Telefon:
+49 (0)241 95 163 153
Fax:
+49 (0)241 95 163 155
E-Mail:
orders@antikoerper-online.de

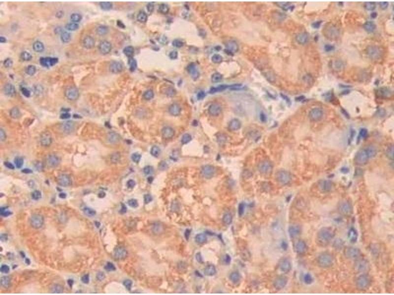
CA5B Antikörper (AA 63-225)

Der Kaninchen Polyklonal anti-CA5B Antikörper (ABIN7437326) detektiert spezifisch CA5B in WB, IHC, ICC und IP. Dieser Antikörper reagiert spezifisch mit Proben aus Maus.
Produktnummer ABIN7437326
317,29 €
Zzgl. Versandkosten 20,00 € und MwSt
Lieferung nach: Deutschland
Lieferung in 11 bis 15 Werktagen

Kurzübersicht für CA5B Antikörper (AA 63-225) (ABIN7437326)

Target

Alle CA5B Antikörper anzeigen
CA5B (Carbonic Anhydrase VB, Mitochondrial (CA5B))

Reaktivität

  • 44
  • 23
  • 15
  • 2
  • 2
  • 2
  • 1
  • 1
  • 1
  • 1
Maus

Wirt

  • 48
  • 4
Kaninchen

Klonalität

  • 49
  • 3
Polyklonal

Konjugat

  • 31
  • 10
  • 4
  • 1
  • 1
  • 1
  • 1
  • 1
  • 1
  • 1
Dieser CA5B Antikörper ist unkonjugiert

Applikation

  • 38
  • 24
  • 18
  • 9
  • 9
  • 5
  • 4
  • 4
  • 3
Western Blotting (WB), Immunohistochemistry (IHC), Immunocytochemistry (ICC), Immunoprecipitation (IP)
  • Bindungsspezifität

    • 6
    • 6
    • 4
    • 2
    • 2
    • 2
    • 2
    • 1
    • 1
    • 1
    • 1
    • 1
    • 1
    • 1
    • 1
    • 1
    • 1
    AA 63-225

    Verwendungszweck

    Polyclonal Antibody to Carbonic Anhydrase VB, Mitochondrial (CA5B)

    Spezifität

    The antibody is a rabbit polyclonal antibody raised against CA5B. It has been selected for its ability to recognize CA5B in immunohistochemical staining and western blotting.

    Aufreinigung

    Antigen-specific affinity chromatography followed by Protein A affinity chromatography

    Immunogen

    Recombinant Carbonic Anhydrase VB, Mitochondrial (CA5B) corresdonding to Arg63~Pro225 (Accession # Q9QZA0)

    Isotyp

    IgG
  • Applikationshinweise

    Western blotting: 0.5-2 μg/mL,Immunohistochemistry: 5-20 μg/mL,Immunocytochemistry: 5-20 μg/mL,Optimal working dilutions must be determined by end user.

    Kommentare

    The thermal stability is described by the loss rate. The loss rate was determined by accelerated thermal degradation test, that is, incubate the protein at 37°C for 48h, and no obvious degradation and precipitation were observed. The loss rate is less than 5% within the expiration date under appropriate storage condition.

    Beschränkungen

    Nur für Forschungszwecke einsetzbar
  • Format

    Liquid

    Konzentration

    500 μg/mL

    Buffer

    PBS, pH 7.4, containing 0.02 % Sodium azide, 50 % glycerol.

    Konservierungsmittel

    Sodium azide

    Vorsichtsmaßnahmen

    This product contains Sodium azide: a POISONOUS AND HAZARDOUS SUBSTANCE which should be handled by trained staff only.

    Lagerung

    4 °C,-20 °C

    Informationen zur Lagerung

    Store at 4°C for frequent use. Stored at -20°C in a manual defrost freezer for two year without detectable loss of activity. Avoid repeated freeze-thaw cycles.

    Haltbarkeit

    24 months
  • Target

    CA5B (Carbonic Anhydrase VB, Mitochondrial (CA5B))

    Andere Bezeichnung

    CA5B

    Hintergrund

    CA-VB, CAVB, Carbonate dehydratase VB

    UniProt

    Q9QZA0
Sie sind hier:
Chat with us!