Telefon:
+49 (0)241 95 163 153
Fax:
+49 (0)241 95 163 155
E-Mail:
orders@antikoerper-online.de

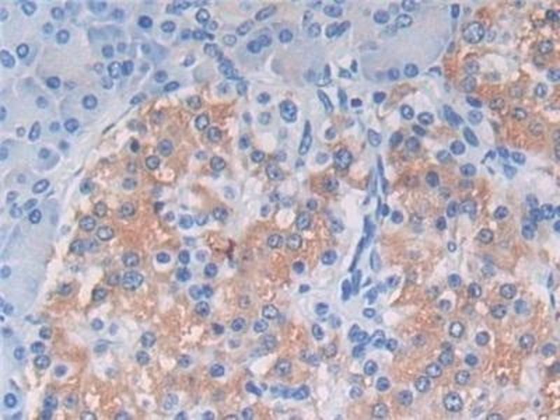
C9 Antikörper (AA 22-265)

Der Kaninchen Polyklonal anti-C9 Antikörper wird verwendet zum Nachweis von C9 in Proben von Human. Er wurde validiert für WB, IHC, IP und ICC.
Produktnummer ABIN7434128
298,22 €
Zzgl. Versandkosten 20,00 € und MwSt
Lieferung nach: Deutschland
Lieferung in 11 bis 15 Werktagen

Kurzübersicht für C9 Antikörper (AA 22-265) (ABIN7434128)

Target

Alle C9 Antikörper anzeigen
C9 (Complement Component C9 (C9))

Reaktivität

  • 78
  • 5
  • 3
  • 2
  • 2
  • 2
Human

Wirt

  • 66
  • 13
  • 2
  • 1
Kaninchen

Klonalität

  • 59
  • 23
Polyklonal

Konjugat

  • 37
  • 8
  • 6
  • 4
  • 3
  • 3
  • 1
  • 1
  • 1
  • 1
  • 1
  • 1
  • 1
  • 1
  • 1
  • 1
  • 1
  • 1
  • 1
  • 1
  • 1
  • 1
  • 1
  • 1
  • 1
  • 1
  • 1
Dieser C9 Antikörper ist unkonjugiert

Applikation

  • 60
  • 36
  • 31
  • 21
  • 14
  • 10
  • 10
  • 10
  • 7
  • 7
  • 6
  • 2
  • 2
  • 1
  • 1
Western Blotting (WB), Immunohistochemistry (IHC), Immunoprecipitation (IP), Immunocytochemistry (ICC)
  • Bindungsspezifität

    • 16
    • 9
    • 8
    • 6
    • 2
    • 2
    • 2
    • 1
    • 1
    • 1
    • 1
    • 1
    • 1
    • 1
    • 1
    • 1
    • 1
    AA 22-265

    Verwendungszweck

    Polyclonal Antibody to Complement Component 9 (C9)

    Spezifität

    The antibody is a rabbit polyclonal antibody raised against C9. It has been selected for its ability to recognize C9 in immunohistochemical staining and western blotting.

    Aufreinigung

    Antigen-specific affinity chromatography followed by Protein A affinity chromatography

    Immunogen

    Recombinant Complement Component 9 (C9) corresdonding to Gln22~His265 with N-terminal His Tag

    Isotyp

    IgG
  • Applikationshinweise

    Western blotting: 0.5-3 μg/mL,Immunohistochemistry: 5-30 μg/mL,Immunocytochemistry: 5-30 μg/mL,Optimal working dilutions must be determined by end user.

    Kommentare

    The thermal stability is described by the loss rate. The loss rate was determined by accelerated thermal degradation test, that is, incubate the protein at 37°C for 48h, and no obvious degradation and precipitation were observed. The loss rate is less than 5% within the expiration date under appropriate storage condition.

    Beschränkungen

    Nur für Forschungszwecke einsetzbar
  • Format

    Liquid

    Konzentration

    500 μg/mL

    Buffer

    0.01M PBS, pH 7.4, containing 0.05 % Proclin-300, 50 % glycerol.

    Konservierungsmittel

    ProClin

    Vorsichtsmaßnahmen

    This product contains ProClin: a POISONOUS AND HAZARDOUS SUBSTANCE which should be handled by trained staff only.

    Lagerung

    4 °C,-20 °C

    Informationen zur Lagerung

    Store at 4°C for frequent use. Stored at -20°C in a manual defrost freezer for two year without detectable loss of activity. Avoid repeated freeze-thaw cycles.

    Haltbarkeit

    24 months
  • Target

    C9 (Complement Component C9 (C9))

    Andere Bezeichnung

    Complement Component 9

    UniProt

    P02748

    Pathways

    Komplementsystem
Sie sind hier:
Chat with us!