Telefon:
+49 (0)241 95 163 153
Fax:
+49 (0)241 95 163 155
E-Mail:
orders@antikoerper-online.de

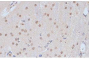
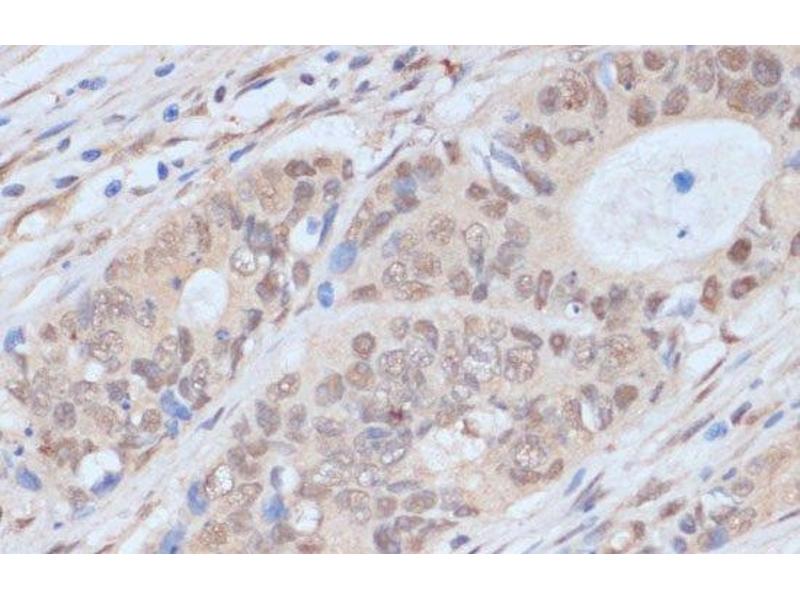
CDK9 Antikörper

Der Kaninchen Polyklonal anti-CDK9 Antikörper wird verwendet zum Nachweis von CDK9 in Proben von Human, Maus und Ratte. Er wurde validiert für IHC.
Produktnummer ABIN7255025
580,00 €
Zzgl. Versandkosten 20,00 € und MwSt
Lieferung nach: Deutschland
Lieferung in 9 bis 13 Werktagen

Kurzübersicht für CDK9 Antikörper (ABIN7255025)

Target

Alle CDK9 Antikörper anzeigen
CDK9 (Cyclin-Dependent Kinase 9 (CDK9))

Reaktivität

  • 109
  • 48
  • 22
  • 7
  • 6
  • 6
  • 5
  • 3
  • 1
  • 1
  • 1
Human, Maus, Ratte

Wirt

  • 105
  • 4
  • 2
Kaninchen

Klonalität

  • 84
  • 27
Polyklonal

Konjugat

  • 47
  • 6
  • 4
  • 4
  • 4
  • 4
  • 4
  • 4
  • 4
  • 3
  • 2
  • 2
  • 2
  • 2
  • 2
  • 2
  • 2
  • 2
  • 2
  • 2
  • 2
  • 2
  • 1
  • 1
  • 1
Dieser CDK9 Antikörper ist unkonjugiert

Applikation

  • 87
  • 28
  • 27
  • 26
  • 25
  • 21
  • 19
  • 16
  • 16
  • 12
  • 8
  • 1
  • 1
  • 1
Immunohistochemistry (IHC)
  • Produktmerkmale

    Polyclonal Antibody

    Aufreinigung

    Affinity purification

    Immunogen

    Recombinant fusion protein of human CDK9 (NP_001252.1).

    Isotyp

    IgG
  • Applikationshinweise

    IHC 1:50-1:200

    Beschränkungen

    Nur für Forschungszwecke einsetzbar
  • Format

    Liquid

    Konzentration

    1 mg/mL

    Buffer

    PBS with 0.02 % sodium azide, 50 % glycerol, pH 7.3

    Konservierungsmittel

    Sodium azide

    Vorsichtsmaßnahmen

    This product contains Sodium azide: a POISONOUS AND HAZARDOUS SUBSTANCE which should be handled by trained staff only.

    Lagerung

    -20 °C

    Informationen zur Lagerung

    Store at -20°C. Avoid freeze / thaw cycles.
  • Target

    CDK9 (Cyclin-Dependent Kinase 9 (CDK9))

    Andere Bezeichnung

    CDK9

    Hintergrund

    The protein encoded by this gene is a member of the cyclin-dependent protein kinase (CDK) family. CDK family members are highly similar to the gene products of S. cerevisiae cdc28, and S. pombe cdc2, and known as important cell cycle regulators. This kinase was found to be a component of the multiprotein complex TAK/P-TEFb, which is an elongation factor for RNA polymerase II-directed transcription and functions by phosphorylating the C-terminal domain of the largest subunit of RNA polymerase II. This protein forms a complex with and is regulated by its regulatory subunit cyclin T or cyclin K. HIV-1 Tat protein was found to interact with this protein and cyclin T, which suggested a possible involvement of this protein in AIDS.

    Gen-ID

    1025

    UniProt

    P50750

    Pathways

    Zellzyklus
Sie sind hier:
Chat with us!