Telefon:
+49 (0)241 95 163 153
Fax:
+49 (0)241 95 163 155
E-Mail:
orders@antikoerper-online.de

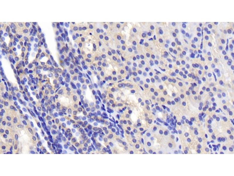
SPTAN1 Antikörper (AA 1573-1742)

Der Kaninchen Polyklonal anti-SPTAN1 Antikörper (ABIN7438457) detektiert spezifisch SPTAN1 in WB, IHC, IP und ICC. Dieser Antikörper reagiert spezifisch mit Proben aus Human.
Produktnummer ABIN7438457
287,72 €
Zzgl. Versandkosten 20,00 € und MwSt
Lieferung nach: Deutschland
Lieferung in 11 bis 15 Werktagen

Kurzübersicht für SPTAN1 Antikörper (AA 1573-1742) (ABIN7438457)

Target

Alle SPTAN1 Antikörper anzeigen
SPTAN1 (Spectrin alpha Chain, Brain (SPTAN1))

Reaktivität

  • 108
  • 51
  • 50
  • 22
  • 6
  • 5
  • 4
  • 4
  • 4
  • 3
  • 2
  • 2
  • 1
  • 1
  • 1
Human

Wirt

  • 114
  • 34
  • 1
Kaninchen

Klonalität

  • 95
  • 54
Polyklonal

Konjugat

  • 66
  • 24
  • 13
  • 3
  • 3
  • 3
  • 3
  • 3
  • 3
  • 2
  • 2
  • 2
  • 2
  • 2
  • 2
  • 2
  • 1
  • 1
  • 1
  • 1
  • 1
  • 1
  • 1
  • 1
  • 1
  • 1
  • 1
  • 1
  • 1
  • 1
Dieser SPTAN1 Antikörper ist unkonjugiert

Applikation

  • 94
  • 76
  • 30
  • 25
  • 20
  • 18
  • 17
  • 14
  • 14
  • 9
  • 7
  • 5
  • 3
  • 2
  • 2
  • 1
  • 1
  • 1
  • 1
Western Blotting (WB), Immunohistochemistry (IHC), Immunoprecipitation (IP), Immunocytochemistry (ICC)
  • Bindungsspezifität

    • 23
    • 15
    • 5
    • 4
    • 4
    • 4
    • 3
    • 3
    • 3
    • 3
    • 3
    • 3
    • 3
    • 3
    • 2
    • 2
    • 2
    • 2
    • 2
    • 2
    • 2
    • 2
    • 1
    • 1
    • 1
    • 1
    • 1
    • 1
    • 1
    • 1
    • 1
    • 1
    • 1
    AA 1573-1742

    Verwendungszweck

    Polyclonal Antibody to Alpha-Fodrin (SPTAN1)

    Spezifität

    The antibody is a rabbit polyclonal antibody raised against SPTAN1. It has been selected for its ability to recognize SPTAN1 in immunohistochemical staining and western blotting.

    Aufreinigung

    Antigen-specific affinity chromatography followed by Protein A affinity chromatography

    Immunogen

    Recombinant Alpha-Fodrin (SPTAN1) corresdonding to Thr1573~Asp1742 with N-terminal His Tag

    Isotyp

    IgG
  • Applikationshinweise

    Western blotting: 0.5-2 μg/mL,1:300-1300,Immunohistochemistry: 5-20 μg/mL,1:30-130,Immunocytochemistry: 5-20 μg/mL,1:30-130,Optimal working dilutions must be determined by end user.

    Kommentare

    The thermal stability is described by the loss rate. The loss rate was determined by accelerated thermal degradation test, that is, incubate the protein at 37°C for 48h, and no obvious degradation and precipitation were observed. The loss rate is less than 5% within the expiration date under appropriate storage condition.

    Beschränkungen

    Nur für Forschungszwecke einsetzbar
  • Format

    Liquid

    Konzentration

    500 μg/mL

    Buffer

    0.01M PBS, pH 7.4, containing 0.05 % Proclin-300, 50 % glycerol.

    Konservierungsmittel

    ProClin

    Vorsichtsmaßnahmen

    This product contains ProClin: a POISONOUS AND HAZARDOUS SUBSTANCE which should be handled by trained staff only.

    Lagerung

    4 °C,-20 °C

    Informationen zur Lagerung

    Store at 4°C for frequent use. Stored at -20°C in a manual defrost freezer for two year without detectable loss of activity. Avoid repeated freeze-thaw cycles.

    Haltbarkeit

    24 months
  • Target

    SPTAN1 (Spectrin alpha Chain, Brain (SPTAN1))

    Andere Bezeichnung

    SPTAN1

    Hintergrund

    SPTAN1, NEAS, (ALPHA)II-SPECTRIN, Spectrin Alpha Non-Erythrocytic 1, Spectrin Alpha Chain,Brain, Spectrin, non-erythroid alpha subunit

    UniProt

    Q13813

    Pathways

    Caspase Kaskade in der Apoptose, Regulation of Actin Filament Polymerization
Sie sind hier:
Chat with us!