Telefon:
+49 (0)241 95 163 153
Fax:
+49 (0)241 95 163 155
E-Mail:
orders@antikoerper-online.de

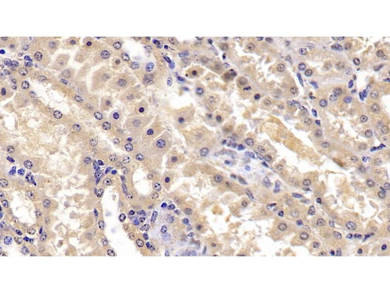
FGF3 Antikörper (AA 154-232)

Der Kaninchen Polyklonal anti-FGF3 Antikörper (ABIN7435238) detektiert spezifisch FGF3 in WB, IHC, IP und ICC. Dieser Antikörper reagiert spezifisch mit Proben aus Human.
Produktnummer ABIN7435238
310,62 €
Zzgl. Versandkosten 20,00 € und MwSt
Lieferung nach: Deutschland
Lieferung in 11 bis 15 Werktagen

Kurzübersicht für FGF3 Antikörper (AA 154-232) (ABIN7435238)

Target

Alle FGF3 Antikörper anzeigen
FGF3 (Fibroblast Growth Factor 3 (FGF3))

Reaktivität

  • 37
  • 21
  • 18
  • 7
  • 2
  • 2
  • 2
  • 2
  • 1
  • 1
  • 1
  • 1
  • 1
Human

Wirt

  • 39
  • 3
Kaninchen

Klonalität

  • 39
  • 3
Polyklonal

Konjugat

  • 16
  • 4
  • 3
  • 2
  • 1
  • 1
  • 1
  • 1
  • 1
  • 1
  • 1
  • 1
  • 1
  • 1
  • 1
  • 1
  • 1
  • 1
  • 1
  • 1
  • 1
Dieser FGF3 Antikörper ist unkonjugiert

Applikation

  • 29
  • 13
  • 13
  • 13
  • 8
  • 4
  • 3
  • 2
  • 2
  • 1
  • 1
  • 1
Western Blotting (WB), Immunohistochemistry (IHC), Immunoprecipitation (IP), Immunocytochemistry (ICC)
  • Bindungsspezifität

    • 15
    • 5
    • 3
    • 3
    • 2
    • 1
    • 1
    • 1
    • 1
    • 1
    AA 154-232

    Verwendungszweck

    Polyclonal Antibody to Fibroblast Growth Factor 3 (FGF3)

    Spezifität

    The antibody is a rabbit polyclonal antibody raised against FGF3. It has been selected for its ability to recognize FGF3 in immunohistochemical staining and western blotting.

    Aufreinigung

    Antigen-specific affinity chromatography followed by Protein A affinity chromatography

    Immunogen

    Recombinant Fibroblast Growth Factor 3 (FGF3) corresdonding to Tyr154~Ser232 with N-terminal His and GST Tag

    Isotyp

    IgG
  • Applikationshinweise

    Western blotting: 0.5-2 μg/mL,1:430-1700,Immunohistochemistry: 5-20 μg/mL,1:43-170,Immunocytochemistry: 5-20 μg/mL,1:43-170,Optimal working dilutions must be determined by end user.

    Kommentare

    The thermal stability is described by the loss rate. The loss rate was determined by accelerated thermal degradation test, that is, incubate the protein at 37°C for 48h, and no obvious degradation and precipitation were observed. The loss rate is less than 5% within the expiration date under appropriate storage condition.

    Beschränkungen

    Nur für Forschungszwecke einsetzbar
  • Format

    Liquid

    Konzentration

    0.86 mg/mL

    Buffer

    PBS, pH 7.4, containing 0.02 % Sodium azide, 50 % glycerol.

    Konservierungsmittel

    Sodium azide

    Vorsichtsmaßnahmen

    This product contains Sodium azide: a POISONOUS AND HAZARDOUS SUBSTANCE which should be handled by trained staff only.

    Lagerung

    4 °C,-20 °C

    Informationen zur Lagerung

    Store at 4°C for frequent use. Stored at -20°C in a manual defrost freezer for two year without detectable loss of activity. Avoid repeated freeze-thaw cycles.

    Haltbarkeit

    24 months
  • Target

    FGF3 (Fibroblast Growth Factor 3 (FGF3))

    Andere Bezeichnung

    FGF3

    Hintergrund

    HBGF3, INT2, Heparin-binding growth factor 3, Murine Mammary Tumor Virus Integration Site(v-int-2)Oncogene Homolog, INT-2 Proto-Oncogene Protein, Proto-oncogene Int-2

    UniProt

    P11487

    Pathways

    RTK Signalweg, Fc-epsilon Rezeptor Signalübertragung, EGFR Signaling Pathway, Neurotrophin Signalübertragung
Sie sind hier:
Chat with us!