Telefon:
+49 (0)241 95 163 153
Fax:
+49 (0)241 95 163 155
E-Mail:
orders@antikoerper-online.de

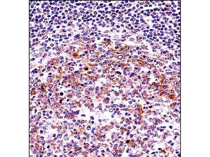
VASP Antikörper (C-Term)

Der Kaninchen Polyklonal anti-VASP Antikörper wird verwendet zum Nachweis von VASP in Proben von Human. Er wurde validiert für WB und IHC (p).
Produktnummer ABIN657920
434,77 €
Zzgl. Versandkosten 20,00 € und MwSt
Lieferung nach: Deutschland
Lieferung in 14 bis 17 Werktagen

Kurzübersicht für VASP Antikörper (C-Term) (ABIN657920)

Target

Alle VASP Antikörper anzeigen
VASP (Vasodilator-Stimulated phosphoprotein (VASP))

Reaktivität

  • 139
  • 60
  • 57
  • 14
  • 10
  • 9
  • 5
  • 3
  • 2
  • 1
  • 1
  • 1
Human

Wirt

  • 120
  • 19
  • 2
Kaninchen

Klonalität

  • 103
  • 38
Polyklonal

Konjugat

  • 87
  • 8
  • 4
  • 4
  • 4
  • 4
  • 4
  • 4
  • 4
  • 2
  • 2
  • 1
  • 1
  • 1
  • 1
  • 1
  • 1
  • 1
  • 1
  • 1
  • 1
  • 1
  • 1
  • 1
  • 1
Dieser VASP Antikörper ist unkonjugiert

Applikation

  • 114
  • 61
  • 51
  • 40
  • 22
  • 19
  • 15
  • 15
  • 14
  • 14
  • 5
  • 4
  • 1
  • 1
Western Blotting (WB), Immunohistochemistry (Paraffin-embedded Sections) (IHC (p))

Klon

RB33829
  • Bindungsspezifität

    • 18
    • 18
    • 15
    • 7
    • 5
    • 4
    • 4
    • 3
    • 2
    • 2
    • 2
    • 2
    • 2
    • 2
    • 2
    • 2
    • 1
    • 1
    • 1
    • 1
    • 1
    • 1
    • 1
    • 1
    • 1
    • 1
    • 1
    • 1
    • 1
    • 1
    • 1
    • 1
    • 1
    • 1
    • 1
    • 1
    • 1
    • 1
    • 1
    • 1
    • 1
    • 1
    AA 267-296, C-Term

    Aufreinigung

    This antibody is purified through a protein A column, followed by peptide affinity purification.

    Immunogen

    This VASP antibody is generated from rabbits immunized with a KLH conjugated synthetic peptide between 267-296 amino acids from the C-terminal region of human VASP.

    Isotyp

    Ig Fraction
  • Applikationshinweise

    WB: 1:2000. IHC-P: 1:10~50

    Beschränkungen

    Nur für Forschungszwecke einsetzbar
  • Format

    Liquid

    Buffer

    Purified polyclonal antibody supplied in PBS with 0.09 % (W/V) sodium azide.

    Konservierungsmittel

    Sodium azide

    Vorsichtsmaßnahmen

    This product contains Sodium azide: a POISONOUS AND HAZARDOUS SUBSTANCE which should be handled by trained staff only.

    Lagerung

    4 °C,-20 °C

    Informationen zur Lagerung

    VASP Antibody (C-term) can be refrigerated at 2-8 °C for up to 6 months. For long term storage, place the at -20 °C.

    Haltbarkeit

    6 months
  • Target

    VASP (Vasodilator-Stimulated phosphoprotein (VASP))

    Andere Bezeichnung

    VASP

    Hintergrund

    Vasodilator-stimulated phosphoprotein (VASP) is a member of the Ena-VASP protein family. Ena-VASP family members contain an EHV1 N-terminal domain that binds proteins containing E/DFPPPPXD/E motifs and targets Ena-VASP proteins to focal adhesions. In the mid-region of the protein, family members have a proline-rich domain that binds SH3 and WW domain-containing proteins. Their C-terminal EVH2 domain mediates tetramerization and binds both G and F actin. VASP is associated with filamentous actin formation and likely plays a widespread role in cell adhesion and motility. VASP may also be involved in the intracellular signaling pathways that regulate integrin-extracellular matrix interactions. VASP is regulated by the cyclic nucleotide-dependent kinases PKA and PKG.

    Molekulargewicht

    39830

    Gen-ID

    7408

    NCBI Accession

    NP_003361

    UniProt

    P50552

    Pathways

    T-Zell Rezeptor Signalweg, Regulation of Actin Filament Polymerization, Tube Formation
Sie sind hier:
Chat with us!