Telefon:
+49 (0)241 95 163 153
Fax:
+49 (0)241 95 163 155
E-Mail:
orders@antikoerper-online.de

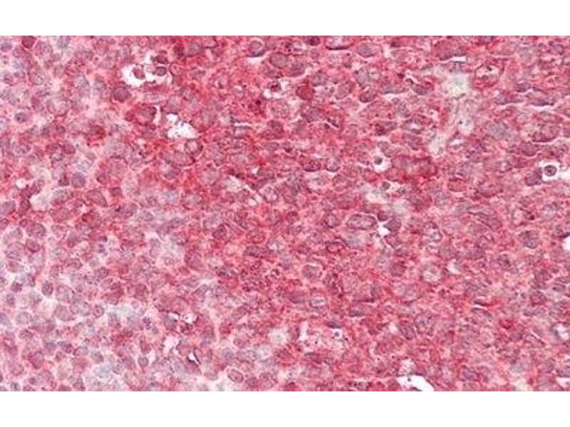
CAPNL1 Antikörper (AA 75-343)

Der Kaninchen Polyklonal anti-CAPNL1 Antikörper wird verwendet zum Nachweis von CAPNL1 in Proben von Human. Er wurde validiert für WB und IHC.
Produktnummer ABIN7434416
298,22 €
Zzgl. Versandkosten 20,00 € und MwSt
Lieferung nach: Deutschland
Lieferung in 11 bis 15 Werktagen

Kurzübersicht für CAPNL1 Antikörper (AA 75-343) (ABIN7434416)

Target

Alle CAPNL1 Antikörper anzeigen
CAPNL1 (Calpain 1, Large Subunit (CAPNL1))

Reaktivität

  • 55
  • 22
  • 21
  • 2
  • 2
  • 2
  • 2
  • 2
  • 2
  • 1
  • 1
  • 1
Human

Wirt

  • 50
  • 16
  • 1
Kaninchen

Klonalität

  • 51
  • 16
Polyklonal

Konjugat

  • 47
  • 5
  • 2
  • 2
  • 2
  • 2
  • 2
  • 2
  • 2
  • 1
Dieser CAPNL1 Antikörper ist unkonjugiert

Applikation

  • 45
  • 34
  • 16
  • 15
  • 12
  • 12
  • 11
  • 9
  • 2
  • 2
  • 1
  • 1
  • 1
  • 1
  • 1
Western Blotting (WB), Immunohistochemistry (IHC)
  • Bindungsspezifität

    • 10
    • 8
    • 4
    • 3
    • 3
    • 2
    • 2
    • 2
    • 2
    • 2
    • 1
    • 1
    • 1
    • 1
    • 1
    • 1
    • 1
    AA 75-343

    Verwendungszweck

    Polyclonal Antibody to Calpain 1 (CAPN1)

    Spezifität

    The antibody is a rabbit polyclonal antibody raised against CAPN1. It has been selected for its ability to recognize CAPN1 in immunohistochemical staining and western blotting.

    Kreuzreaktivität

    Maus

    Aufreinigung

    Antigen-specific affinity chromatography followed by Protein A affinity chromatography

    Immunogen

    Recombinant Calpain 1 (CAPN1) corresdonding to Pro75~Arg343 with N-terminal His Tag

    Isotyp

    IgG
  • Applikationshinweise

    Western blotting: 0.01-2 μg/mL,Immunohistochemistry: 5-20 μg/mL,Optimal working dilutions must be determined by end user.

    Kommentare

    The thermal stability is described by the loss rate. The loss rate was determined by accelerated thermal degradation test, that is, incubate the protein at 37°C for 48h, and no obvious degradation and precipitation were observed. The loss rate is less than 5% within the expiration date under appropriate storage condition.

    Beschränkungen

    Nur für Forschungszwecke einsetzbar
  • Format

    Liquid

    Konzentration

    0.5 mg/mL

    Buffer

    PBS, pH 7.4, containing 0.02 % Sodium azide, 50 % glycerol.

    Konservierungsmittel

    Sodium azide

    Vorsichtsmaßnahmen

    This product contains Sodium azide: a POISONOUS AND HAZARDOUS SUBSTANCE which should be handled by trained staff only.

    Lagerung

    4 °C,-20 °C

    Informationen zur Lagerung

    Store at 4°C for frequent use. Stored at -20°C in a manual defrost freezer for two year without detectable loss of activity. Avoid repeated freeze-thaw cycles.

    Haltbarkeit

    24 months
  • Target

    CAPNL1 (Calpain 1, Large Subunit (CAPNL1))

    Andere Bezeichnung

    CAPN1

    Hintergrund

    PIG30, CANPL1, MuCANP, MuCL, Calpain 1, Large Subunit, Calpain-1 Catalytic Subunit, Calcium-Dependent Protease 1, Calcium-activated neutral proteinase 1, Calpain mu-type, Micromolar-calpain

    UniProt

    P07384

    Pathways

    Apoptose
Sie sind hier:
Chat with us!