Telefon:
+49 (0)241 95 163 153
Fax:
+49 (0)241 95 163 155
E-Mail:
orders@antikoerper-online.de

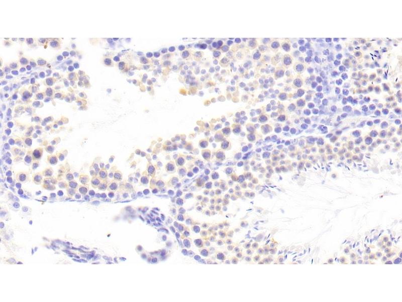
PCDH15 Antikörper (AA 45-270)

Der Kaninchen Polyklonal anti-PCDH15 Antikörper (ABIN7435715) detektiert spezifisch PCDH15 in WB und IHC. Dieser Antikörper reagiert spezifisch mit Proben aus Maus.
Produktnummer ABIN7435715
317,29 €
Zzgl. Versandkosten 20,00 € und MwSt
Lieferung nach: Deutschland
Lieferung in 11 bis 15 Werktagen

Kurzübersicht für PCDH15 Antikörper (AA 45-270) (ABIN7435715)

Target

Alle PCDH15 Antikörper anzeigen
PCDH15 (Protocadherin-15 (PCDH15))

Reaktivität

  • 15
  • 6
  • 6
  • 2
  • 2
  • 1
  • 1
  • 1
  • 1
  • 1
Maus

Wirt

  • 11
  • 3
  • 2
Kaninchen

Klonalität

  • 14
  • 2
Polyklonal

Konjugat

  • 16
Dieser PCDH15 Antikörper ist unkonjugiert

Applikation

  • 13
  • 7
  • 4
  • 4
  • 3
  • 2
  • 2
  • 1
  • 1
  • 1
Western Blotting (WB), Immunohistochemistry (IHC)
  • Bindungsspezifität

    • 2
    • 2
    • 2
    • 1
    • 1
    • 1
    • 1
    AA 45-270

    Verwendungszweck

    Polyclonal Antibody to Protocadherin 15 (PCDH15)

    Spezifität

    The antibody is a rabbit polyclonal antibody raised against PCDH15. It has been selected for its ability to recognize PCDH15 in immunohistochemical staining and western blotting.

    Aufreinigung

    Antigen-specific affinity chromatography followed by Protein A affinity chromatography

    Immunogen

    Recombinant Protocadherin 15 (PCDH15) corresdonding to Pro45~Phe270

    Isotyp

    IgG
  • Applikationshinweise

    Western blotting: 0.01-2 μg/mL,Immunohistochemistry: 5-20 μg/mL,Optimal working dilutions must be determined by end user.

    Kommentare

    The thermal stability is described by the loss rate. The loss rate was determined by accelerated thermal degradation test, that is, incubate the protein at 37°C for 48h, and no obvious degradation and precipitation were observed. The loss rate is less than 5% within the expiration date under appropriate storage condition.

    Beschränkungen

    Nur für Forschungszwecke einsetzbar
  • Format

    Liquid

    Konzentration

    0.5 mg/mL

    Buffer

    0.01M PBS, pH 7.4, containing 0.05 % Proclin-300, 50 % glycerol.

    Konservierungsmittel

    ProClin

    Vorsichtsmaßnahmen

    This product contains ProClin: a POISONOUS AND HAZARDOUS SUBSTANCE which should be handled by trained staff only.

    Lagerung

    4 °C,-20 °C

    Informationen zur Lagerung

    Store at 4°C for frequent use. Stored at -20°C in a manual defrost freezer for two year without detectable loss of activity. Avoid repeated freeze-thaw cycles.

    Haltbarkeit

    24 months
  • Target

    PCDH15 (Protocadherin-15 (PCDH15))

    Andere Bezeichnung

    PCDH15

    Hintergrund

    USH1F, DFNB23, CDHR15, Deafness,Autosomal Recessive 23, Cadherin-Related Family Member 15

    UniProt

    Q99PJ1

    Pathways

    Sensory Perception of Sound
Sie sind hier:
Chat with us!