Telefon:
+49 (0)241 95 163 153
Fax:
+49 (0)241 95 163 155
E-Mail:
orders@antikoerper-online.de

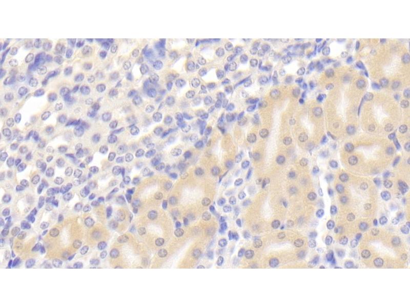
SOD3 Antikörper (AA 25-251)

Der Kaninchen Polyklonal anti-SOD3 Antikörper (ABIN7429199) detektiert spezifisch SOD3 in WB, IHC, ICC und IP. Dieser Antikörper reagiert spezifisch mit Proben aus Maus.
Produktnummer ABIN7429199
293,45 €
Zzgl. Versandkosten 20,00 € und MwSt
Lieferung nach: Deutschland
Lieferung in 11 bis 15 Werktagen

Kurzübersicht für SOD3 Antikörper (AA 25-251) (ABIN7429199)

Target

Alle SOD3 Antikörper anzeigen
SOD3 (Superoxide Dismutase 3, Extracellular (SOD3))

Reaktivität

  • 64
  • 22
  • 9
  • 4
Maus

Wirt

  • 61
  • 23
  • 2
  • 2
Kaninchen

Klonalität

  • 56
  • 32
Polyklonal

Konjugat

  • 52
  • 10
  • 5
  • 3
  • 3
  • 2
  • 1
  • 1
  • 1
  • 1
  • 1
  • 1
  • 1
  • 1
  • 1
  • 1
  • 1
  • 1
  • 1
Dieser SOD3 Antikörper ist unkonjugiert

Applikation

  • 72
  • 52
  • 38
  • 25
  • 14
  • 11
  • 5
  • 4
  • 3
  • 2
  • 2
  • 1
  • 1
Western Blotting (WB), Immunohistochemistry (IHC), Immunocytochemistry (ICC), Immunoprecipitation (IP)
  • Bindungsspezifität

    • 9
    • 7
    • 6
    • 5
    • 3
    • 3
    • 3
    • 3
    • 2
    • 2
    • 2
    • 2
    • 1
    • 1
    • 1
    • 1
    • 1
    • 1
    • 1
    • 1
    AA 25-251

    Verwendungszweck

    Polyclonal Antibody to Superoxide Dismutase 3, Extracellular (SOD3)

    Spezifität

    The antibody is a rabbit polyclonal antibody raised against SOD3. It has been selected for its ability to recognize SOD3 in immunohistochemical staining and western blotting.

    Aufreinigung

    Antigen-specific affinity chromatography followed by Protein A affinity chromatography

    Immunogen

    Recombinant Superoxide Dismutase 3, Extracellular (SOD3) corresdonding to Ser25~Thr251 with N-terminal His Tag

    Isotyp

    IgG
  • Applikationshinweise

    Western blotting: 0.5-2 μg/mL,Immunohistochemistry: 5-20 μg/mL,Immunocytochemistry: 5-20 μg/mL,Optimal working dilutions must be determined by end user.

    Kommentare

    The thermal stability is described by the loss rate. The loss rate was determined by accelerated thermal degradation test, that is, incubate the protein at 37°C for 48h, and no obvious degradation and precipitation were observed. The loss rate is less than 5% within the expiration date under appropriate storage condition.

    Beschränkungen

    Nur für Forschungszwecke einsetzbar
  • Format

    Liquid

    Konzentration

    1 mg/mL

    Buffer

    0.01M PBS, pH 7.4, containing 0.05 % Proclin-300, 50 % glycerol.

    Konservierungsmittel

    ProClin

    Vorsichtsmaßnahmen

    This product contains ProClin: a POISONOUS AND HAZARDOUS SUBSTANCE which should be handled by trained staff only.

    Lagerung

    4 °C,-20 °C

    Informationen zur Lagerung

    Store at 4°C for frequent use. Stored at -20°C in a manual defrost freezer for two year without detectable loss of activity. Avoid repeated freeze-thaw cycles.

    Haltbarkeit

    24 months
  • Target

    SOD3 (Superoxide Dismutase 3, Extracellular (SOD3))

    Andere Bezeichnung

    SOD3

    Hintergrund

    SOD-3, EC-SOD, Extracellular Superoxide Dismutase Cu-Zn

    UniProt

    O09164
Sie sind hier:
Chat with us!