Telefon:
+49 (0)241 95 163 153
Fax:
+49 (0)241 95 163 155
E-Mail:
orders@antikoerper-online.de

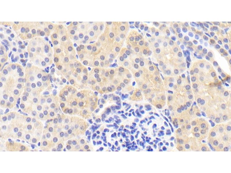
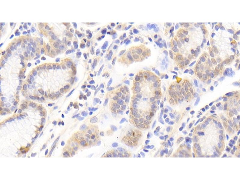
Peroxiredoxin 6 Antikörper (AA 1-224)

Der Kaninchen Polyklonal anti-Peroxiredoxin 6 Antikörper wird verwendet zum Nachweis von Peroxiredoxin 6 in Proben von Human. Er wurde validiert für WB, IHC, IP und ICC.
Produktnummer ABIN7436129
310,62 €
Zzgl. Versandkosten 20,00 € und MwSt
Lieferung nach: Deutschland
Lieferung in 11 bis 15 Werktagen

Kurzübersicht für Peroxiredoxin 6 Antikörper (AA 1-224) (ABIN7436129)

Target

Alle Peroxiredoxin 6 (PRDX6) Antikörper anzeigen
Peroxiredoxin 6 (PRDX6)

Reaktivität

  • 85
  • 49
  • 42
  • 4
  • 3
  • 3
  • 3
  • 3
  • 3
  • 3
  • 2
  • 2
  • 1
  • 1
  • 1
  • 1
  • 1
Human

Wirt

  • 82
  • 10
  • 2
Kaninchen

Klonalität

  • 62
  • 30
Polyklonal

Konjugat

  • 47
  • 11
  • 5
  • 4
  • 4
  • 4
  • 4
  • 4
  • 4
  • 2
  • 2
  • 1
  • 1
  • 1
Dieser Peroxiredoxin 6 Antikörper ist unkonjugiert

Applikation

  • 68
  • 32
  • 26
  • 24
  • 21
  • 21
  • 17
  • 6
  • 2
  • 2
  • 2
Western Blotting (WB), Immunohistochemistry (IHC), Immunoprecipitation (IP), Immunocytochemistry (ICC)
  • Bindungsspezifität

    • 14
    • 7
    • 5
    • 5
    • 3
    • 2
    • 2
    • 2
    • 2
    • 1
    • 1
    • 1
    • 1
    • 1
    AA 1-224

    Verwendungszweck

    Polyclonal Antibody to Peroxiredoxin 6 (PRDX6)

    Spezifität

    The antibody is a rabbit polyclonal antibody raised against PRDX6. It has been selected for its ability to recognize PRDX6 in immunohistochemical staining and western blotting.

    Kreuzreaktivität

    Maus, Schwein, Ratte

    Aufreinigung

    Antigen-specific affinity chromatography followed by Protein A affinity chromatography

    Immunogen

    Recombinant Peroxiredoxin 6 (PRDX6) corresdonding to Met1~Pro224 with N-terminal His Tag

    Isotyp

    IgG
  • Applikationshinweise

    Western blotting: 0.01-2 μg/mL,Immunohistochemistry: 5-20 μg/mL,Immunocytochemistry: 5-20 μg/mL,Optimal working dilutions must be determined by end user.

    Kommentare

    The thermal stability is described by the loss rate. The loss rate was determined by accelerated thermal degradation test, that is, incubate the protein at 37°C for 48h, and no obvious degradation and precipitation were observed. The loss rate is less than 5% within the expiration date under appropriate storage condition.

    Beschränkungen

    Nur für Forschungszwecke einsetzbar
  • Format

    Liquid

    Konzentration

    0.43 mg/mL

    Buffer

    0.01M PBS, pH 7.4, containing 0.05 % Proclin-300, 50 % glycerol.

    Konservierungsmittel

    ProClin

    Vorsichtsmaßnahmen

    This product contains ProClin: a POISONOUS AND HAZARDOUS SUBSTANCE which should be handled by trained staff only.

    Lagerung

    4 °C,-20 °C

    Informationen zur Lagerung

    Store at 4°C for frequent use. Stored at -20°C in a manual defrost freezer for two year without detectable loss of activity. Avoid repeated freeze-thaw cycles.

    Haltbarkeit

    24 months
  • Target

    Peroxiredoxin 6 (PRDX6)

    Andere Bezeichnung

    PRDX6

    Hintergrund

    1-Cys, AOP2, NSGPx, PRX, aiPLA2, p29, Acidic calcium-independent phospholipase A2, Antioxidant protein 2, Non-selenium glutathione peroxidase, Red blood cells page spot 12

    UniProt

    P30041
Sie sind hier:
Chat with us!