Telefon:
+49 (0)241 95 163 153
Fax:
+49 (0)241 95 163 155
E-Mail:
orders@antikoerper-online.de

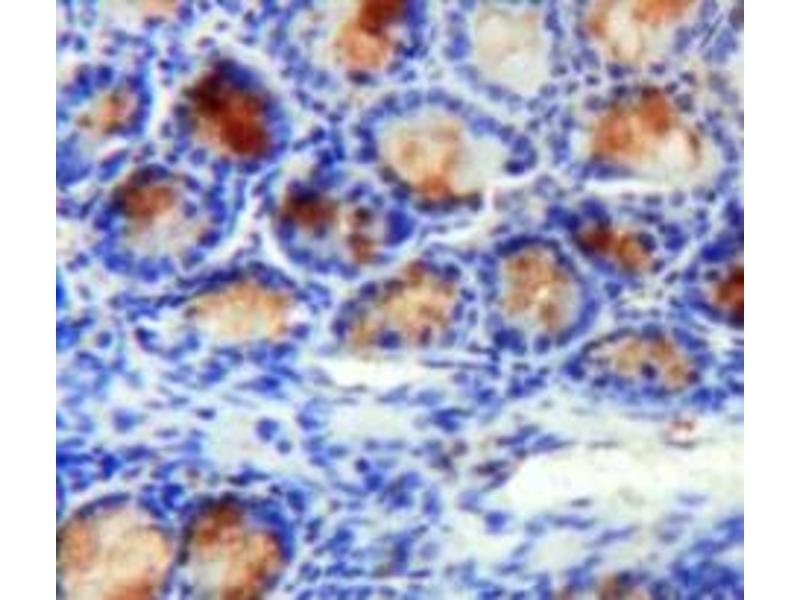
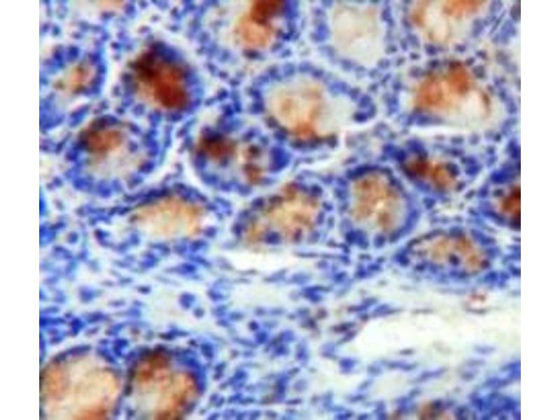
Annexin A2 Antikörper (AA 1-339)

Der Kaninchen Polyklonal anti-Annexin A2 Antikörper wird verwendet zum Nachweis von Annexin A2 in Proben von Human. Er wurde validiert für WB, IHC, IP und ICC.
Produktnummer ABIN7434386
298,22 €
Zzgl. Versandkosten 20,00 € und MwSt
Lieferung nach: Deutschland
Lieferung in 11 bis 15 Werktagen

Kurzübersicht für Annexin A2 Antikörper (AA 1-339) (ABIN7434386)

Target

Alle Annexin A2 (ANXA2) Antikörper anzeigen
Annexin A2 (ANXA2)

Reaktivität

  • 113
  • 59
  • 52
  • 5
  • 5
  • 4
  • 2
  • 2
  • 2
  • 1
  • 1
  • 1
  • 1
Human

Wirt

  • 98
  • 19
  • 3
  • 1
Kaninchen

Klonalität

  • 71
  • 50
Polyklonal

Konjugat

  • 61
  • 11
  • 7
  • 5
  • 5
  • 5
  • 5
  • 5
  • 5
  • 4
  • 2
  • 2
  • 2
  • 2
Dieser Annexin A2 Antikörper ist unkonjugiert

Applikation

  • 88
  • 45
  • 36
  • 32
  • 22
  • 18
  • 17
  • 12
  • 3
  • 2
  • 2
  • 1
  • 1
  • 1
Western Blotting (WB), Immunohistochemistry (IHC), Immunoprecipitation (IP), Immunocytochemistry (ICC)
  • Bindungsspezifität

    • 14
    • 12
    • 7
    • 6
    • 6
    • 4
    • 3
    • 2
    • 2
    • 2
    • 2
    • 1
    • 1
    • 1
    • 1
    • 1
    • 1
    • 1
    AA 1-339

    Verwendungszweck

    Polyclonal Antibody to Annexin A2 (ANXA2)

    Spezifität

    The antibody is a rabbit polyclonal antibody raised against ANXA2. It has been selected for its ability to recognize ANXA2 in immunohistochemical staining and western blotting.

    Kreuzreaktivität

    Maus, Ratte

    Aufreinigung

    Antigen-specific affinity chromatography followed by Protein A affinity chromatography

    Immunogen

    Recombinant Annexin A2 (ANXA2) corresdonding to Met1~Asp339 with N-terminal His Tag

    Isotyp

    IgG
  • Applikationshinweise

    Western blotting: 0.01-2 μg/mL,Immunohistochemistry: 5-20 μg/mL,Immunocytochemistry: 5-20 μg/mL,Optimal working dilutions must be determined by end user.

    Kommentare

    The thermal stability is described by the loss rate. The loss rate was determined by accelerated thermal degradation test, that is, incubate the protein at 37°C for 48h, and no obvious degradation and precipitation were observed. The loss rate is less than 5% within the expiration date under appropriate storage condition.

    Beschränkungen

    Nur für Forschungszwecke einsetzbar
  • Format

    Liquid

    Konzentration

    0.48 mg/mL

    Buffer

    PBS, pH 7.4, containing 0.02 % Sodium azide, 50 % glycerol.

    Konservierungsmittel

    Sodium azide

    Vorsichtsmaßnahmen

    This product contains Sodium azide: a POISONOUS AND HAZARDOUS SUBSTANCE which should be handled by trained staff only.

    Lagerung

    4 °C,-20 °C

    Informationen zur Lagerung

    Store at 4°C for frequent use. Stored at -20°C in a manual defrost freezer for two year without detectable loss of activity. Avoid repeated freeze-thaw cycles.

    Haltbarkeit

    24 months
  • Target

    Annexin A2 (ANXA2)

    Andere Bezeichnung

    ANXA2

    Hintergrund

    ANX-A2, ANX2L4, CAL1H, LIP2, LPC2, LPC2D, P36, PAP-IV, Protein I, Chromobindin-8, Calpactin-1 heavy chain, Lipocortin II, Placental anticoagulant protein IV

    UniProt

    P07355

    Pathways

    S100 Proteine
Sie sind hier:
Chat with us!