×
Aktivieren Sie Javascript in Ihrem Browser, um unsere Webseite optimal zu nutzen.
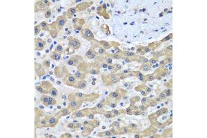
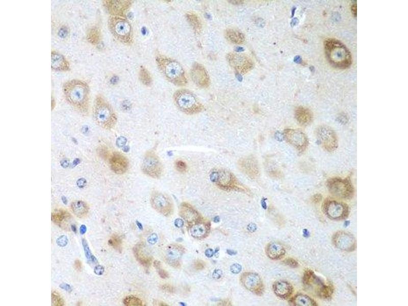
GFM1 Antikörper (AA 482-751)
Dieser Kaninchen Polyklonal Antikörper detektiert spezifisch GFM1 in WB und IHC. Es zeigt Reaktivität gegenüber Proben von Human.
Produktnummer ABIN1679983
320,00 €
Zzgl. Versandkosten 20,00 € und MwSt
20 μL ABIN6220844
100 μg ABIN1679983
500 μL ABIN3019361
1000 μL ABIN3019360
20 μL ABIN6220844
100 μg ABIN1679983
500 μL ABIN3019361
1000 μL ABIN3019360
Lieferung in 7 bis 9 Werktagen
Kurzübersicht für GFM1 Antikörper (AA 482-751) (ABIN1679983)
Target
Alle GFM1 Antikörper anzeigen
GFM1
(G-Elongation Factor, Mitochondrial 1 (GFM1))
Reaktivität
Alle Reaktivitäten für GFM1 Antikörper
Human
Wirt
Alle Wirte für GFM1 Antikörper
Kaninchen
Klonalität
Alle Klonalitäten für GFM1 Antikörper
Polyklonal
Konjugat
Alle Konjugate für GFM1 Antikörper
Dieser GFM1 Antikörper ist unkonjugiert
Applikation
Alle Applikationen für GFM1 Antikörper
Western Blotting (WB), Immunohistochemistry (IHC)
Produktdetails anti-GFM1 Antikörper
(ausblenden)
Bindungsspezifität
Alle Epitope für GFM1 Antikörper
AA 482-751
Sequenz
VYFDTENKET VISGMGELHL EIYAQRLERE YGCPCITGKP KVAFRETITA PVPFDFTHKK QSGGAGQYGK VIGVLEPLDP EDYTKLEFSD ETFGSNIPKQ FVPAVEKGFL DACEKGPLSG HKLSGLRFVL QDGAHHMVDS NEISFIRAGE GALKQALANA TLCILEPIMA VEVVAPNEFQ GQVIAGINRR HGVITGQDGV EDYFTLYADV PLNDMFGYST ELRSCTEGKG EYTMEYSRYQ PCLPSTQEDV INKYLEATGQ LPVKKGKAKN
Kreuzreaktivität
Human, Maus, Ratte
Produktmerkmale
Polyclonal Antibodies
Aufreinigung
Affinity purification
Immunogen
Recombinant fusion protein containing a sequence corresponding to amino acids 482-751 of human GFM1 (NP_079272.4).
Isotyp
IgG
Alternativen
(anzeigen)
Anwendungsinformationen
(ausblenden)
Applikationshinweise
WB,1:500 - 1:2000,IHC,1:50 - 1:200
Beschränkungen
Nur für Forschungszwecke einsetzbar
Handhabung
(ausblenden)
Buffer
PBS with 0.02 % sodium azide,50 % glycerol, pH 7.3.
Konservierungsmittel
Sodium azide
Vorsichtsmaßnahmen
This product contains Sodium azide: a POISONOUS AND HAZARDOUS SUBSTANCE which should be handled by trained staff only.
Lagerung
-20 °C
Informationen zur Lagerung
Store at -20°C. Avoid freeze / thaw cycles.
Details zu GFM1
(ausblenden)
Target
GFM1
(G-Elongation Factor, Mitochondrial 1 (GFM1))
Andere Bezeichnung
GFM1
Hintergrund
Eukaryotes contain two protein translational systems, one in the cytoplasm and one in the mitochondria. Mitochondrial translation is crucial for maintaining mitochondrial function and mutations in this system lead to a breakdown in the respiratory chain-oxidative phosphorylation system and to impaired maintenance of mitochondrial DNA. This gene encodes one of the mitochondrial translation elongation factors. Its role in the regulation of normal mitochondrial function and in different disease states attributed to mitochondrial dysfunction is not known.,GFM1,COXPD1,EFG,EFG1,EFGM,EGF1,GFM,hEFG1,Epigenetics & Nuclear Signaling,RNA Binding,Signal Transduction,Endocrine & Metabolism,Mitochondrial metabolism,Mitochondrial markers,Mitochondrial translation,Nucleotide metabolism,GFM1
Molekulargewicht
83 kDa/85 kDa
Gen-ID
85476
UniProt
Q96RP9
Zuletzt angesehen
(ausblenden)
Sie sind hier:
Startseite
anti-GFM1 Antikörper (AA 482-751) (ABIN1679983)
Chat with us , powered by LiveChat