SFRP1 Antikörper (AA 8-153)
Kurzübersicht für SFRP1 Antikörper (AA 8-153) (ABIN7436171)
Target
Alle SFRP1 Antikörper anzeigenReaktivität
Wirt
Klonalität
Konjugat
Applikation
-
-
Bindungsspezifität
- AA 8-153
-
Verwendungszweck
- Polyclonal Antibody to Secreted Frizzled Related Protein 1 (SFRP1)
-
Spezifität
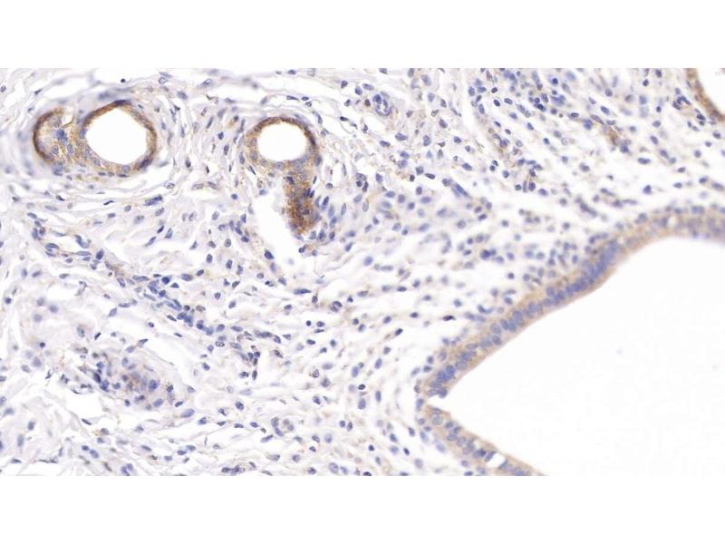
- The antibody is a rabbit polyclonal antibody raised against SFRP1. It has been selected for its ability to recognize SFRP1 in immunohistochemical staining and western blotting.
-
Aufreinigung
- Antigen-specific affinity chromatography followed by Protein A affinity chromatography
-
Immunogen
- Recombinant Secreted Frizzled Related Protein 1 (SFRP1) corresdonding to Val8~Asp153 (Accession # Q9R168)
-
Isotyp
- IgG
-
-
-
-
Applikationshinweise
- Western blotting: 0.5-2 μg/mL,1:400-1600,Immunohistochemistry: 5-20 μg/mL,1:40-160,Immunocytochemistry: 5-20 μg/mL,1:40-160,Optimal working dilutions must be determined by end user.
-
Kommentare
-
The thermal stability is described by the loss rate. The loss rate was determined by accelerated thermal degradation test, that is, incubate the protein at 37°C for 48h, and no obvious degradation and precipitation were observed. The loss rate is less than 5% within the expiration date under appropriate storage condition.
-
Beschränkungen
- Nur für Forschungszwecke einsetzbar
-
-
-
Format
- Liquid
-
Konzentration
- 500 μg/mL
-
Buffer
- PBS, pH 7.4, containing 0.02 % Sodium azide, 50 % glycerol.
-
Konservierungsmittel
- Sodium azide
-
Vorsichtsmaßnahmen
- This product contains Sodium azide: a POISONOUS AND HAZARDOUS SUBSTANCE which should be handled by trained staff only.
-
Lagerung
- 4 °C,-20 °C
-
Informationen zur Lagerung
- Store at 4°C for frequent use. Stored at -20°C in a manual defrost freezer for two year without detectable loss of activity. Avoid repeated freeze-thaw cycles.
-
Haltbarkeit
- 24 months
-
-
- SFRP1 (Secreted Frizzled-Related Protein 1 (SFRP1))
-
Andere Bezeichnung
- SFRP1
-
Hintergrund
- FRP1, FRP, FRP-1, FrzA, SARP2, Secreted apoptosis-related protein 2
-
UniProt
- Q9R168
-
Pathways
- WNT Signalweg, Intracellular Steroid Hormone Receptor Signaling Pathway, Negative Regulation of Hormone Secretion, Regulation of Intracellular Steroid Hormone Receptor Signaling, Stem Cell Maintenance, Tube Formation, Positive Regulation of fat Cell Differentiation
Target
-