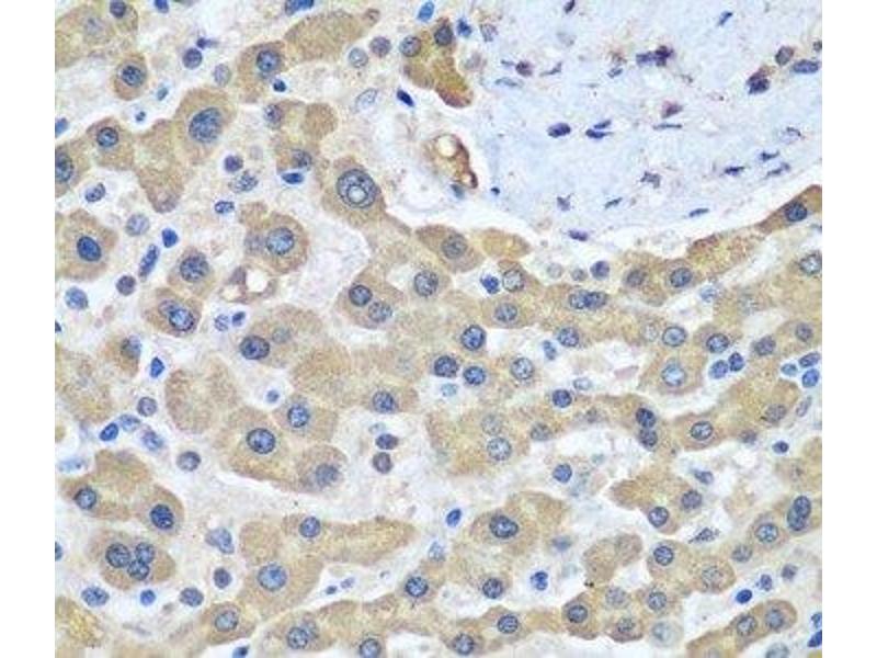
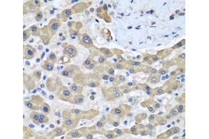
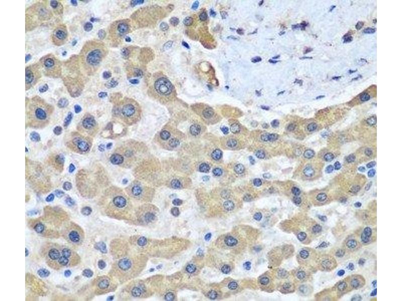
Applikation
-
-
Produktmerkmale
- Polyclonal Antibody
-
Aufreinigung
- Affinity purification
-
Immunogen
- Recombinant fusion protein of human GFM1 (NP_079272.4).
-
Isotyp
- IgG
-
-
-
-
Applikationshinweise
- WB 1:500-1:2000 IHC 1:50-1:200 IF 1:50-1:200
-
Beschränkungen
- Nur für Forschungszwecke einsetzbar
-
-
-
Format
- Liquid
-
Konzentration
- 1 mg/mL
-
Buffer
- PBS with 0.02 % sodium azide, 50 % glycerol, pH 7.3
-
Konservierungsmittel
- Sodium azide
-
Vorsichtsmaßnahmen
- This product contains Sodium azide: a POISONOUS AND HAZARDOUS SUBSTANCE which should be handled by trained staff only.
-
Lagerung
- -20 °C
-
Informationen zur Lagerung
- Store at -20°C. Avoid freeze / thaw cycles.
-
-
- GFM1 (G-Elongation Factor, Mitochondrial 1 (GFM1))
-
Andere Bezeichnung
- GFM1
-
Hintergrund
- Eukaryotes contain two protein translational systems, one in the cytoplasm and one in the mitochondria. Mitochondrial translation is crucial for maintaining mitochondrial function and mutations in this system lead to a breakdown in the respiratory chain-oxidative phosphorylation system and to impaired maintenance of mitochondrial DNA. This gene encodes one of the mitochondrial translation elongation factors. Its role in the regulation of normal mitochondrial function and in different disease states attributed to mitochondrial dysfunction is not known.
-
Molekulargewicht
-
Observed_MW: 100 kDa
Calculated_MW: 83 kDa/85 kDa
-
Gen-ID
- 85476
-
UniProt
- Q96RP9
Target
-