Telefon:
+49 (0)241 95 163 153
Fax:
+49 (0)241 95 163 155
E-Mail:
orders@antikoerper-online.de

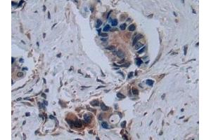
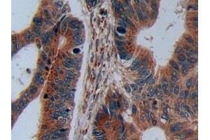
C2CD3 Antikörper (AA 1432-1647)

Dieser Kaninchen Polyklonal Antikörper detektiert spezifisch C2CD3 in WB, IHC, IP und ICC. Es zeigt Reaktivität gegenüber Proben von Human.
Produktnummer ABIN7439786
333,51 €
Zzgl. Versandkosten 20,00 € und MwSt
Lieferung nach: Deutschland
Lieferung in 11 bis 15 Werktagen

Kurzübersicht für C2CD3 Antikörper (AA 1432-1647) (ABIN7439786)

Target

C2CD3 (C2 Calcium-Dependent Domain Containing 3 (C2CD3))

Reaktivität

  • 11
  • 4
  • 2
Human

Wirt

  • 12
  • 1
Kaninchen

Klonalität

  • 13
Polyklonal

Konjugat

  • 9
  • 2
  • 1
  • 1
Dieser C2CD3 Antikörper ist unkonjugiert

Applikation

  • 8
  • 6
  • 6
  • 3
  • 2
  • 1
  • 1
  • 1
Western Blotting (WB), Immunohistochemistry (IHC), Immunoprecipitation (IP), Immunocytochemistry (ICC)
  • Bindungsspezifität

    • 5
    • 1
    • 1
    • 1
    • 1
    • 1
    AA 1432-1647

    Verwendungszweck

    Polyclonal Antibody to C2 Calcium Dependent Domain Containing Protein 3 (C2CD3)

    Spezifität

    The antibody is a rabbit polyclonal antibody raised against C2CD3. It has been selected for its ability to recognize C2CD3 in immunohistochemical staining and western blotting.

    Aufreinigung

    Antigen-specific affinity chromatography followed by Protein A affinity chromatography

    Immunogen

    Recombinant C2 Calcium Dependent Domain Containing Protein 3 (C2CD3) corresdonding to Asn1432~Leu1647 (Accession # Q4AC94) with N-terminal His and GST Tag

    Isotyp

    IgG
  • Applikationshinweise

    Western blotting: 0.5-2 μg/mL,Immunohistochemistry: 5-20 μg/mL,Immunocytochemistry: 5-20 μg/mL,Optimal working dilutions must be determined by end user.

    Kommentare

    The thermal stability is described by the loss rate. The loss rate was determined by accelerated thermal degradation test, that is, incubate the protein at 37°C for 48h, and no obvious degradation and precipitation were observed. The loss rate is less than 5% within the expiration date under appropriate storage condition.

    Beschränkungen

    Nur für Forschungszwecke einsetzbar
  • Format

    Liquid

    Konzentration

    500 μg/mL

    Buffer

    0.01M PBS, pH 7.4, containing 0.05 % Proclin-300, 50 % glycerol.

    Konservierungsmittel

    ProClin

    Vorsichtsmaßnahmen

    This product contains ProClin: a POISONOUS AND HAZARDOUS SUBSTANCE which should be handled by trained staff only.

    Lagerung

    4 °C,-20 °C

    Informationen zur Lagerung

    Store at 4°C for frequent use. Stored at -20°C in a manual defrost freezer for two year without detectable loss of activity. Avoid repeated freeze-thaw cycles.

    Haltbarkeit

    24 months
  • Target

    C2CD3 (C2 Calcium-Dependent Domain Containing 3 (C2CD3))

    Andere Bezeichnung

    C2CD3

    UniProt

    Q4AC94
Sie sind hier:
Chat with us!