Telefon:
+49 (0)241 95 163 153
Fax:
+49 (0)241 95 163 155
E-Mail:
orders@antikoerper-online.de

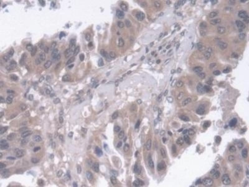
Regucalcin Antikörper (AA 65-299)

Der Kaninchen Polyklonal anti-Regucalcin Antikörper wird verwendet zum Nachweis von Regucalcin in Proben von Human. Er wurde validiert für WB und IHC.
Produktnummer ABIN7440923
310,62 €
Zzgl. Versandkosten 20,00 € und MwSt
Lieferung nach: Deutschland
Lieferung in 11 bis 15 Werktagen

Kurzübersicht für Regucalcin Antikörper (AA 65-299) (ABIN7440923)

Target

Alle Regucalcin (RGN) Antikörper anzeigen
Regucalcin (RGN)

Reaktivität

  • 31
  • 30
  • 27
Human

Wirt

  • 47
  • 8
Kaninchen

Klonalität

  • 49
  • 5
Polyklonal

Konjugat

  • 21
  • 6
  • 4
  • 3
  • 2
  • 1
  • 1
  • 1
  • 1
  • 1
  • 1
  • 1
  • 1
  • 1
  • 1
  • 1
  • 1
  • 1
  • 1
  • 1
  • 1
  • 1
  • 1
  • 1
Dieser Regucalcin Antikörper ist unkonjugiert

Applikation

  • 34
  • 20
  • 13
  • 13
  • 13
  • 7
  • 6
  • 5
  • 4
  • 3
  • 3
  • 2
  • 2
  • 2
Western Blotting (WB), Immunohistochemistry (IHC)
  • Bindungsspezifität

    • 21
    • 15
    • 2
    • 1
    • 1
    AA 65-299

    Verwendungszweck

    Polyclonal Antibody to Regucalcin (RGN)

    Spezifität

    The antibody is a rabbit polyclonal antibody raised against RGN. It has been selected for its ability to recognize RGN in immunohistochemical staining and western blotting.

    Kreuzreaktivität

    Maus, Ratte

    Aufreinigung

    Antigen-specific affinity chromatography followed by Protein A affinity chromatography

    Immunogen

    Recombinant Regucalcin (RGN) corresdonding to Gln65~Gly299 with N-terminal His Tag

    Isotyp

    IgG
  • Applikationshinweise

    Western blotting: 0.01-2 μg/mL,Immunohistochemistry: 5-20 μg/mL,Optimal working dilutions must be determined by end user.

    Kommentare

    The thermal stability is described by the loss rate. The loss rate was determined by accelerated thermal degradation test, that is, incubate the protein at 37°C for 48h, and no obvious degradation and precipitation were observed. The loss rate is less than 5% within the expiration date under appropriate storage condition.

    Beschränkungen

    Nur für Forschungszwecke einsetzbar
  • Format

    Liquid

    Konzentration

    0.5 mg/mL

    Buffer

    0.01M PBS, pH 7.4, containing 0.05 % Proclin-300, 50 % glycerol.

    Konservierungsmittel

    ProClin

    Vorsichtsmaßnahmen

    This product contains ProClin: a POISONOUS AND HAZARDOUS SUBSTANCE which should be handled by trained staff only.

    Lagerung

    4 °C,-20 °C

    Informationen zur Lagerung

    Store at 4°C for frequent use. Stored at -20°C in a manual defrost freezer for two year without detectable loss of activity. Avoid repeated freeze-thaw cycles.

    Haltbarkeit

    24 months
  • Target

    Regucalcin (RGN)

    Andere Bezeichnung

    Regucalcin

    Hintergrund

    RC, SMP30, GNL, Senescence Marker Protein-30, Gluconolactonase

    UniProt

    Q15493
Sie sind hier:
Chat with us!