Telefon:
+49 (0)241 95 163 153
Fax:
+49 (0)241 95 163 155
E-Mail:
orders@antikoerper-online.de

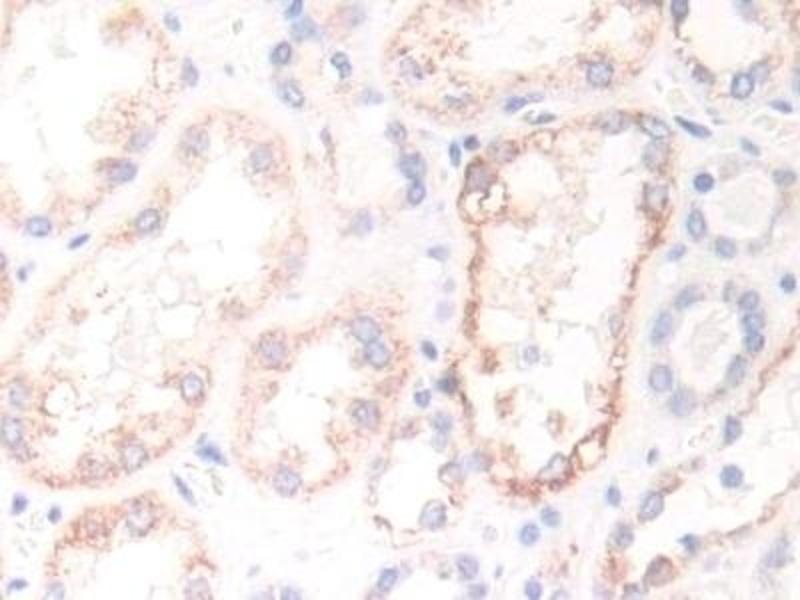
ECH1 Antikörper (AA 1-328)

Der Kaninchen Polyklonal anti-ECH1 Antikörper (ABIN7443788) detektiert spezifisch ECH1 in WB, IHC, IP und ICC. Dieser Antikörper reagiert spezifisch mit Proben aus Human.
Produktnummer ABIN7443788
310,62 €
Zzgl. Versandkosten 20,00 € und MwSt
Lieferung nach: Deutschland
Lieferung in 11 bis 15 Werktagen

Kurzübersicht für ECH1 Antikörper (AA 1-328) (ABIN7443788)

Target

Alle ECH1 Antikörper anzeigen
ECH1 (Enoyl Coenzyme A Hydratase 1, Peroxisomal (ECH1))

Reaktivität

  • 27
  • 22
  • 8
  • 2
  • 2
  • 2
  • 1
  • 1
  • 1
Human

Wirt

  • 40
  • 3
Kaninchen

Klonalität

  • 41
  • 2
Polyklonal

Konjugat

  • 20
  • 4
  • 3
  • 3
  • 1
  • 1
  • 1
  • 1
  • 1
  • 1
  • 1
  • 1
  • 1
  • 1
  • 1
  • 1
  • 1
Dieser ECH1 Antikörper ist unkonjugiert

Applikation

  • 35
  • 19
  • 13
  • 13
  • 6
  • 3
  • 3
  • 3
  • 2
  • 2
Western Blotting (WB), Immunohistochemistry (IHC), Immunoprecipitation (IP), Immunocytochemistry (ICC)
  • Bindungsspezifität

    • 16
    • 8
    • 5
    • 3
    • 2
    • 2
    • 1
    • 1
    AA 1-328

    Verwendungszweck

    Polyclonal Antibody to Enoyl Coenzyme A Hydratase 1, Peroxisomal (ECH1)

    Spezifität

    The antibody is a rabbit polyclonal antibody raised against ECH1. It has been selected for its ability to recognize ECH1 in immunohistochemical staining and western blotting.

    Aufreinigung

    Antigen-specific affinity chromatography followed by Protein A affinity chromatography

    Immunogen

    Recombinant Enoyl Coenzyme A Hydratase 1, Peroxisomal (ECH1) corresdonding to Met1~Leu328 with N-terminal His Tag

    Isotyp

    IgG
  • Applikationshinweise

    Western blotting: 0.5-5 μg/mL,Immunohistochemistry: 5-20 μg/mL,Immunocytochemistry: 5-20 μg/mL,Optimal working dilutions must be determined by end user.

    Kommentare

    The thermal stability is described by the loss rate. The loss rate was determined by accelerated thermal degradation test, that is, incubate the protein at 37°C for 48h, and no obvious degradation and precipitation were observed. The loss rate is less than 5% within the expiration date under appropriate storage condition.

    Beschränkungen

    Nur für Forschungszwecke einsetzbar
  • Format

    Liquid

    Konzentration

    500 μg/mL

    Buffer

    0.01M PBS, pH 7.4, containing 0.05 % Proclin-300, 50 % glycerol.

    Konservierungsmittel

    ProClin

    Vorsichtsmaßnahmen

    This product contains ProClin: a POISONOUS AND HAZARDOUS SUBSTANCE which should be handled by trained staff only.

    Lagerung

    4 °C,-20 °C

    Informationen zur Lagerung

    Store at 4°C for frequent use. Stored at -20°C in a manual defrost freezer for two year without detectable loss of activity. Avoid repeated freeze-thaw cycles.

    Haltbarkeit

    24 months
  • Target

    ECH1 (Enoyl Coenzyme A Hydratase 1, Peroxisomal (ECH1))

    Andere Bezeichnung

    ECH1

    Hintergrund

    HPXEL, Delta(3,5)-Delta(2,4)-dienoyl-CoA isomerase, mitochondrial

    UniProt

    Q13011

    Pathways

    Monocarboxylic Acid Catabolic Process
Sie sind hier:
Chat with us!