Telefon:
+49 (0)241 95 163 153
Fax:
+49 (0)241 95 163 155
E-Mail:
orders@antikoerper-online.de

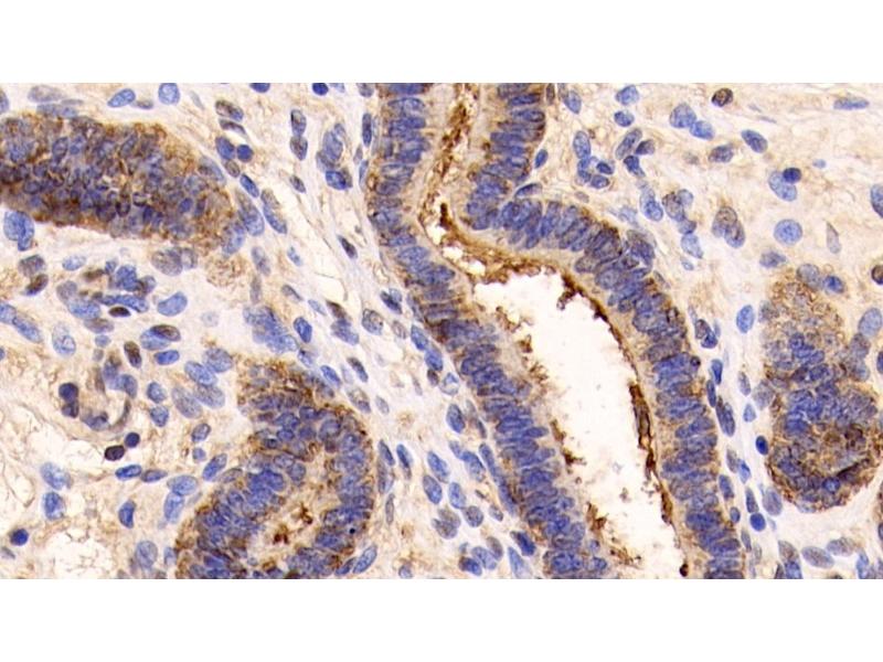
Annexin V Antikörper (AA 1-321)

Der Kaninchen Polyklonal anti-Annexin V Antikörper wird verwendet zum Nachweis von Annexin V in Proben von Rind (Kuh). Er wurde validiert für WB, IHC, ICC und IP.
Produktnummer ABIN7431455
329,69 €
Zzgl. Versandkosten 20,00 € und MwSt
Lieferung nach: Deutschland
Lieferung in 11 bis 15 Werktagen

Kurzübersicht für Annexin V Antikörper (AA 1-321) (ABIN7431455)

Target

Alle Annexin V (ANXA5) Antikörper anzeigen
Annexin V (ANXA5) (Annexin A5 (ANXA5))

Reaktivität

  • 150
  • 81
  • 65
  • 11
  • 6
  • 5
  • 5
  • 4
  • 4
  • 4
  • 3
  • 3
  • 3
  • 2
  • 2
  • 2
  • 1
  • 1
Rind (Kuh)

Wirt

  • 149
  • 35
  • 1
  • 1
Kaninchen

Klonalität

  • 121
  • 63
Polyklonal

Konjugat

  • 83
  • 26
  • 21
  • 5
  • 5
  • 5
  • 5
  • 5
  • 5
  • 4
  • 2
  • 2
  • 2
  • 2
  • 2
  • 2
  • 1
  • 1
  • 1
  • 1
  • 1
  • 1
  • 1
  • 1
  • 1
  • 1
Dieser Annexin V Antikörper ist unkonjugiert

Applikation

  • 135
  • 53
  • 45
  • 39
  • 39
  • 29
  • 18
  • 15
  • 12
  • 8
  • 5
  • 3
  • 2
  • 1
  • 1
Western Blotting (WB), Immunohistochemistry (IHC), Immunocytochemistry (ICC), Immunoprecipitation (IP)
  • Bindungsspezifität

    • 27
    • 8
    • 7
    • 7
    • 7
    • 6
    • 4
    • 3
    • 3
    • 2
    • 2
    • 2
    • 1
    • 1
    • 1
    • 1
    • 1
    • 1
    • 1
    • 1
    AA 1-321

    Verwendungszweck

    Polyclonal Antibody to Annexin V (ANXA5)

    Spezifität

    The antibody is a rabbit polyclonal antibody raised against ANXA5. It has been selected for its ability to recognize ANXA5 in immunohistochemical staining and western blotting.

    Kreuzreaktivität

    Human, Maus, Schwein, Ratte

    Aufreinigung

    Antigen-specific affinity chromatography followed by Protein A affinity chromatography

    Immunogen

    Recombinant Annexin V (ANXA5) corresdonding to Met1~Asp321 (Accession # P81287)

    Isotyp

    IgG
  • Applikationshinweise

    Western blotting: 0.5-2 μg/mL,Immunohistochemistry: 5-20 μg/mL,Immunocytochemistry: 5-20 μg/mL,Optimal working dilutions must be determined by end user.

    Kommentare

    The thermal stability is described by the loss rate. The loss rate was determined by accelerated thermal degradation test, that is, incubate the protein at 37°C for 48h, and no obvious degradation and precipitation were observed. The loss rate is less than 5% within the expiration date under appropriate storage condition.

    Beschränkungen

    Nur für Forschungszwecke einsetzbar
  • Format

    Liquid

    Konzentration

    500 μg/mL

    Buffer

    PBS, pH 7.4, containing 0.02 % Sodium azide, 50 % glycerol.

    Konservierungsmittel

    Sodium azide

    Vorsichtsmaßnahmen

    This product contains Sodium azide: a POISONOUS AND HAZARDOUS SUBSTANCE which should be handled by trained staff only.

    Lagerung

    4 °C,-20 °C

    Informationen zur Lagerung

    Store at 4°C for frequent use. Stored at -20°C in a manual defrost freezer for two year without detectable loss of activity. Avoid repeated freeze-thaw cycles.

    Haltbarkeit

    24 months
  • Target

    Annexin V (ANXA5) (Annexin A5 (ANXA5))

    Andere Bezeichnung

    ANXA5

    Hintergrund

    ANX5, ENX2, PP4, PAP-I, CBP-I, Anchorin CII, Calphobindin I, Endonexin II, Lipocortin V, Placental anticoagulant protein 4, Thromboplastin inhibitor, Vascular anticoagulant-alpha

    UniProt

    P81287

    Pathways

    Apoptose
Sie sind hier:
Chat with us!