Telefon:
+49 (0)241 95 163 153
Fax:
+49 (0)241 95 163 155
E-Mail:
orders@antikoerper-online.de

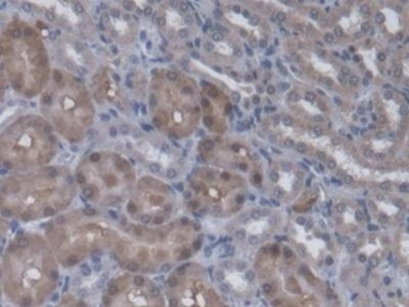
Regucalcin Antikörper (AA 1-299)

Der Kaninchen Polyklonal anti-Regucalcin Antikörper (ABIN7444643) detektiert spezifisch Regucalcin in WB, IHC, IP und ICC. Dieser Antikörper reagiert spezifisch mit Proben aus Ratte.
Produktnummer ABIN7444643
330,65 €
Zzgl. Versandkosten 20,00 € und MwSt
Lieferung nach: Deutschland
Lieferung in 11 bis 15 Werktagen

Kurzübersicht für Regucalcin Antikörper (AA 1-299) (ABIN7444643)

Target

Alle Regucalcin (RGN) Antikörper anzeigen
Regucalcin (RGN)

Reaktivität

  • 32
  • 30
  • 26
Ratte

Wirt

  • 47
  • 8
Kaninchen

Klonalität

  • 49
  • 5
Polyklonal

Konjugat

  • 21
  • 6
  • 4
  • 3
  • 2
  • 1
  • 1
  • 1
  • 1
  • 1
  • 1
  • 1
  • 1
  • 1
  • 1
  • 1
  • 1
  • 1
  • 1
  • 1
  • 1
  • 1
  • 1
  • 1
Dieser Regucalcin Antikörper ist unkonjugiert

Applikation

  • 34
  • 20
  • 13
  • 13
  • 13
  • 6
  • 5
  • 5
  • 4
  • 3
  • 3
  • 2
  • 2
  • 2
Western Blotting (WB), Immunohistochemistry (IHC), Immunoprecipitation (IP), Immunocytochemistry (ICC)
  • Bindungsspezifität

    • 20
    • 15
    • 3
    • 1
    • 1
    AA 1-299

    Verwendungszweck

    Polyclonal Antibody to Regucalcin (RGN)

    Spezifität

    The antibody is a rabbit polyclonal antibody raised against RGN. It has been selected for its ability to recognize RGN in immunohistochemical staining and western blotting.

    Kreuzreaktivität

    Human, Maus

    Aufreinigung

    Antigen-specific affinity chromatography followed by Protein A affinity chromatography

    Immunogen

    Recombinant Regucalcin (RGN) corresdonding to Met1~Gly299

    Isotyp

    IgG
  • Applikationshinweise

    Western blotting: 0.01-2 μg/mL,Immunohistochemistry: 5-20 μg/mL,Immunocytochemistry: 5-20 μg/mL,Optimal working dilutions must be determined by end user.

    Kommentare

    The thermal stability is described by the loss rate. The loss rate was determined by accelerated thermal degradation test, that is, incubate the protein at 37°C for 48h, and no obvious degradation and precipitation were observed. The loss rate is less than 5% within the expiration date under appropriate storage condition.

    Beschränkungen

    Nur für Forschungszwecke einsetzbar
  • Format

    Liquid

    Konzentration

    500 μg/mL

    Buffer

    PBS, pH 7.4, containing 0.02 % Sodium azide, 50 % glycerol.

    Konservierungsmittel

    Sodium azide

    Vorsichtsmaßnahmen

    This product contains Sodium azide: a POISONOUS AND HAZARDOUS SUBSTANCE which should be handled by trained staff only.

    Lagerung

    4 °C,-20 °C

    Informationen zur Lagerung

    Store at 4°C for frequent use. Stored at -20°C in a manual defrost freezer for two year without detectable loss of activity. Avoid repeated freeze-thaw cycles.

    Haltbarkeit

    24 months
  • Target

    Regucalcin (RGN)

    Andere Bezeichnung

    Regucalcin

    Hintergrund

    RC, SMP30, GNL, Senescence Marker Protein-30, Gluconolactonase

    UniProt

    Q03336
Sie sind hier:
Chat with us!