Telefon:
+49 (0)241 95 163 153
Fax:
+49 (0)241 95 163 155
E-Mail:
orders@antikoerper-online.de

KIT Antikörper (AA 343-527)

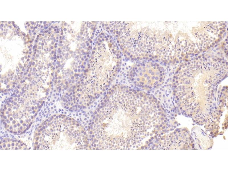
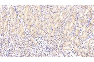
Der Kaninchen Polyklonal anti-KIT Antikörper wird verwendet zum Nachweis von KIT in Proben von Maus. Er wurde validiert für WB, IHC, IP und ICC.
Produktnummer ABIN7431110
293,45 €
Zzgl. Versandkosten 20,00 € und MwSt
Lieferung nach: Deutschland
Lieferung in 11 bis 15 Werktagen

Kurzübersicht für KIT Antikörper (AA 343-527) (ABIN7431110)

Target

Alle KIT Antikörper anzeigen
KIT (Mast/stem Cell Growth Factor Receptor (KIT))

Reaktivität

  • 658
  • 248
  • 67
  • 29
  • 27
  • 26
  • 18
  • 12
  • 5
  • 4
  • 2
  • 2
  • 1
  • 1
Maus

Wirt

  • 541
  • 143
  • 52
  • 14
  • 2
  • 1
Kaninchen

Klonalität

  • 519
  • 231
  • 2
Polyklonal

Konjugat

  • 254
  • 68
  • 66
  • 63
  • 52
  • 46
  • 11
  • 10
  • 10
  • 10
  • 10
  • 10
  • 10
  • 10
  • 10
  • 10
  • 10
  • 6
  • 5
  • 5
  • 5
  • 5
  • 5
  • 5
  • 5
  • 5
  • 4
  • 4
  • 4
  • 4
  • 3
  • 3
  • 3
  • 3
  • 3
  • 2
  • 1
  • 1
  • 1
  • 1
  • 1
  • 1
  • 1
  • 1
  • 1
  • 1
  • 1
  • 1
  • 1
Dieser KIT Antikörper ist unkonjugiert

Applikation

  • 380
  • 332
  • 302
  • 148
  • 91
  • 91
  • 90
  • 56
  • 42
  • 42
  • 38
  • 30
  • 10
  • 7
  • 6
  • 6
  • 4
  • 2
  • 2
  • 2
  • 2
  • 2
  • 1
  • 1
  • 1
  • 1
  • 1
  • 1
  • 1
  • 1
Western Blotting (WB), Immunohistochemistry (IHC), Immunoprecipitation (IP), Immunocytochemistry (ICC)
  • Bindungsspezifität

    • 35
    • 24
    • 23
    • 23
    • 21
    • 20
    • 16
    • 16
    • 16
    • 16
    • 16
    • 16
    • 13
    • 12
    • 12
    • 11
    • 10
    • 9
    • 8
    • 8
    • 8
    • 8
    • 8
    • 8
    • 8
    • 7
    • 7
    • 7
    • 7
    • 7
    • 7
    • 7
    • 7
    • 7
    • 7
    • 7
    • 7
    • 7
    • 7
    • 7
    • 7
    • 7
    • 7
    • 7
    • 6
    • 6
    • 6
    • 5
    • 4
    • 4
    AA 343-527

    Verwendungszweck

    Polyclonal Antibody to Stem Cell Factor Receptor (SCFR)

    Spezifität

    The antibody is a rabbit polyclonal antibody raised against SCFR. It has been selected for its ability to recognize SCFR in immunohistochemical staining and western blotting.

    Kreuzreaktivität

    Ratte

    Aufreinigung

    Antigen-specific affinity chromatography followed by Protein A affinity chromatography

    Immunogen

    Recombinant Stem Cell Factor Receptor (SCFR) corresdonding to Tyr343~Pro527 with N-terminal His Tag

    Isotyp

    IgG
  • Applikationshinweise

    Western blotting: 0.5-2 μg/mL,Immunohistochemistry: 5-20 μg/mL,Immunocytochemistry: 5-20 μg/mL,Optimal working dilutions must be determined by end user.

    Kommentare

    The thermal stability is described by the loss rate. The loss rate was determined by accelerated thermal degradation test, that is, incubate the protein at 37°C for 48h, and no obvious degradation and precipitation were observed. The loss rate is less than 5% within the expiration date under appropriate storage condition.

    Beschränkungen

    Nur für Forschungszwecke einsetzbar
  • Format

    Liquid

    Konzentration

    1 mg/mL

    Buffer

    0.01M PBS, pH 7.4, containing 0.05 % Proclin-300, 50 % glycerol.

    Konservierungsmittel

    ProClin

    Vorsichtsmaßnahmen

    This product contains ProClin: a POISONOUS AND HAZARDOUS SUBSTANCE which should be handled by trained staff only.

    Lagerung

    4 °C,-20 °C

    Informationen zur Lagerung

    Store at 4°C for frequent use. Stored at -20°C in a manual defrost freezer for two year without detectable loss of activity. Avoid repeated freeze-thaw cycles.

    Haltbarkeit

    24 months
  • Target

    KIT (Mast/stem Cell Growth Factor Receptor (KIT))

    Andere Bezeichnung

    SCFR

    Hintergrund

    CD117, KIT, C-Kit, PBT, p145 c-Kit, C-Kit Receptor, Tyrosine-Protein Kinase, V-Kit Hardy-Zuckerman 4 Feline Sarcoma Viral Oncogene Homolog, Piebald Trait

    UniProt

    P05532

    Pathways

    RTK Signalweg, Fc-epsilon Rezeptor Signalübertragung, EGFR Signaling Pathway, Neurotrophin Signalübertragung, Sensory Perception of Sound, Stem Cell Maintenance, Production of Molecular Mediator of Immune Response, Regulation of long-term Neuronal Synaptic Plasticity
Sie sind hier:
Chat with us!