Telefon:
+49 (0)241 95 163 153
Fax:
+49 (0)241 95 163 155
E-Mail:
orders@antikoerper-online.de

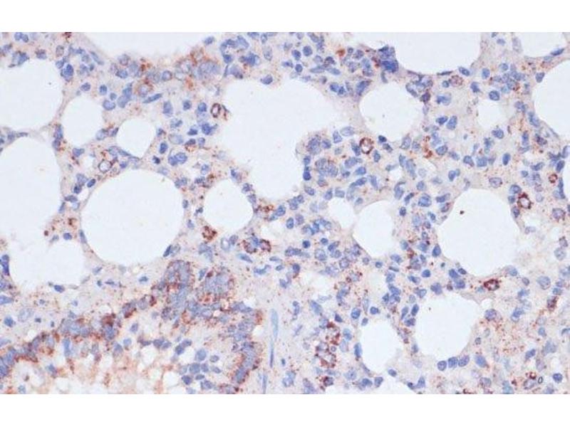
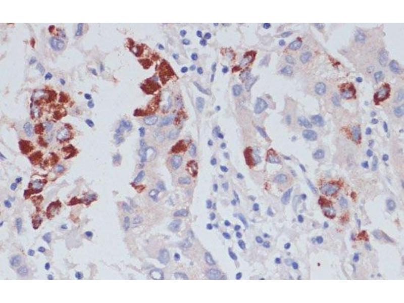
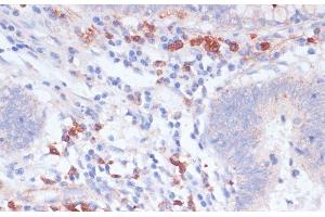
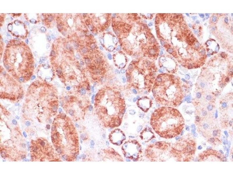
VASP Antikörper

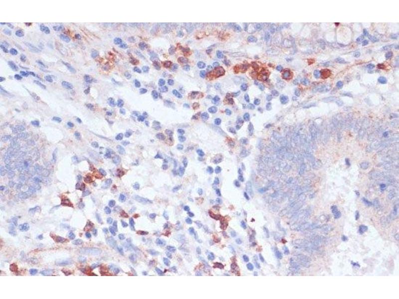
Der Kaninchen Polyklonal anti-VASP Antikörper wird verwendet zum Nachweis von VASP in Proben von Human, Maus und Ratte. Er wurde validiert für IHC.
Produktnummer ABIN7257730
580,00 €
Zzgl. Versandkosten 20,00 € und MwSt
Lieferung nach: Deutschland
Lieferung in 9 bis 13 Werktagen

Kurzübersicht für VASP Antikörper (ABIN7257730)

Target

Alle VASP Antikörper anzeigen
VASP (Vasodilator-Stimulated phosphoprotein (VASP))

Reaktivität

  • 138
  • 59
  • 56
  • 14
  • 10
  • 9
  • 5
  • 3
  • 2
  • 1
  • 1
  • 1
Human, Maus, Ratte

Wirt

  • 120
  • 18
  • 2
Kaninchen

Klonalität

  • 103
  • 37
Polyklonal

Konjugat

  • 86
  • 8
  • 4
  • 4
  • 4
  • 4
  • 4
  • 4
  • 4
  • 2
  • 2
  • 1
  • 1
  • 1
  • 1
  • 1
  • 1
  • 1
  • 1
  • 1
  • 1
  • 1
  • 1
  • 1
  • 1
Dieser VASP Antikörper ist unkonjugiert

Applikation

  • 114
  • 60
  • 50
  • 40
  • 23
  • 19
  • 15
  • 15
  • 14
  • 14
  • 5
  • 4
  • 1
  • 1
Immunohistochemistry (IHC)
Sie sind hier:
Chat with us!