Telefon:
+49 (0)241 95 163 153
Fax:
+49 (0)241 95 163 155
E-Mail:
orders@antikoerper-online.de

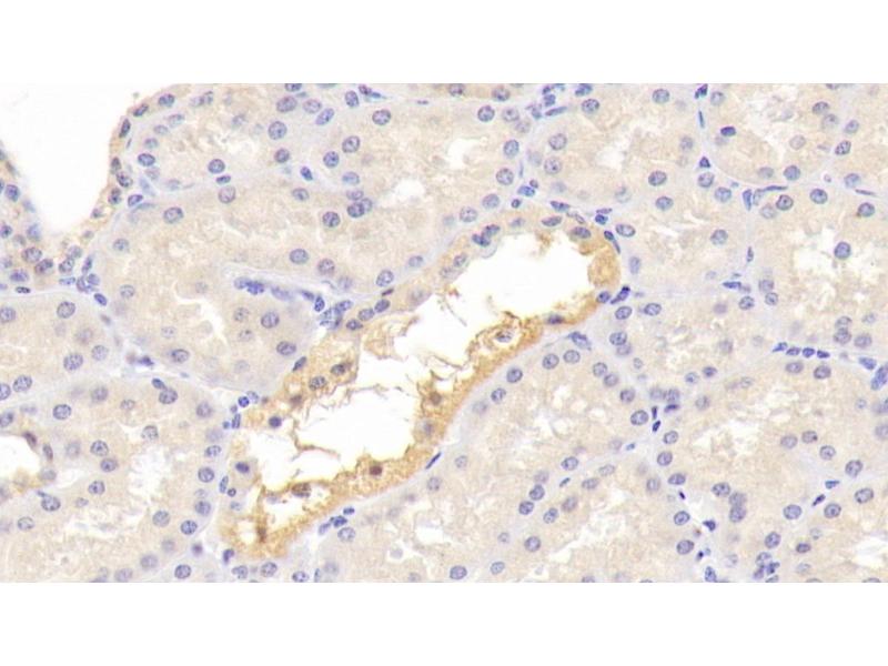
C3a Antikörper (AA 672-748)

Der Kaninchen Polyklonal anti-C3a Antikörper wird verwendet zum Nachweis von C3a in Proben von Human. Er wurde validiert für WB, IP, IHC und ICC.
Produktnummer ABIN7439951
286,77 €
Zzgl. Versandkosten 20,00 € und MwSt
Lieferung nach: Deutschland
Lieferung in 11 bis 15 Werktagen

Kurzübersicht für C3a Antikörper (AA 672-748) (ABIN7439951)

Target

Alle C3a Antikörper anzeigen
C3a (Complement Fragment 3a (C3a))

Reaktivität

  • 24
  • 5
  • 4
  • 1
  • 1
  • 1
Human

Wirt

  • 19
  • 8
  • 4
  • 2
  • 1
Kaninchen

Klonalität

  • 22
  • 11
  • 1
Polyklonal

Konjugat

  • 26
  • 6
  • 1
  • 1
Dieser C3a Antikörper ist unkonjugiert

Applikation

  • 25
  • 11
  • 10
  • 9
  • 9
  • 4
  • 2
  • 1
  • 1
Western Blotting (WB), Immunoprecipitation (IP), Immunohistochemistry (IHC), Immunocytochemistry (ICC)
  • Bindungsspezifität

    • 2
    • 2
    • 2
    • 2
    • 2
    • 1
    • 1
    AA 672-748

    Verwendungszweck

    Polyclonal Antibody to Complement Component 3a (C3a)

    Spezifität

    The antibody is a rabbit polyclonal antibody raised against C3a. It has been selected for its ability to recognize C3a in immunohistochemical staining and western blotting.

    Kreuzreaktivität

    Schwein

    Aufreinigung

    Antigen-specific affinity chromatography followed by Protein A affinity chromatography

    Immunogen

    Recombinant Complement Component 3a (C3a) corresdonding to Ser672~Arg748 with N-terminal His and GST Tag

    Isotyp

    IgG
  • Applikationshinweise

    Western blotting: 0.5-2 μg/mL,Immunohistochemistry: 5-20 μg/mL,Immunocytochemistry: 5-20 μg/mL,Optimal working dilutions must be determined by end user.

    Kommentare

    The thermal stability is described by the loss rate. The loss rate was determined by accelerated thermal degradation test, that is, incubate the protein at 37°C for 48h, and no obvious degradation and precipitation were observed. The loss rate is less than 5% within the expiration date under appropriate storage condition.

    Beschränkungen

    Nur für Forschungszwecke einsetzbar
  • Format

    Liquid

    Konzentration

    1 mg/mL

    Buffer

    0.01M PBS, pH 7.4, containing 0.05 % Proclin-300, 50 % glycerol.

    Konservierungsmittel

    ProClin

    Vorsichtsmaßnahmen

    This product contains ProClin: a POISONOUS AND HAZARDOUS SUBSTANCE which should be handled by trained staff only.

    Lagerung

    4 °C,-20 °C

    Informationen zur Lagerung

    Store at 4°C for frequent use. Stored at -20°C in a manual defrost freezer for two year without detectable loss of activity. Avoid repeated freeze-thaw cycles.

    Haltbarkeit

    24 months
  • Target

    C3a (Complement Fragment 3a (C3a))

    Andere Bezeichnung

    Complement Component 3a

    UniProt

    P01024

    Pathways

    Komplementsystem
Sie sind hier:
Chat with us!