Telefon:
+49 (0)241 95 163 153
Fax:
+49 (0)241 95 163 155
E-Mail:
orders@antikoerper-online.de

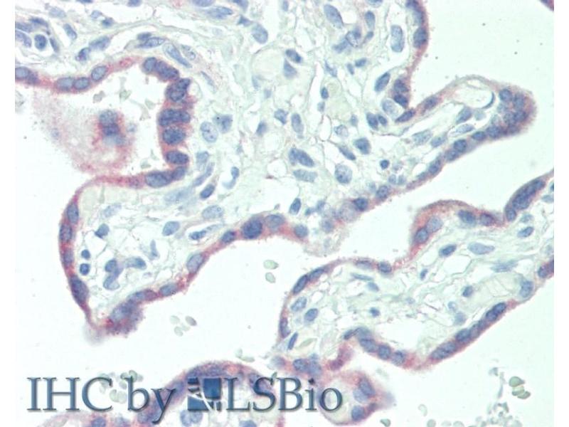
KISS1 Antikörper (AA 20-138)

Dieser Kaninchen Polyklonal Antikörper detektiert spezifisch KISS1 in WB, IHC, IP und ICC. Es zeigt Reaktivität gegenüber Proben von Human.
Produktnummer ABIN7434995
310,62 €
Zzgl. Versandkosten 20,00 € und MwSt
Lieferung nach: Deutschland
Lieferung in 11 bis 15 Werktagen

Kurzübersicht für KISS1 Antikörper (AA 20-138) (ABIN7434995)

Target

Alle KISS1 Antikörper anzeigen
KISS1 (KiSS-1 Metastasis-Suppressor (KISS1))

Reaktivität

  • 52
  • 18
  • 4
Human

Wirt

  • 51
  • 5
Kaninchen

Klonalität

  • 51
  • 5
Polyklonal

Konjugat

  • 37
  • 4
  • 4
  • 3
  • 1
  • 1
  • 1
  • 1
  • 1
  • 1
  • 1
  • 1
Dieser KISS1 Antikörper ist unkonjugiert

Applikation

  • 26
  • 17
  • 15
  • 5
  • 5
  • 5
  • 2
  • 1
  • 1
  • 1
Western Blotting (WB), Immunohistochemistry (IHC), Immunoprecipitation (IP), Immunocytochemistry (ICC)
  • Bindungsspezifität

    • 10
    • 7
    • 6
    • 6
    • 6
    • 5
    • 4
    • 4
    • 3
    • 3
    • 3
    • 3
    • 2
    • 1
    • 1
    • 1
    • 1
    • 1
    • 1
    • 1
    • 1
    • 1
    • 1
    AA 20-138

    Verwendungszweck

    Polyclonal Antibody to Kisspeptin 1 (KISS1)

    Spezifität

    The antibody is a rabbit polyclonal antibody raised against KISS1. It has been selected for its ability to recognize KISS1 in immunohistochemical staining and western blotting.

    Aufreinigung

    Antigen-specific affinity chromatography followed by Protein A affinity chromatography

    Immunogen

    Recombinant Kisspeptin 1 (KISS1) corresdonding to Glu20~Gly138 with N-terminal His Tag

    Isotyp

    IgG
  • Applikationshinweise

    Western blotting: 0.5-2 μg/mL,1:200-800,Immunohistochemistry: 5-20 μg/mL,1:20-80,Immunocytochemistry: 5-20 μg/mL,1:20-80,Optimal working dilutions must be determined by end user.

    Kommentare

    The thermal stability is described by the loss rate. The loss rate was determined by accelerated thermal degradation test, that is, incubate the protein at 37°C for 48h, and no obvious degradation and precipitation were observed. The loss rate is less than 5% within the expiration date under appropriate storage condition.

    Beschränkungen

    Nur für Forschungszwecke einsetzbar
  • Format

    Liquid

    Konzentration

    0.5 mg/mL

    Buffer

    0.01M PBS, pH 7.4, containing 0.05 % Proclin-300, 50 % glycerol.

    Konservierungsmittel

    ProClin, Sodium azide

    Vorsichtsmaßnahmen

    This product contains ProClin and Sodium azide: POISONOUS AND HAZARDOUS SUBSTANCES which should be handled by trained staff only.

    Lagerung

    4 °C,-20 °C

    Informationen zur Lagerung

    Store at 4°C for frequent use. Stored at -20°C in a manual defrost freezer for two year without detectable loss of activity. Avoid repeated freeze-thaw cycles.

    Haltbarkeit

    24 months
  • Target

    KISS1 (KiSS-1 Metastasis-Suppressor (KISS1))

    Andere Bezeichnung

    KISS1

    Hintergrund

    Metastin, KiSS-1 Metastasis-Suppressor

    UniProt

    Q15726

    Pathways

    Positive Regulation of Peptide Hormone Secretion
Sie sind hier:
Chat with us!