Telefon:
+49 (0)241 95 163 153
Fax:
+49 (0)241 95 163 155
E-Mail:
orders@antikoerper-online.de

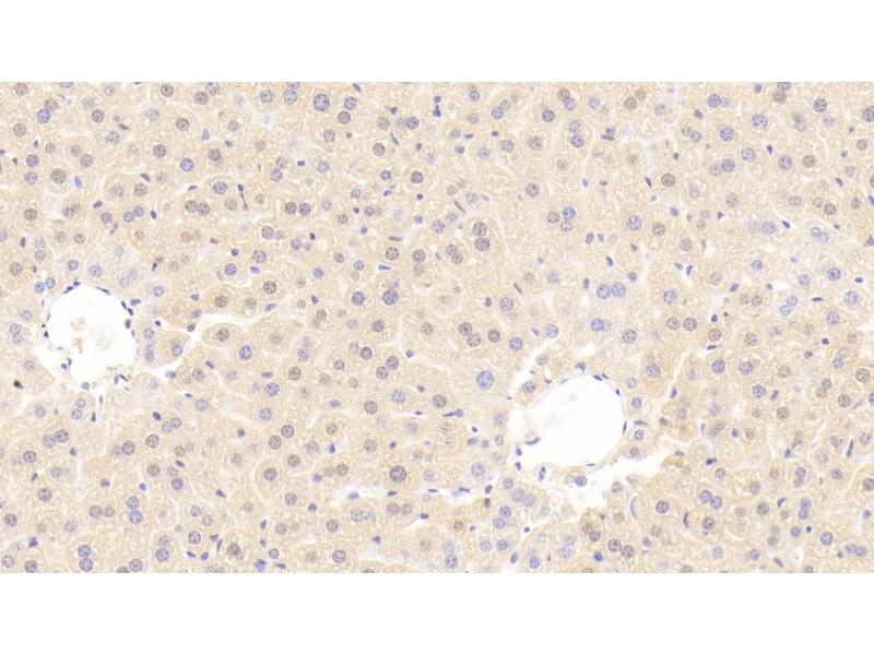
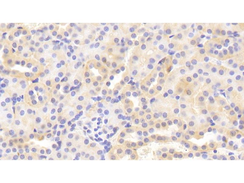
MMP3 Antikörper (AA 100-477)

Der Kaninchen Polyklonal anti-MMP3 Antikörper (ABIN7431002) detektiert spezifisch MMP3 in WB, IHC, IP und ICC. Dieser Antikörper reagiert spezifisch mit Proben aus Maus.
Produktnummer ABIN7431002
293,45 €
Zzgl. Versandkosten 20,00 € und MwSt
Lieferung nach: Deutschland
Lieferung in 11 bis 15 Werktagen

Kurzübersicht für MMP3 Antikörper (AA 100-477) (ABIN7431002)

Target

Alle MMP3 Antikörper anzeigen
MMP3 (Matrix Metallopeptidase 3 (Stromelysin 1, Progelatinase) (MMP3))

Reaktivität

  • 199
  • 74
  • 72
  • 20
  • 5
  • 4
  • 4
  • 3
  • 2
  • 1
  • 1
  • 1
  • 1
  • 1
Maus

Wirt

  • 141
  • 79
  • 3
  • 2
  • 2
  • 1
Kaninchen

Klonalität

  • 122
  • 106
Polyklonal

Konjugat

  • 112
  • 19
  • 11
  • 7
  • 5
  • 5
  • 5
  • 5
  • 5
  • 5
  • 5
  • 4
  • 4
  • 4
  • 4
  • 4
  • 4
  • 3
  • 2
  • 2
  • 2
  • 1
  • 1
  • 1
  • 1
  • 1
  • 1
  • 1
  • 1
  • 1
  • 1
  • 1
Dieser MMP3 Antikörper ist unkonjugiert

Applikation

  • 153
  • 116
  • 59
  • 41
  • 39
  • 30
  • 29
  • 23
  • 13
  • 13
  • 13
  • 8
  • 7
  • 5
  • 5
  • 3
  • 2
Western Blotting (WB), Immunohistochemistry (IHC), Immunoprecipitation (IP), Immunocytochemistry (ICC)
  • Bindungsspezifität

    • 28
    • 23
    • 15
    • 9
    • 8
    • 8
    • 6
    • 5
    • 5
    • 4
    • 4
    • 4
    • 3
    • 2
    • 2
    • 2
    • 2
    • 2
    • 2
    • 1
    • 1
    • 1
    • 1
    • 1
    • 1
    • 1
    • 1
    • 1
    • 1
    • 1
    • 1
    • 1
    • 1
    • 1
    • 1
    • 1
    • 1
    • 1
    • 1
    • 1
    • 1
    • 1
    • 1
    • 1
    • 1
    AA 100-477

    Verwendungszweck

    Polyclonal Antibody to Matrix Metalloproteinase 3 (MMP3)

    Spezifität

    The antibody is a rabbit polyclonal antibody raised against MMP3. It has been selected for its ability to recognize MMP3 in immunohistochemical staining and western blotting.

    Kreuzreaktivität

    Ratte

    Aufreinigung

    Antigen-specific affinity chromatography followed by Protein A affinity chromatography

    Immunogen

    Recombinant Matrix Metalloproteinase 3 (MMP3) corresdonding to Phe100~Cys477 with N-terminal His Tag

    Isotyp

    IgG
  • Applikationshinweise

    Western blotting: 0.01-2 μg/mL,Immunohistochemistry: 5-20 μg/mL,Immunocytochemistry: 5-20 μg/mL,Optimal working dilutions must be determined by end user.

    Kommentare

    The thermal stability is described by the loss rate. The loss rate was determined by accelerated thermal degradation test, that is, incubate the protein at 37°C for 48h, and no obvious degradation and precipitation were observed. The loss rate is less than 5% within the expiration date under appropriate storage condition.

    Beschränkungen

    Nur für Forschungszwecke einsetzbar
  • Format

    Liquid

    Konzentration

    0.5 mg/mL

    Buffer

    PBS, pH 7.4, containing 0.02 % Sodium azide, 50 % glycerol.

    Konservierungsmittel

    Sodium azide

    Vorsichtsmaßnahmen

    This product contains Sodium azide: a POISONOUS AND HAZARDOUS SUBSTANCE which should be handled by trained staff only.

    Lagerung

    4 °C,-20 °C

    Informationen zur Lagerung

    Store at 4°C for frequent use. Stored at -20°C in a manual defrost freezer for two year without detectable loss of activity. Avoid repeated freeze-thaw cycles.

    Haltbarkeit

    24 months
  • Target

    MMP3 (Matrix Metallopeptidase 3 (Stromelysin 1, Progelatinase) (MMP3))

    Andere Bezeichnung

    MMP3

    Hintergrund

    SL1, STMY, STMY1, STR1, Progelatinase, Stromelysin 1, Transin-1

    UniProt

    P28862
Sie sind hier:
Chat with us!