Telefon:
+49 (0)241 95 163 153
Fax:
+49 (0)241 95 163 155
E-Mail:
orders@antikoerper-online.de

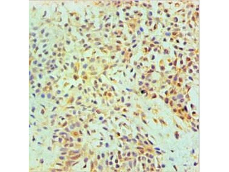
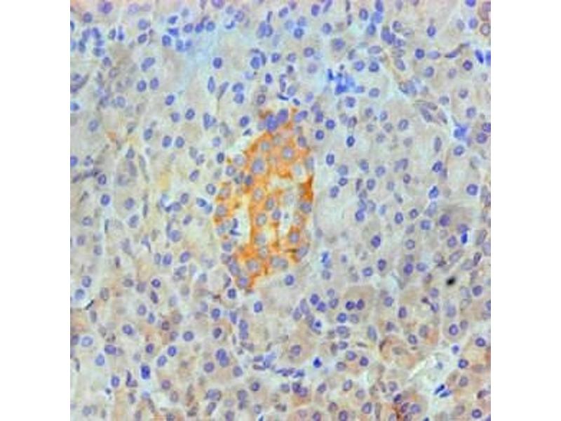
Annexin A2 Antikörper

Der Maus Monoklonal anti-Annexin A2 Antikörper (Klon 1A1E1) (ABIN7144345) detektiert spezifisch Annexin A2 in WB, IHC und ELISA. Dieser Antikörper reagiert spezifisch mit Proben aus Human.
Produktnummer ABIN7144345
385,00 €
Zzgl. Versandkosten 20,00 € und MwSt
Lieferung nach: Deutschland
Lieferung in 11 bis 15 Werktagen

Kurzübersicht für Annexin A2 Antikörper (ABIN7144345)

Target

Alle Annexin A2 (ANXA2) Antikörper anzeigen
Annexin A2 (ANXA2)

Reaktivität

  • 115
  • 59
  • 52
  • 5
  • 5
  • 4
  • 2
  • 2
  • 2
  • 1
  • 1
  • 1
  • 1
Human

Wirt

  • 99
  • 20
  • 3
  • 1
Maus

Klonalität

  • 72
  • 51
Monoklonal

Konjugat

  • 63
  • 11
  • 7
  • 5
  • 5
  • 5
  • 5
  • 5
  • 5
  • 4
  • 2
  • 2
  • 2
  • 2
Dieser Annexin A2 Antikörper ist unkonjugiert

Applikation

  • 88
  • 47
  • 35
  • 32
  • 23
  • 19
  • 17
  • 12
  • 3
  • 2
  • 2
  • 1
  • 1
  • 1
Western Blotting (WB), Immunohistochemistry (IHC), ELISA

Klon

1A1E1
  • Verwendungszweck

    ANXA2 Monoclonal Antibody

    Aufreinigung

    Protein G purified

    Reinheit

    >95 %

    Immunogen

    Recombinant Human ANXA2 protein

    Isotyp

    IgG1
  • Applikationshinweise

    Optimal working dilution should be determined by the investigator.

    Beschränkungen

    Nur für Forschungszwecke einsetzbar
  • Format

    Liquid

    Buffer

    Preservative: 0.03 % Proclin 300
    Constituents: 50 % Glycerol, 0.01M PBS, PH 7.4

    Konservierungsmittel

    ProClin

    Vorsichtsmaßnahmen

    This product contains ProClin: a POISONOUS AND HAZARDOUS SUBSTANCE which should be handled by trained staff only.

    Lagerung

    -20 °C,-80 °C

    Informationen zur Lagerung

    Upon receipt, store at -20°C or -80°C. Avoid repeated freeze.
  • Target

    Annexin A2 (ANXA2)

    Andere Bezeichnung

    ANXA2

    Hintergrund

    Background: Calcium-regulated membrane-binding protein whose affinity for calcium is greatly enhanced by anionic phospholipids. It binds two calcium ions with high affinity. May be involved in heat-stress response.

    Aliases: Annexin II,Annexin-2,Calpactin I heavy chain,Chromobindin-8,Lipocortin II,PAP-IV

    UniProt

    P07355

    Pathways

    S100 Proteine
Sie sind hier:
Chat with us!