Telefon:
+49 (0)241 95 163 153
Fax:
+49 (0)241 95 163 155
E-Mail:
orders@antikoerper-online.de

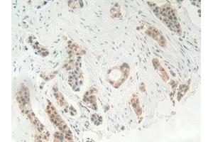
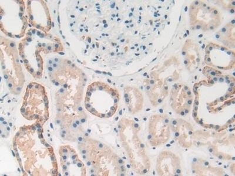
HMGB1 Antikörper (AA 1-215)

Der Kaninchen Polyklonal anti-HMGB1 Antikörper (ABIN7431740) detektiert spezifisch HMGB1 in WB, IHC, ICC und IP. Dieser Antikörper reagiert spezifisch mit Proben aus Human.
Produktnummer ABIN7431740
287,72 €
Zzgl. Versandkosten 20,00 € und MwSt
Lieferung nach: Deutschland
Lieferung in 11 bis 15 Werktagen

Kurzübersicht für HMGB1 Antikörper (AA 1-215) (ABIN7431740)

Target

Alle HMGB1 Antikörper anzeigen
HMGB1 (High Mobility Group Box 1 (HMGB1))

Reaktivität

  • 192
  • 116
  • 113
  • 14
  • 12
  • 12
  • 11
  • 8
  • 7
  • 7
  • 7
  • 6
  • 5
  • 2
  • 1
  • 1
  • 1
Human

Wirt

  • 156
  • 47
  • 2
  • 2
  • 2
  • 2
  • 1
Kaninchen

Klonalität

  • 132
  • 80
Polyklonal

Konjugat

  • 106
  • 21
  • 18
  • 10
  • 8
  • 5
  • 4
  • 3
  • 3
  • 3
  • 3
  • 3
  • 2
  • 2
  • 2
  • 2
  • 2
  • 2
  • 2
  • 2
  • 2
  • 2
  • 2
  • 1
  • 1
  • 1
Dieser HMGB1 Antikörper ist unkonjugiert

Applikation

  • 170
  • 73
  • 68
  • 65
  • 55
  • 35
  • 30
  • 27
  • 26
  • 9
  • 9
  • 4
  • 2
  • 2
  • 1
  • 1
  • 1
  • 1
  • 1
  • 1
Western Blotting (WB), Immunohistochemistry (IHC), Immunocytochemistry (ICC), Immunoprecipitation (IP)
  • Bindungsspezifität

    • 32
    • 16
    • 16
    • 12
    • 8
    • 7
    • 6
    • 6
    • 5
    • 5
    • 4
    • 4
    • 3
    • 2
    • 2
    • 2
    • 2
    • 2
    • 2
    • 2
    • 1
    • 1
    • 1
    • 1
    • 1
    • 1
    • 1
    • 1
    • 1
    • 1
    • 1
    • 1
    • 1
    AA 1-215

    Verwendungszweck

    Polyclonal Antibody to High Mobility Group Protein 1 (HMGB1)

    Spezifität

    The antibody is a rabbit polyclonal antibody raised against HMGB1. It has been selected for its ability to recognize HMGB1 in immunohistochemical staining and western blotting.

    Kreuzreaktivität

    Ratte

    Aufreinigung

    Antigen-specific affinity chromatography followed by Protein A affinity chromatography

    Immunogen

    Recombinant High Mobility Group Protein 1 (HMGB1) corresdonding to Met1~Glu215 with N-terminal His Tag

    Isotyp

    IgG
  • Applikationshinweise

    Western blotting: 0.01-2 μg/mL,Immunohistochemistry: 5-20 μg/mL,Immunocytochemistry: 5-20 μg/mL,Optimal working dilutions must be determined by end user.

    Kommentare

    The thermal stability is described by the loss rate. The loss rate was determined by accelerated thermal degradation test, that is, incubate the protein at 37°C for 48h, and no obvious degradation and precipitation were observed. The loss rate is less than 5% within the expiration date under appropriate storage condition.

    Beschränkungen

    Nur für Forschungszwecke einsetzbar
  • Format

    Liquid

    Konzentration

    0.43 mg/mL

    Buffer

    PBS, pH 7.4, containing 0.02 % Sodium azide, 50 % glycerol.

    Konservierungsmittel

    Sodium azide

    Vorsichtsmaßnahmen

    This product contains Sodium azide: a POISONOUS AND HAZARDOUS SUBSTANCE which should be handled by trained staff only.

    Lagerung

    4 °C,-20 °C

    Informationen zur Lagerung

    Store at 4°C for frequent use. Stored at -20°C in a manual defrost freezer for two year without detectable loss of activity. Avoid repeated freeze-thaw cycles.

    Haltbarkeit

    24 months
  • Target

    HMGB1 (High Mobility Group Box 1 (HMGB1))

    Andere Bezeichnung

    HMGB1

    Hintergrund

    HMG1, HMG3, SBP1, Sulfoglucuronyl Carbohydrate Binding Protein, Amphoterin, High Mobility Group Box 1 Protein

    UniProt

    P09429

    Pathways

    p53 Signalweg, Regulation of Muscle Cell Differentiation, Skeletal Muscle Fiber Development, Positive Regulation of Endopeptidase Activity, Regulation of Carbohydrate Metabolic Process, Toll-Like Receptors Cascades, Smooth Muscle Cell Migration, Inflammasome
Sie sind hier:
Chat with us!